楔状缺损症状图片

本文由有来医生原创,经专业医师审核校对
所有图片质量和准确性经专业医生严格审查

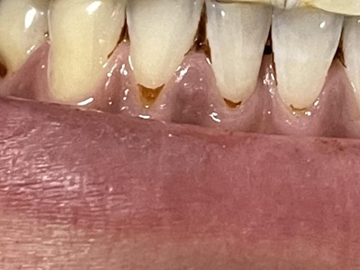
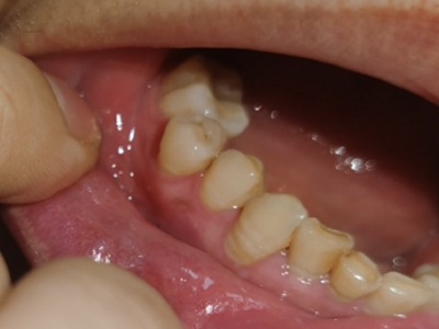
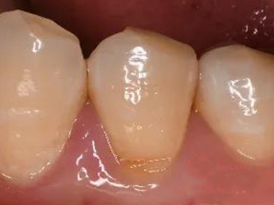
楔状缺损是一种非龋性牙颈部慢性损伤,是指发生在牙齿唇、颊面颈部的慢性硬组织缺损。典型缺损由两个夹面组成,口大底小,呈楔形。楔状缺损多发生于中老年人,主要原因是刷牙不当,防治措施是调整咬合关系,改善刷牙方法,配合相应的治疗。

楔状缺损症状图片

楔状缺损相关知识

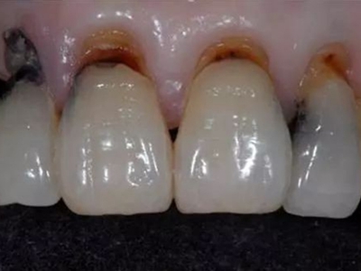
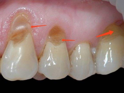
楔状缺损与年龄相关,即年龄越大,缺损越重,患者多有横刷牙习惯,患牙为多颗甚至全口,常以口角附近的牙齿(尖牙、前磨牙)为重。典型表现为牙颈部缺损,呈楔形,由两个夹面组成,口大底小,缺损处质地坚硬,表面光滑,边缘整齐,无染色,轻微泛黄常为牙齿本色,严重时可导致牙髓腔暴露甚至牙齿横向折断,根据缺损深浅不同,可伴有牙齿敏感甚至疼痛。
不正确的刷牙方法,尤其是横刷法是发生楔状缺损的主要原因,因为牙颈部结构比较薄弱,易发生磨损。另外,颊面牙颈部是咬合应力集中区,长期的咀嚼压力使牙体组织疲劳,应力集中区出现破坏,也会造成楔状缺损。龈沟内酸性渗出物,也与楔状缺损的发生有关。
如果楔状缺损不深、症状不明显,可以不处理,有过敏症状可进行脱敏治疗。楔状缺损较深者可行充填修复。缺损达到牙髓腔,导致牙髓感染、根尖周病或牙齿横折者,可进行根管治疗、拔除患牙,再进行修复。平时要采取正确的刷牙手法,例如巴氏刷牙法,避免咬硬物。必要时通过正畸、修复等方法调整咬合关系。

参考文献

[1]周学东.牙体牙髓病学.第5版[M].北京.人民卫生出版社.2020.73-75.

[2]张志愿.口腔科学.第9版[M].北京.人民卫生出版社.2018.46-47.

[3]张震康,俞光岩,徐韬.实用口腔科学.第4版[M].北京.人民卫生出版社.2016.38-39.

相关科普