首页
我的
牙龈退缩症状图片
本文由有来医生原创,经专业医师审核校对
所有图片质量和准确性经专业医生严格审查
王卫之
主任医师 | 审核医师
山东大学齐鲁医院
|
口腔修复科
牙龈退缩,又叫做“牙龈萎缩”、“牙周萎缩”,是指牙龈边缘向釉牙骨质界的根方退缩,致使牙根暴露。当牙龈退缩到一定程度时,对应位点的牙槽骨也可能会存在骨吸收。本病可能是多因素导致的,包括菌斑滞留、刷牙不当、解剖因素等。轻者可暂时观察,重者需要进行治疗。
牙龈退缩症状图片
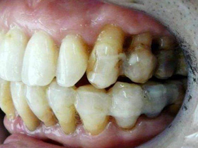
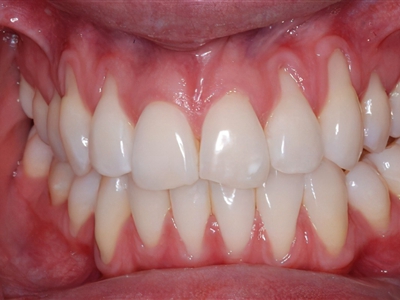
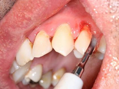
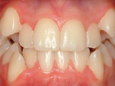
牙龈
萎缩
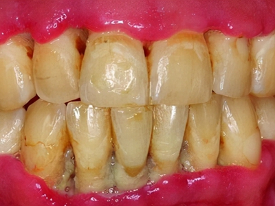
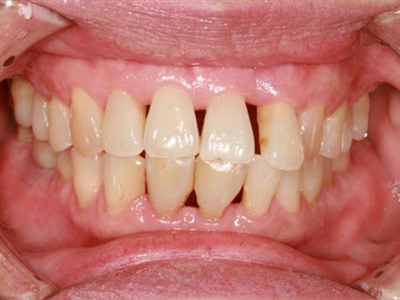
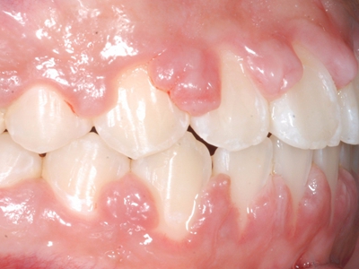
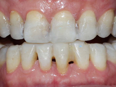
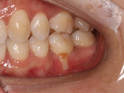
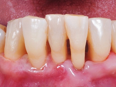
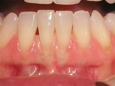
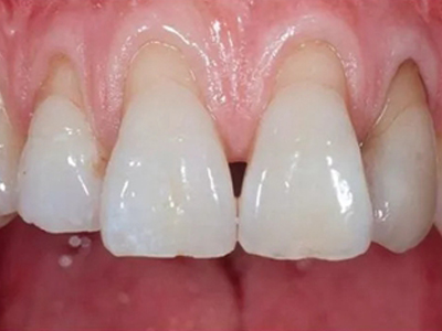
牙龈退缩露出淡黄色牙根图
牙龈退缩患者的牙龈退缩后,淡黄色牙龈明显露出。若进一步发展,易使对应位点的牙槽骨发生骨吸收,可能诱发龋齿、牙龈敏感、菌斑堆积等。
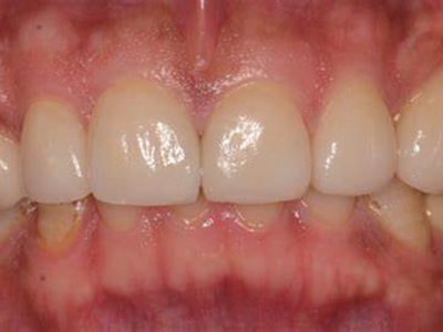
牙龈
萎缩
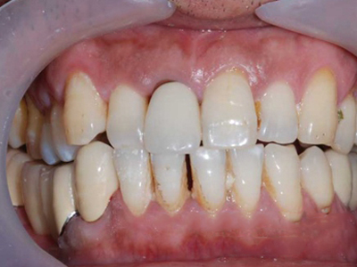
牙龈退缩上排多颗牙的牙根暴露图
牙龈退缩导致上排多颗牙齿的牙龈回缩,部分牙根暴露在外,伴有牙齿松动、口臭等症状,是由于牙周炎、局部受力过大等因素导致。
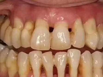
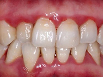
牙龈
黑斑 · 萎缩
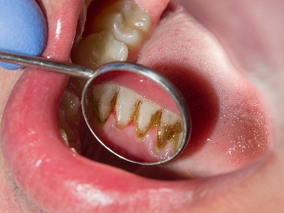
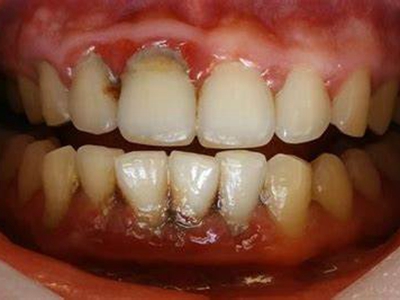
牙龈退缩牙根暴露出现黑斑图
牙龈退缩患者的上排多颗牙齿处的牙龈出现回缩,从而导致牙根外露,外露的牙根上存在黑色的牙菌斑、牙结石,伴有口臭、牙根面敏感等症状。
牙龈
萎缩
牙龈退缩牙龈萎缩露出牙根图
牙龈退缩发作于上排尖牙和磨牙处,导致牙根暴露在外,伴有牙齿松动、口臭、牙根面敏感等症状,是由于刷牙不当、牙周炎等因素引起。
牙龈
萎缩
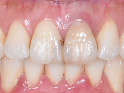
牙龈退缩牙根暴露图
牙龈退缩患者的上排切牙的牙龈发生回缩,也可累及到磨牙,导致上排切牙和磨牙的牙根暴露在外,伴有牙根面敏感、牙齿松动、牙缝增大等症状。
牙龈
萎缩
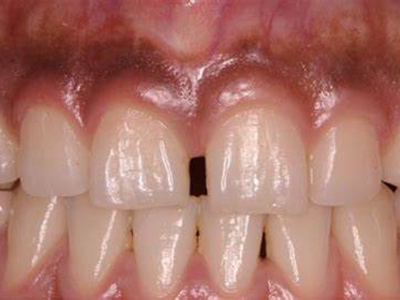
牙龈退缩牙齿出现三角形牙缝图
牙龈退缩表现为上排切牙、尖牙处牙龈发生回缩,导致牙龈暴露,并且牙齿发生松动,牙缝增大呈三角形,伴有口臭、牙根面敏感等症状。
牙龈
萎缩
牙龈退缩牙根暴露出现三角形牙缝图
牙龈退缩患者的上排牙的牙龈发生回缩,从而导致牙根暴露、牙齿松动,并且牙缝增大呈三角形,伴有口臭、牙根面敏感等症状,可前往医院通过牙周手术进行处理。
牙龈
萎缩
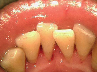
牙龈退缩上排牙齿的牙根轻微露出图
牙龈退缩患者的上排切牙、尖牙处的牙龈发生回缩,从而造成牙根轻微暴露。是由于牙周炎治疗、不良刷牙习惯等因素引起,牙齿敏感需要脱敏治疗。
牙龈
萎缩
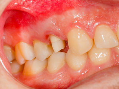
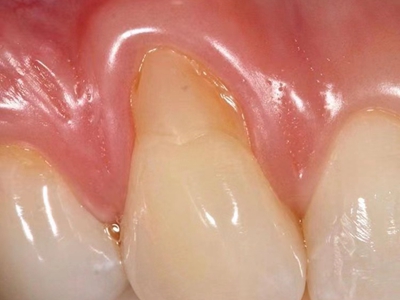
牙龈退缩牙根几乎整个暴露图
牙龈退缩患者的上排牙中一颗牙齿的牙根几乎整个暴露在外,暴露牙根的牙齿在受到冷热刺激时会格外敏感,伴有口臭、牙齿松动等症状。
牙龈
萎缩
牙龈退缩上排切牙的牙根整个暴露图
牙龈退缩表现为牙龈回缩,导致整个牙根完全暴露在外,伴有口臭等症状,通常是由于不良刷牙习惯、牙周炎等因素诱发。若疾病持续发展,则需积极治疗。
牙龈
萎缩
牙龈退缩牙龈萎缩牙根露出来图
牙龈退缩主要表现为牙龈边缘向釉牙骨质界的根方退缩,致使牙根暴露,牙缝增大,后退的牙龈有明显肿大,牙齿的活动度也明显提高,不利于牙齿健康。
牙龈
萎缩
牙龈退缩上排牙齿出现明显牙根暴露图
牙龈退缩导致患者的上排牙龈发生严重回缩,因而上排牙的牙根明显暴露在外,同时患者的牙缝变大、牙齿松动,伴有口臭、牙根敏感等症状。
牙龈
萎缩
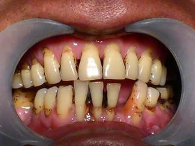
牙龈退缩多处牙龈萎缩出血图
牙龈退缩严重时,上排牙有多颗牙齿的牙龈部位发生退缩,导致牙根暴露,同时牙龈处还有出血的症状,伴有疼痛感,建议及时前往医院通过手术等手段进行治疗。
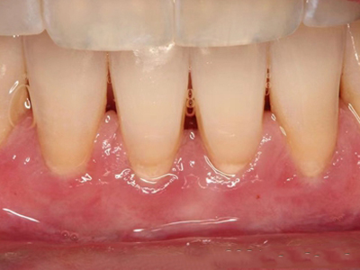
牙龈
萎缩
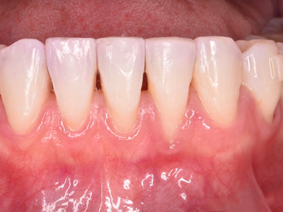
牙龈退缩牙龈轻度萎缩图
牙龈退缩患者的上排牙和下排牙多颗牙齿的牙龈发生回缩,从而造成牙根轻微暴露,患者会出现牙根面敏感、口臭等症状,需要牙周治疗或脱敏治疗。
牙龈
萎缩
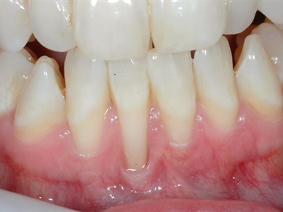
牙龈退缩多颗牙露出黄色牙根图
牙龈退缩导致上牙和下牙的牙根处组织萎缩,牙根处出现月牙状的沟痕,黄色牙根有暴露,患者牙齿敏感,进食冷、酸等食物造成刺激会引起牙齿疼痛。
牙龈
萎缩
牙龈退缩多颗牙齿牙龈萎缩牙根暴露图
牙龈退缩患者的上下排大多数牙根出现轻度暴露,外漏的牙体变长,牙根处的牙龈肉体泛白,有轻微的肿胀。牙齿敏感,会因进食而出现不适。
牙龈
萎缩
牙龈退缩多处牙根明显暴露图
牙龈退缩使上下两排牙齿的牙体变长,牙缝明显,牙根暴露增多,相邻牙根处有黑色三角出现。因为黄色的牙根暴露,会造成牙齿敏感,易受冷、热等刺激。
牙龈
萎缩
牙龈退缩牙根暴露下牙龈出血图
牙龈退缩表现为上下排多颗的牙齿牙根暴露,接近牙根处的牙龈肉泛白,牙龈缘有肿胀,患者自觉有紧绷感。患者牙龈处易受刺激,容易出血。
牙龈
萎缩
牙龈退缩上下排尖牙牙根暴露图
牙龈退缩导致牙体外漏部分变长,上下两排尖牙牙根处有少许暴露,牙龈缘处有一道鼓起的部分,触感明显,质地脆弱,会对正常的生活造成影响。
牙龈
萎缩
牙龈退缩尖牙牙龈萎缩牙根暴露图
牙龈退缩导致上下排的牙齿,尤其是尖牙位置萎缩严重,牙根有明显暴露,萎缩处的牙龈缘凸起,牙体暴露变长。因为牙根暴露在外,牙齿敏感度增加,口腔不适明显。
牙龈
萎缩
牙龈退缩上下牙的牙根变黄牙缝变大图
牙龈退缩后,上下排的多颗牙齿出现牙龈后退,牙根有较多的暴露,牙体增长明显,牙缝增宽、变大,牙齿表面泛黄。萎缩的牙龈发白或颜色深重呈紫红色,敏感易受刺激。
牙龈
萎缩
牙龈退缩牙根出现三角形空隙图
牙龈退缩牙龈出现萎缩,逐渐远离牙颈部,牙齿被牙龈覆盖的面积减小,牙根暴露,牙根间隙露出形成黑三角,牙根部呈黄色,牙龈敏感,影响咀嚼。
牙龈
萎缩
牙龈退缩牙缝出现三角形区域图
牙龈退缩导致上下两排多颗牙齿有不同程度的增长,因牙龈萎缩,相邻的牙根处有倒三角形区域,牙缝增宽。牙根暴露后,牙齿越发敏感,刷牙、进食等均会造成不适。
牙龈
萎缩
牙龈退缩多个牙根不同程度露出图
牙龈退缩后,上下排的牙齿有不同长度的牙根露出,牙龈颜色粉红偏白,有破损,触碰易出血。牙根露出导致牙齿敏感,容易遭受热、冷、酸等刺激。
牙龈
萎缩
牙龈退缩上下牙露出淡黄色牙根图
牙龈退缩后,淡黄色的牙根暴露,退缩的牙龈缘圆钝、敏感,患者自觉有紧张感。因为牙根暴露,冷、热等变化即可引起牙齿不适,且牙缝过大易残留食物残渣,使菌斑增多。
牙龈
红肿 · 萎缩
牙龈退缩牙根轻微暴露牙龈红肿图
牙龈退缩导致上下排的牙齿有轻微的牙根暴露,敏感度增加,易出现口腔不适。牙龈有轻微红肿,质地脆弱,刷牙或进食等动作易引起出血。
牙龈
萎缩
牙龈退缩多个牙龈萎缩牙齿缝隙变大图
牙龈退缩后,牙齿相邻缝隙增大,牙根暴露增多,牙体整体正常。牙龈处质地偏脆弱,触碰后易出血,暴露的牙根因为露出神经,所以敏感性增高。
牙龈
萎缩
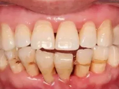
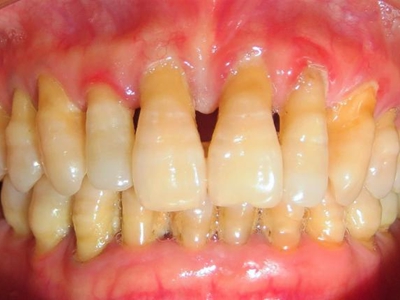
牙龈退缩多处牙龈萎缩露出黄褐色牙根图
牙龈退缩使牙体增长,牙根处有黄色牙体露出,易堆积牙菌斑,呈黄褐色,患者自觉牙齿敏感,对冷、热、酸等易受刺激。牙根处有小月牙形状的凹痕。
牙龈
萎缩
牙龈退缩多颗牙的牙龈萎缩发红图
牙龈退缩使得下牙尖牙的牙根暴露严重,牙体变长,退缩的牙龈颜色呈深红色,边缘有轻度的鼓起,而整体的牙龈组织发白。患者口腔敏感易受刺激。
牙龈
萎缩
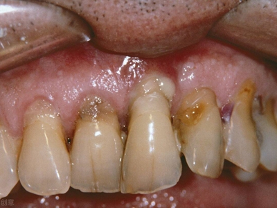
牙龈退缩露出牙根处红色肉芽图
牙龈退缩后,牙根出现明显的暴露,相邻两颗牙齿根部有三角形的牙洞形成。牙龈处软组织颜色加重,呈深红色,溃疡部位有红色肉芽增生。
牙龈
萎缩
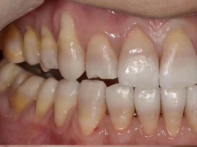
牙龈退缩多颗牙根暴露牙龈发红图
牙龈退缩造成牙根暴露,牙齿敏感度增加,牙龈缘发红增厚,边缘处鼓起部分圆润。黄色牙根暴露后,整颗牙齿增长,牙缝也增宽,容易积存牙菌斑。
牙龈
萎缩
牙龈退缩全口牙龈萎缩下牙牙缝变大图
牙龈退缩后,上下牙的多颗牙齿之间相邻的牙缝增宽变大,牙齿也因为根部暴露而变长,牙根部易积存牙菌斑,导致淡黄色的牙根变成褐黄色。
牙龈
萎缩
牙龈退缩下牙缝变得很大图
牙龈退缩患者多颗下牙的牙龈回缩,导致患者的牙缝很大,牙齿较为松动,伴有牙根面敏感、口臭等症状。本病的发生与牙周炎治疗不及时、刷牙不当等因素有关。
牙龈
萎缩
牙龈退缩上下牙龈萎缩下排牙缝变大图
牙龈退缩患者上下排的牙齿有不同程度的增长,下排牙的牙缝变大,牙根处牙龈发白,有较小的月牙状痕迹。因为牙根暴露,以及牙缝的增宽,容易积存牙菌斑,部分牙根呈黑色改变。
牙龈
萎缩
牙龈退缩下牙两个牙根暴露严重图
牙龈退缩后,牙根暴露的程度不一,牙体也相应变长,下牙症状更加明显,患者牙齿敏感,很容易受到冷热刺激,而牙龈质地脆弱,触碰后易破溃出血。
牙龈
萎缩
牙龈退缩上下牙多个牙龈不同程度萎缩图
牙龈退缩后,退缩的牙龈有紧绷感,质地变脆弱,容易出血,暴露的牙根处有凹陷的沟痕,容易堆积牙菌斑。因上下排牙齿的退缩程度不同,牙龈敏感的程度也不同。
牙龈
萎缩
牙龈退缩多颗牙齿牙缝变大图
牙龈退缩患者靠近牙根部的牙龈缩小,露出了部分牙根,尤其上排中间牙齿,看起来像要松动的样子,两个门牙中间牙缝宽大明显,需注意防护牙齿。
牙龈
萎缩
牙龈退缩上牙龈萎缩严重露出深黄色牙根图
牙龈退缩患者的上牙龈退缩比较严重,能够看到原本无法看到的部分牙根,比原来的牙齿变长,牙根位置能够看到很多牙结石,应尽快处理,以免退缩更严重。
牙龈
萎缩
牙龈退缩上牙龈萎缩露出深黄色牙根图
牙龈退缩导致上牙的牙龈严重萎缩,牙根暴露,齿间缝隙大,侧面堆积黄色菌斑。牙龈退缩后根面长久暴露,患者会有牙齿敏感等不适症状。
牙龈
萎缩
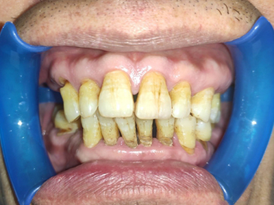
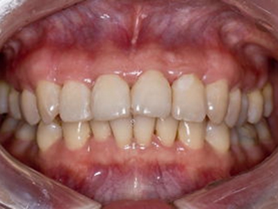
牙龈退缩所有牙齿牙龈萎缩牙根暴露图
牙龈退缩严重,扩展至全口牙齿,牙根严重暴露,呈淡黄色。牙齿缝隙宽大,并伴有点点黄褐色菌斑。暴露的根面易发生龋齿、楔状缺损,应及时处理。
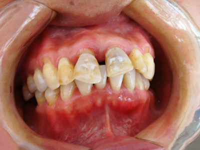
牙龈
萎缩
牙龈退缩下排牙龈暴露淡黄色牙根图
牙龈退缩使下排多颗牙齿的牙根暴露在外,牙根比牙冠纤细很多,色泽淡黄,牙齿间的缝隙较大。通常伴有龋齿、根面缺损、牙齿敏感等情况。
牙龈
萎缩
牙龈退缩下牙牙龈萎缩露出牙根图
牙龈退缩发生于唇、颊侧的下排切牙处,早期能够看到牙根暴露,无其他明显症状。后期萎缩愈加严重,会使患者容易发生龋齿、牙齿敏感等问题。
牙龈
萎缩
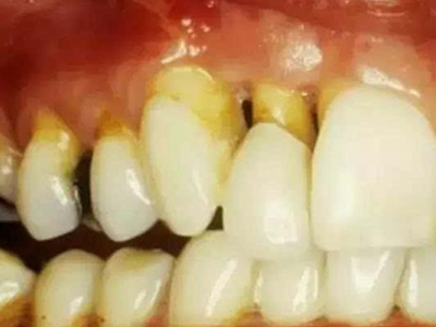
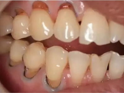
牙龈退缩下排牙龈萎缩牙根暴露有牙渍图
牙龈退缩导致下排两门牙的牙根有不同程度的暴露,呈淡黄色。牙面分布有黄褐色的菌斑,齿间可见食物残渣和结石。病程继续发展,对应位点的牙槽骨会出现骨吸收,患者牙齿敏感,容易出现龋齿。
牙龈
萎缩
牙龈退缩露出一截牙根图
牙龈退缩表现为多颗牙齿的牙根明显露出一截,这是由于牙龈回缩所致,患者的牙根面暴露在外较为敏感,容易发生龋坏,可通过牙周手术治疗。
牙龈
萎缩
牙龈退缩下排牙的牙龈萎缩牙根暴露图
牙龈退缩使下排的切牙和尖牙牙根明显暴露,牙齿下方变为淡黄色,牙体变长,牙齿外观整体变为三角形,且患处的牙缝变宽大,形成黑色三角形空洞。
牙龈
萎缩
牙龈退缩下排牙龈萎缩一个牙根暴露图
牙龈退缩造成下排牙龈萎缩,露出淡黄色的牙根,其中有个下门牙的牙根整个暴露,牙齿外观变为三角形,附近牙龈因缺血变为苍白色,有轻微肿胀。
牙龈
萎缩
牙龈退缩下排牙龈萎缩牙根暴露图
牙龈退缩发作于下排,多颗牙齿的牙龈萎缩,暴露出下方淡黄色的牙根,形成类似半月形的痕迹,患处牙齿容易继发根面龋,且进食时容易感到刺激痛。
牙龈
萎缩
牙龈退缩下排牙龈萎缩有黄褐色牙渍图
牙龈退缩患者下排牙龈萎缩,露出部分牙根,由于牙根表面略粗糙,容易受饮食或吸烟影响而着色,因此容易形成黄褐色的牙渍,且牙体变长,容易继发根面龋。
牙龈
萎缩
牙龈退缩下排牙龈不同程度萎缩图
牙龈退缩导致患者下排牙龈有不同程度的萎缩,对于牙列不齐的患者,靠内侧的牙龈症状更加明显,牙龈退缩后露出牙根,能隐约看见牙缝宽大形成小洞。
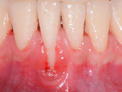
牙龈
红肿 · 萎缩
牙龈退缩下排牙龈萎缩红肿图
牙龈退缩临床症状为下排牙龈萎缩,接近牙根处牙龈略显苍白,接近牙槽骨处的牙龈泛红肿胀,且牙根暴露,牙体变长,容易出现根面龋。
牙龈
萎缩
牙龈退缩下排牙缝出现多个三角形图
牙龈退缩患者的下排牙缝很大,形成黑色的洞,牙变长,下牙露出牙根,表面粗糙,容易被饮食染成淡黄色,并逐渐加深,后期会形成褐色牙垢。
牙龈
萎缩
牙龈退缩下牙的牙龈萎缩牙根完全暴露图
牙龈退缩导致下牙整体牙龈向后萎缩,露出牙根,牙齿外观整体变长,牙缝变宽变长,严重的单颗牙齿整个牙根暴露,进食时容易感到疼痛。
牙龈
萎缩
牙龈退缩下排磨牙牙龈萎缩牙根暴露图
牙龈退缩发作于下排牙齿的磨牙,表现为局部的牙龈萎缩,暴露出淡黄色的牙根,附近牙缝宽大,形成黑色三角形,患处牙龈有明显红肿。
牙龈
萎缩
牙龈退缩下牙的牙龈萎缩严重牙缝变大图
牙龈退缩导致患者下牙多颗牙的牙龈萎缩严重,露出牙根,表面略粗糙,牙根处的牙缝变大,形成多个黑色三角形,暴露牙根的切牙容易有刺激痛。
牙龈
萎缩
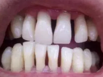
牙龈退缩上牙齿变长图
牙龈退缩患者上排切牙的牙根暴露在外,使前面的牙齿看起来变长,伴有牙根面敏感、口臭等症状,可前往医院通过牙周手术进行治疗。
牙龈
萎缩
牙龈退缩下牙牙龈有黑色牙缝图
牙龈退缩发作于下牙龈,门牙附近症状更加严重,暴露出淡黄色的牙根,两侧有两个黑色三角形牙缝,牙龈整体呈淡粉色,略苍白,有轻微水肿。
牙龈
萎缩
牙龈退缩下牙牙龈萎缩牙缝变三角形图
牙龈退缩临床症状为牙龈萎缩,下牙龈更加明显,部分牙根暴露,使牙缝变成三角形,暴露的牙根为淡黄色,容易出现根面龋、刺激痛。
牙龈
萎缩
牙龈退缩多颗牙齿牙龈萎缩图
牙龈退缩患者下牙多颗牙齿的牙龈萎缩,暴露出部分牙根,牙体外观变长,部分上牙的牙龈也有少许退缩,随病程发展牙根处会出现明显的牙缝。
牙龈
萎缩
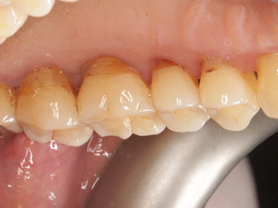
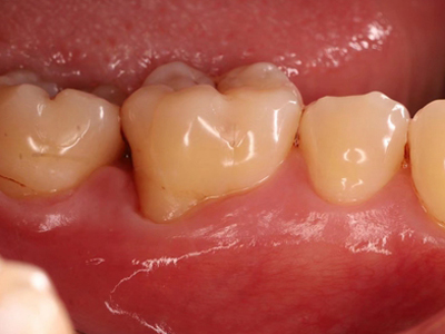
牙龈退缩下磨牙牙龈萎缩牙根几乎暴露图
牙龈退缩表现为下磨牙的牙龈萎缩,第一磨牙近中牙根几乎整个暴露出来,附近牙龈有轻微红肿,牙根暴露后容易出现根面龋,吃东西或喝水时有刺激痛。
牙龈
萎缩
牙龈退缩牙根上的牙龈慢慢消失了图
牙龈退缩患者的牙根处表现为牙龈慢慢消失,全口牙都有不同程度的牙根暴露,看起来牙变长了,露出三角形的淡黄色牙根,牙齿由于脱矿也有明显变色。
牙龈
萎缩
牙龈退缩多颗牙根暴露在外图
牙龈退缩时,牙龈软组织边缘向牙根方向迁移,超过釉牙骨质界而暴露根面,患者多颗牙齿的牙根暴露,呈淡黄色,牙齿敏感度增加,易发酸,自觉牙根处有紧张感。
牙龈
萎缩
牙龈退缩牙龈萎缩出血图
牙龈退缩导致龈缘向牙根处萎缩,上排牙齿的牙龈缘和附着的牙面处形成楔状缺损,缺损处有血丝,呈出血状态。牙龈发白、肿胀。继续发展,楔状缺损增大,牙根暴露明显。
牙龈
萎缩
牙龈退缩牙牙根都暴露了图
牙龈退缩临床症状为龈缘退缩,牙间乳头丧失,多个牙的牙根暴露,相邻牙齿间缝隙增宽、增大,由于食物易嵌塞,若不能及时清理或做好抗龋控制,会发生根面龋。
牙龈
萎缩
牙龈退缩门牙牙缝变大了图
牙龈退缩后牙缝增大,尤其是门牙,易嵌塞食物造成牙齿龋化。牙龈颜色充血发紫,龈缘处鼓起,与牙面附着处形成牙周袋,积存牙结石,进一步造成牙龈退缩。
牙龈
萎缩
牙龈退缩下牙缝很宽牙齿变稀疏图
牙龈退缩发生于口腔内多颗牙齿上,牙间隙变大、增宽,牙齿稀疏,牙龈向牙根部萎缩,暴露牙根,增加了牙体长度。牙龈充血、脆弱,受温度、机械刺激等易出血。
牙龈
萎缩
牙龈退缩露出棕黄色牙根图
牙龈退缩临床症状为牙根暴露在外,牙根颜色发黄且存在黑色斑点,这是由于牙龈回缩导致牙根暴露,细菌在牙根上附着的临床表现,伴有口臭症状。
牙龈
萎缩
牙龈退缩露出黄褐色牙根图
牙龈退缩表现为龈缘位置向后退,使牙根暴露,牙体增长,整体呈倒三角状。相邻两颗牙齿的根部因暴露增多,牙间隙增大,呈三角形的黑洞,不仅影响口腔美观,对牙齿健康也不利,易龋变。
牙龈
萎缩
牙龈退缩露出黄色牙根牙缝增大图
牙龈退缩后,牙根暴露增多,牙体很长,牙根原本正常颜色为淡黄色,但根面并不光滑,易受食物影响发生色素沉积。牙间隙从根部开始增大,不可逆。
牙龈
萎缩
牙龈退缩露出深黄色牙根牙缝变大图
牙龈退缩一般难以再生,牙龈萎缩暴露牙根,呈深黄色,相邻的牙齿缝隙变大,牙根处有凹陷,易积存牙石,蓄积牙菌斑,造成龋齿。牙龈退缩的主要处理方式是防止退缩继续加重。
牙龈
萎缩
牙龈退缩露出一个三角形牙根图
牙龈退缩,牙齿根部龈瓣向后迁移,牙根越向下越窄,暴露处呈三角形。同时导致相邻两颗牙的牙根处出现一个倒三角形的间隙。针对牙龈退缩应寻找原因处理,比如改变刷牙习惯、调整上下牙咬合力等。
牙龈
萎缩
牙龈退缩下牙牙根变成三角形图
牙龈退缩后因为牙龈缘的萎缩,下牙根部暴露,严重者牙齿根部几乎全部露出,牙根变成三角形。牙体变长,因为牙本质的暴露,易受温度、机械、化学等刺激影响,造成牙根敏感症状。
牙龈
萎缩
牙龈退缩牙缝呈三角形图
牙龈退缩患者相邻牙的缝隙增大,尤其牙根部因为龈乳头的消失呈现三角形的缺口,牙龈充血,龈缘肥厚像救生圈样,与牙齿的附着处变宽松,常积存牙菌斑,影响牙齿健康。
牙龈
萎缩
牙龈退缩全口牙龈萎缩牙根暴露发黑图
牙龈退缩的临床症状为牙龈萎缩后退,牙根暴露,且暴露处发黑,龈缘处肥厚、凸起,充血明显。主要是牙周炎引起牙槽骨吸收和附着丧失导致。
牙龈
萎缩
牙龈退缩牙根轻微暴露图
牙龈退缩发生于口腔多颗牙齿,以下排牙两侧尖牙处最明显,牙龈向后退缩,牙根处暴露,牙结石易在此处发生堆积。治疗重点是预防,查明原因防止牙龈退缩加重,严重者则手术行游离龈瓣移植。
牙龈
萎缩
牙龈退缩一颗牙整个牙根暴露图
牙龈退缩重症患者的下排牙其中一颗整个牙根暴露,牙根部变黑,发生龋坏,若持续进展会形成环绕牙根面的环状龋,影响相邻牙齿。其余牙齿的牙根虽未完全暴露,但根部已经发生楔状缺损。
牙龈
萎缩
牙龈退缩尖牙牙龈萎缩露出淡黄色牙根图
牙龈退缩导致上排牙的尖牙露出淡黄色牙根,呈三角状。牙龈缘向后,牙根附着处的龈缘鼓起、肥厚,呈救生圈样。此时牙齿敏感,牙龈脆弱,温热刺激或机械等会造成出血。
牙龈
萎缩
牙龈退缩牙根露出牙缝变大图
牙龈退缩患者牙龈发生回缩使牙根暴露,患者的牙齿松动、牙缝增大,同时伴有牙根面敏感、根面龋等情况,本病的发生与不良刷牙习惯、牙周炎等因素有关。
牙龈
萎缩
牙龈退缩一颗下牙的牙根变成三角形图
牙龈退缩可以单颗牙发生,下牙因为牙龈的退缩暴露处大部分牙根,暴露处牙根呈三角形,牙龈充血、发红,质地脆弱,受刺激后会引起出血,可以在暴露局部涂抹硝酸钾制剂进行止血。
牙龈
萎缩
牙龈退缩下牙龈萎缩暴露牙根图
牙龈退缩发生于口腔内多颗牙齿上,下门牙龈退缩严重,牙根暴露,造成牙齿敏感。其余牙齿原附着的龈缘向后退缩,且牙龈肥厚、肿胀。
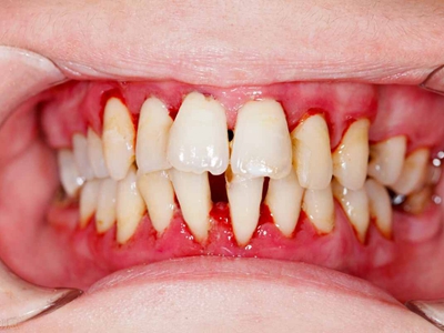
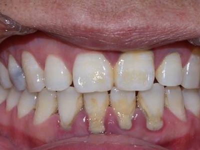
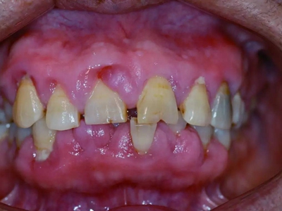
牙龈
充血 · 萎缩
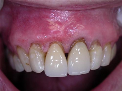
牙龈退缩露出牙根牙龈很红图
牙龈退缩发生在多颗牙齿上,因退缩较重,牙龈有炎性浸润而充血,牙根暴露形成根部凹陷,导致牙齿敏感的同时,方便了牙菌斑的生成。
牙龈
萎缩
牙龈退缩牙根不同程度暴露图
牙龈退缩导致患者的唇颊面牙龈发生回缩,各牙齿的牙根发生不同程度的暴露,伴有牙根面敏感、口臭等症状,需要进行治疗,可进行牙周手术治疗。
牙龈
萎缩
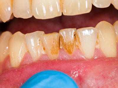
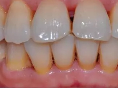
牙龈退缩下面门牙牙龈萎缩露出黄色牙根图
牙龈退缩时,下门牙的牙龈边缘向釉牙骨质界的根方萎缩,露出黄色牙根,牙齿表面有黄斑,发生于唇、颊侧。暴露的根面易使患者有牙齿敏感、食物嵌塞、菌斑堆积等问题。
牙龈退缩相关知识
牙龈退缩是指牙龈边缘向釉牙骨质界的根方退缩,致使牙根暴露。当牙龈退缩到一定程度时,对应位点的牙槽骨也可能会存在骨吸收。牙龈退缩可发生在个别牙齿或全口牙龈,唇、颊侧多于舌、腭侧,影响美观外。
暴露的根面易发生龋齿、楔状缺损或牙本质敏感。另外,牙间乳头的退缩使邻间隙增大,易造成食物嵌塞和菌斑堆积,前牙区还可能形成黑三角。
牙龈退缩可能是多因素导致的,包括菌斑滞留、刷牙不当、正畸治疗、咬合力过大以及解剖因素等。另外,如果患有牙周炎,经过治疗后炎症消退,也可表现为牙龈退缩。
轻度或无症状的静止性牙龈退缩,可以观察,暂时不处理。若牙龈退缩持续进展,要对因治疗,如改变刷牙习惯,去除不良修复体等,再仔细清洁龈下菌斑。部分患者可进行膜龈手术、引导性骨再生术治疗等。
参考文献
[1]孟焕新.牙周病学.第5版[M].北京.人民卫生出版社.2020.175-176.
[2]张震康,俞光岩,徐韬.实用口腔科学.第4版[M].北京.人民卫生出版社.2016.124.
相关科普
牙龈退缩怎么测量
付晶
济南市口腔医院
牙龈退缩怎么办
刘宗响
徐州市口腔医院
牙龈退缩怎么回事
王晓飞
银川市口腔医院
牙龈退缩症状
刘宗响
徐州市口腔医院
牙龈退缩多少是严重牙周炎
付晶
济南市口腔医院
牙龈退缩用什么牙膏
付晶
济南市口腔医院
牙龈退缩怎么恢复
余挺
广州医科大学附属口腔医院
什么是牙龈退缩、牙周炎
徐岩
济南市口腔医院
牙龈退缩是怎么回事
赵然
中山市博爱医院
牙龈退缩能恢复吗
谢春
华中科技大学同济医学院附属协和医院