首页
我的
溃疡性口炎症状图片
本文由有来医生原创,经专业医师审核校对
所有图片质量和准确性经专业医生严格审查
王卫之
主任医师 | 审核医师
山东大学齐鲁医院
|
口腔修复科
溃疡性口炎是由链球菌、金黄色葡萄球菌、肺炎链球菌等引起,多见于婴幼儿,常发生于感染、长期腹泻等机体抵抗力下降时,口腔不洁更有利于细菌繁殖而致病。口腔各部位均可发生,常见于舌、唇内及颊黏膜处,表现为黏膜上分泌物形成假膜,呈灰白色或黄色。
溃疡性口炎症状图片
唇内侧
溃疡
溃疡性口炎嘴唇里面有溃疡周围发红图
溃疡性口炎患者下嘴唇内侧大面积发红,上面有溃疡面,边界不清晰,其上覆有白膜,轻轻擦拭掉,会露出鲜红色的创面,伴有明显疼痛。
唇内侧
溃疡
溃疡性口炎嘴唇内有多处溃疡图
溃疡性口炎常见于唇内黏膜上,表现为多发性溃疡,形状不规则,边缘凸起,中央凹陷,周围黏膜红肿明显,相邻溃疡可相互融合,患者有明显疼痛感。
唇内侧
溃疡
溃疡性口炎嘴唇内黏膜有溃疡图
溃疡性口炎患者嘴唇内侧有溃疡斑,散在分布,如绿豆大小,形状不规则,其上附有黄色假膜,边界清晰,与周围黏膜形成鲜明对比,患者可伴有发热等全身症状。
舌头
白斑
溃疡性口炎舌头发红有白斑图
溃疡性口炎好发于舌头,患者舌头一侧有多个溃疡,其上有白膜覆盖,周围有红晕,白膜容易擦去,擦去后会露出溢血的创面,不久又会有假膜覆盖在创面上。
唇内侧
溃疡
溃疡性口炎嘴唇上有不规则的溃疡面图
溃疡性口炎患者嘴唇内侧的黏膜上有几块形状不规则的溃疡斑,周围红肿明显,随着病情发展,溃疡面积会逐渐增大,患者有明显疼痛感。
舌侧
溃疡
溃疡性口炎舌头侧面有圆形糜烂图
溃疡性口炎患者舌头一侧有大小不等的溃疡面,由米粒至黄豆大小,其上附有黄色假膜,略微凹陷,周围绕以红晕,舌面上附有较厚的白苔。
舌尖
溃疡 · 小坑
溃疡性口炎舌头前面有个小坑图
溃疡性口炎舌头前面有凹陷的溃疡斑块,斑块边缘突出,呈鲜红色,中央凹陷呈小坑,形似火山口,其上附有黄白色假膜,舌面上有黄白色较厚的舌苔。
舌尖
溃疡
溃疡性口炎舌头尖溃疡发白图
溃疡性口炎舌尖上有一块形状不规则的溃疡,周围红肿,中央发白,其上附有黄色假膜。本病主要是由细菌感染所致,需控制感染,遵医嘱使用抗生素类药物治疗。
口腔
溃疡
溃疡性口炎上腭有一片发白的溃疡面图
溃疡性口炎可累及口腔上腭处,初期黏膜充血水肿,继而形成发白的溃疡面,创面大小不等,聚集分布,其上附有黄白色假膜,呈圆形。
唇内侧
溃疡
溃疡性口炎上嘴唇充血溃疡图
溃疡性口炎出现在上唇内黏膜上,创面整体略向下凹陷,形状不规则,能多发或单发,周围黏膜充血、水肿,伴有疼痛,进食时疼痛加剧。
舌头
红肿
溃疡性口炎舌头红肿上有一层膜图
溃疡性口炎患者舌头轻微红肿,上面有一层黄白色的假膜覆盖,边界清楚,假膜中间有几个点状的小坑,同时假膜易拭去,但会露出溢血的创面,伴有发热、疼痛等症状。
唇内侧
溃疡
溃疡性口炎下嘴唇内侧有白色假膜图
溃疡性口炎患者下嘴唇内侧黏膜上有散在分布的溃疡,周围黏膜红肿,其上附有黄白色假膜,随着病情进展,溃疡会逐渐增多,应及时进行抗感染治疗。
舌头
溃疡
溃疡性口炎舌头下有凸起的溃疡图
溃疡性口炎舌头下面舌系带两边明显充血、水肿,其上有多个大小不一的溃疡面,附有黄白色假膜,质地较厚,略突出于黏膜表面,散在分布,部分相互融合。
舌头
溃疡 · 白斑
溃疡性口炎舌头上有两个白圈图
溃疡性口炎舌头明显红肿,其上有白斑,类似白圈一样,能多发或单发,部分相互融合,能形成较大的创面,患者有明显疼痛感,进食时疼痛更加明显。
舌头
溃疡 · 白斑
溃疡性口炎舌头下有白色斑块图
溃疡性口炎舌头下面有多发的溃疡面,看起来像是白斑,呈圆形,大小不等,个别出现融合现象,创面边界清晰,周围有红晕,是细菌感染导致,治愈后容易复发。
唇内侧
溃疡 · 白点
溃疡性口炎嘴唇上有一片密集的白点图
溃疡性口炎发生在上嘴唇内侧黏膜上,为绿豆大小的白色溃疡面,创面较小,看起来像是白点,聚集分布,可相互融合,患者有明显疼痛感。
口腔
溃疡 · 白斑
溃疡性口炎口腔侧面有好几个白斑图
溃疡性口炎常见于口腔黏膜处,表现为多发的溃疡面,创面发白微微向内凹陷,边缘略微凸起,相邻创面融合成大块,其上附有白色假膜,看起来像是白斑。
舌尖
溃疡
溃疡性口炎舌尖上有个圆形溃疡图
溃疡性口炎舌尖有一块黄豆大小的溃疡,溃疡周围有红晕,中间略微凹陷,其上附有白色假膜,随着病情进展,溃疡面会逐渐扩大、加深,疼痛更加明显。
口腔
溃疡
溃疡性口炎上牙膛有大块溃疡图
溃疡性口炎可发生在口腔各处,开始时黏膜充血、水肿,继而形成溃疡斑,能多发,相互能融合成较大的损害,蔓延整个上颚,其上有假膜覆盖。
唇内侧
溃疡
溃疡性口炎下嘴唇内侧有几个灰白色溃疡图
溃疡性口炎患者下嘴唇内侧出现几个溃疡,表面有灰白色薄膜覆盖,呈针尖至大米粒大小,形状不规则,自觉有疼痛、口水增多、食欲下降等现象。
舌头
溃疡 · 白点
溃疡性口炎舌头发红有一堆白点图
溃疡性口炎患者舌头下面及嘴唇内侧黏膜上,有多个溃疡斑面,呈白色,针尖大小,状似白点,分布较为聚集,部分溃疡已融合成片,患者自觉疼痛。
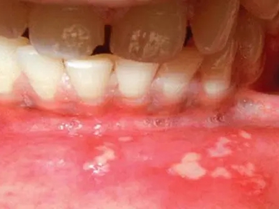
牙龈
红肿
溃疡性口炎右上方牙龈明显红肿图
溃疡性口炎患者的口腔右侧上方后边牙龈明显红肿,边界模糊,伴有明显疼痛、唾液增多,出现频繁流口水的情况,患者应注意保持口腔清洁。
唇内侧
溃疡
溃疡性口炎嘴唇上有灰白色的溃疡图
溃疡性口炎患者的嘴唇一侧出现大小不等的灰白色溃疡,形状呈圆形或类圆形,界限清晰,周围有红晕,并伴有发热、烦躁、食欲减退等症状。
口腔
溃疡
溃疡性口炎嘴里有几个灰白色溃疡面图
溃疡性口炎患者口腔上方的位置,医学上称为上腭,局部出现溃疡后,表面覆盖薄厚不一的灰白色假膜,大小不等,独立或聚集存在,周围黏膜发红,多因金黄色葡萄球菌等细菌感染引起。
舌头
白斑
溃疡性口炎舌头有白斑图
溃疡性口炎患者舌头上有多块黄白色斑块,分布不规则,多数斑块聚集分布在舌中部,相互可融合,溃疡中间凹陷,边缘隆起,扁平突出于舌黏膜表面。
唇内侧
溃疡
溃疡性口炎嘴唇里面烂了图
溃疡性口炎患者下唇角内黏膜有两块相邻的溃疡,约黄豆大小,边界清晰,整体呈椭圆形,其上附有白色黏膜,向下凹陷,斑块周围的黏膜略微发红。
唇内侧
白斑
溃疡性口炎嘴唇内有好几个白色斑块图
溃疡性口炎发生于下嘴唇内侧,表现为多发的聚集性溃疡,溃疡大小不等,呈类圆形,其上附有白色黏膜,略突出于黏膜表面,周围有红晕。
口腔
白斑
溃疡性口炎上腭有大块白斑图
溃疡性口炎患者口腔上腭有大片白斑,质地略厚,突出于黏膜表面,边界模糊,形状不规则,其上附有白膜,容易擦拭掉,但会露出鲜红的基底面,不久又会被白膜覆盖。
舌头
白点
溃疡性口炎舌头上有白点图
溃疡性口炎婴儿舌头上有多个绿豆大小的白点,形状不规则,由细菌感染引起,患儿同时可伴有流口水、拒食、烦躁等症状,需遵医嘱使用药物治疗。
舌头
白斑
溃疡性口炎舌头有白斑图
溃疡性口炎患儿舌头上有白色假膜,看起来像是白斑,集中在舌头中部,随着病情的发展,白膜会逐渐增多,可蔓延至嘴唇及咽喉部位,假膜擦拭掉会露出渗血的创面。
咽喉
溃疡 · 白点
溃疡性口炎咽部泛红有白点图
溃疡性口炎病情较重者,可累及咽喉部黏膜,咽部两侧及咽后壁均有明显红肿,其上有针尖大小的溃疡面,呈白点状,米粒大小,其上有黄白色假膜,伴有疼痛,吞咽时疼痛更加明显。
咽喉
糜烂
溃疡性口炎咽部有大片糜烂图
溃疡性口炎病情较重时,溃疡可蔓延至咽喉部,咽后壁及侧壁形成糜烂面,其上有黄色假膜,质地较厚,突出黏膜表面,擦去假膜有血液渗出,伴有疼痛,影响进食。
溃疡性口炎相关知识
溃疡性口炎口腔各部位均可发生,常见于舌、唇内及颊黏膜处,可蔓延到唇及咽喉部。开始时口腔黏膜充血水肿,随后形成大小不等的糜烂或溃疡,边界清楚,易拭去,露出溢血的创面,但不久又被假膜覆盖。
本病涂片染色检查可见大细菌,患者多有局部疼痛、流涎、拒食、烦躁,常有发热,体温可达39-40℃,局部淋巴结肿大,全身症状轻者约1周左右体温恢复正常,溃疡逐渐愈合;严重者可出现脱水和酸中毒。
溃疡性口炎主要由链球菌、金黄色葡萄球菌、肺炎链球菌、铜绿假单胞菌或大肠埃希菌等感染引起,多见于婴幼儿,常发生于感染、长期腹泻等机体抵抗力下降时,口腔不洁更有利于细菌繁殖而致病。
溃疡性口炎患者的治疗,宜控制感染,选用有效抗生素。保持口腔清洁,可用过氧化氢溶液或依沙吖啶(利凡诺)溶液清洁口腔。同时遵医嘱局部用药,溃疡面涂金霉素鱼肝油软膏、锡类散等药物。补充水分和营养。
参考文献
[1]崔焱,仰曙芬.儿科护理学.第6版[M].北京.人民卫生出版社.2017.263.
[2]王新刚等主编.现代急危重症学下[M].长春:吉林科学技术出版社,2016.07.654-655.
相关科普
溃疡性口炎怎么治疗
孙正
首都医科大学附属北京口腔医院
喉癌手术后不能说话怎么办
陈万军
山东省肿瘤医院
慢性肝炎会传染吗
张玉峰
河南省中医院
慢性非萎缩性胃炎如何治疗
张玉峰
河南省中医院
慢性肠胃炎的用药注意事项
张玉峰
河南省中医院
经期同房的危害
贺昕红
首都医科大学附属北京友谊医院
试纸多久能测出来怀孕
贺昕红
首都医科大学附属北京友谊医院
腹膜透析患者高血压的发生机制
邓利荣
包头医学院第一附属医院
血液净化导致低氧怎么办
史应进
包头医学院第一附属医院
血液净化病人需要做什么准备
史应进
包头医学院第一附属医院