首页
我的
真菌性角膜炎症状图片
本文由有来医生原创,经专业医师审核校对
所有图片质量和准确性经专业医生严格审查
周欣荣
主任医师 | 审核医师
上海交通大学医学院附属同仁医院
|
眼科
真菌性角膜炎是由致病真菌感染引起的致盲率极高的一种角膜病变。常见致病菌为曲霉菌属、镰刀菌属、念珠菌属等。患者常有角膜损伤史,如某些角膜外伤史,尤其是植物性外伤史,以及长期角膜接触镜配戴史。
真菌性角膜炎症状图片
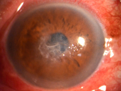
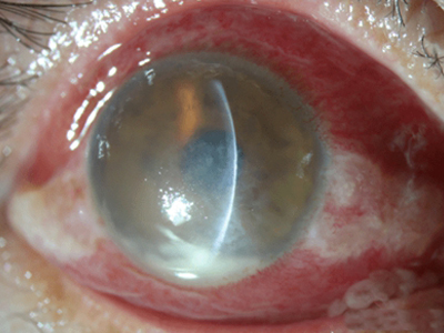
角膜
白斑
真菌性角膜炎角膜上有一块白斑图
真菌性角膜炎患者的角膜上有一块近圆形的白斑,边界清楚,轻微隆起,看起来质地较稀薄,此症状会持续2-3个月,患者需要遵医嘱应用抗真菌药物进行治疗。
眼部
白斑
真菌性角膜炎眼睛充血长白斑图
真菌性角膜炎导致患者眼睛充血、发红,整个眼白被红色血丝所覆盖,其上有大片的白斑,角膜上附有一层轻薄的白膜,靠下的位置白斑较明显。
眼球
白斑
真菌性角膜炎眼球上有一块圆形的白斑图
真菌性角膜炎患者黑眼球上有一块隆起的白斑,呈类圆形,边界清楚,同时眼结膜充血,有较多红血丝,患者会同时伴有视物模糊、畏光、疼痛感等症状。
角膜
白斑
真菌性角膜炎角膜混浊有一块白斑图
真菌性角膜炎导致患者角膜混浊,明显会看见一块近圆形的牙膏样灰白色隆起性斑块在角膜上,整个眼睛的黏膜充血发红,患者感觉到强烈的异物感。
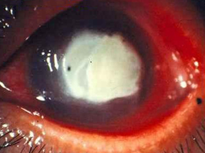
角膜
白斑
真菌性角膜炎角膜上长了一块白斑图
真菌性角膜炎患者整个眼睛充血红肿,角膜表面覆盖有一层白色的假膜,中间致密,明显隆起,形状呈近椭圆形,需要及时进行治疗,避免继发角膜穿孔。
眼球
血丝 · 充血
真菌性角膜炎眼球充血有很多红血丝图
真菌性角膜炎患者眼球上有较多的红血丝,黑眼球荧光染色后会看到黄绿色细丝,此时属于疾病前期的表现,患者自觉症状较轻,应及时就诊,避免病情加重。
角膜
白斑
真菌性角膜炎角膜有白斑变得混浊图
真菌性角膜炎导致患者的角膜上出现一块薄雾状的白斑,呈圆形,能够隐约看到下边的黑眼球,角膜外观看上去混浊,患者会感觉视物模糊。
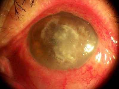
角膜
白斑
真菌性角膜炎角膜上有一块烟雾样的白斑图
真菌性角膜炎会导致患者角膜中央有一片烟雾样的白斑,表面不光滑,仔细观察会看见轻微的凹凸不平,患者会出现视物模糊、视力下降,严重者会造成失明。
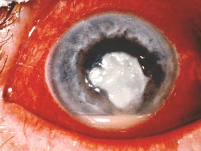
眼球
白斑
真菌性角膜炎黑眼球上有一层厚重的白斑图
真菌性角膜炎导致患者的黑眼球上有一块致密、厚重的白斑,呈类圆形,边界清楚,轻微的隆起,眼球表面凹凸不平,伴有视力下降,需要及时消除炎症,恢复视力。
眼球
白斑
真菌性角膜炎眼球有白斑图
真菌性角膜炎患者的眼睛黏膜充血、发红,黑眼球上有一块黏稠的灰白色斑块,高出于眼球表面,导致整个眼球看上去异常混浊,同时患者伴有眼部异物感。
眼部
充血 · 白斑
真菌性角膜炎眼球长白斑充血图
真菌性角膜炎患者角膜中央出现白色浸润灶,表面由菌丝和坏死组织形成边界清楚、灰白色隆起病灶,呈牙膏样外观,伴有结膜明显充血,患者自觉疼痛。
眼球
白斑
真菌性角膜炎眼球有一块隆起的黄白色斑片图
真菌性角膜炎导致患者眼球上出现一块黄白色的斑块,浸润致密,表面粗糙,外观呈舌苔样,高起于角膜表面,与下方的眼球组织粘连较紧密,不易拭去。
眼球
充血 · 白斑
真菌性角膜炎眼睛充血长白斑图
真菌性角膜炎导致患者的眼睛充血,球结膜表面分布有较多的红血丝,黑眼球上约1/2的部位被白斑覆盖,表面不平整,患者自觉眼睛不适,会不由自主进行揉搓。
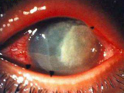
眼球
白斑
真菌性角膜炎眼球长白斑图
真菌性角膜炎患者眼睛出现严重充血,黑眼球外缘有一层比较稀薄的白膜,呈环形,中间长了一块致密的隆起性白斑,形状不规则,严重影响患者的视力。
眼部
充血
真菌性角膜炎眼睛充满红血丝图
真菌性角膜炎表现为结膜混合性充血,角膜边缘有灰白色溃疡,溃疡面平而粗糙,向角膜中央发展,同时伴有眼睛畏光、疼痛、流泪等症状。
眼球
白斑
真菌性角膜炎眼球里长白斑图
真菌性角膜炎患者眼睛角膜后有一块白斑样沉积物,是前房积脓导致,质地黏稠,结膜充血呈鲜红色,伴有水肿,患者有严重的视力障碍。
角膜
白斑
真菌性角膜炎黑眼球长白斑图
真菌性角膜炎表现为角膜出现浸润灶,呈白色或乳白色的斑块样,致密,表面欠光泽,呈牙膏样或苔垢样外观,角膜后有斑块状沉着物,是前房积脓。
眼球
白斑
真菌性角膜炎黑眼球长白斑白眼球充血图
真菌性角膜炎患者结膜出现严重充血,呈现为弥漫性发红,黑眼球3/4的部分都覆盖有一层厚重的白斑,像一层牙膏,患者伴有视力下降、分泌物增多等症状。
角膜
白斑
真菌性角膜炎角膜上有一层白斑图
真菌性角膜炎患者的角膜上存在一层白色的斑片,呈近圆形,边缘不规则,质地较轻薄,表面光泽感消失,患者感觉视物模糊,严重者会出现角膜穿孔的情况。
眼部
白斑
真菌性角膜炎眼睛红肿长白斑图
真菌性角膜炎导致患者眼睛红肿,眼白遍布扩张的红血丝,一半的黑眼球上有白色的斑块,中间致密,边缘轻薄,随着疾病的发展患者会出现眼痛、流泪、视力下降等症状。
角膜
白斑
真菌性角膜炎角膜上有一块白斑图
真菌性角膜炎患者的角膜上有一层致密的白斑,边界清楚,轻微隆起,外观干燥缺乏光泽,为苔垢样,患者同时会伴有视力下降,及时治疗一般能治愈,且无后遗症。
眼部
充血
真菌性角膜炎角膜长满白斑图
真菌性角膜炎患者眼睛充血,眼白上有大量红血丝,黑眼球上布满了牙膏状的白斑,整个角膜混浊。此疾病起病缓慢,刺激症状较轻,患者会有轻微的畏光、流泪。
真菌性角膜炎相关知识
真菌性角膜炎患者眼部有轻中度疼痛、畏光、流泪等刺激症状,伴有视力下降。随病程进展可出现结膜混合性充血,角膜病灶可呈现灰白色角膜溃疡,与周围组织界限分明,部分患者可出现黏稠状前房积脓,表现为角膜后斑状沉着物。严重者可出现角膜变薄、穿孔,也可发生真菌性眼内炎。
真菌性角膜炎主要由致病真菌引起,如曲霉菌属、镰刀菌属、念珠菌属等。眼部外伤,尤其是植物性外伤史是最主要的诱因,另外,长期配戴角膜接触镜也可能诱发真菌性角膜炎。
真菌性角膜炎患者可遵医嘱使用抗真菌药物进行治疗,如那他霉素滴眼液。症状严重时可遵医嘱进行手术治疗,如清创术、角膜移植术等。
参考文献
[1]杨培增,范先群.眼科学.第9版[M].北京.人民卫生出版社.2018.112-113.
[2]李玲主编,现代眼科疾病诊疗学[M].昆明.云南科技出版社.2020.120.
相关科普
什么是真菌性角膜炎
赵伟
重庆三博江陵医院
什么是真菌性角膜炎
亓晓琳
山东省眼科医院
真菌性角膜炎的症状
杜秀娟
山东中医药大学附属眼科医院
真菌性角膜炎怎么治疗
王训刚
江门市五邑中医院
真菌性角膜炎的症状
张晓辉
西安交通大学第二附属医院
真菌性角膜炎的病因有
陈施言
四川省医学科学院·四川省人民医院
真菌性角膜炎如何治疗
任胜卫
河南省立眼科医院
真菌性角膜炎如何治疗好
亓晓琳
山东省眼科医院
真菌性角膜炎临床表现
赵伟
重庆三博江陵医院
真菌性角膜炎用什么药
赵伟
重庆三博江陵医院