牙龈癌症状图片

本文由有来医生原创,经专业医师审核校对
所有图片质量和准确性经专业医生严格审查

牙龈癌在口腔癌中仅次于舌癌而居第2位,组织学类型绝大多数为分化程度较高的鳞状细胞癌。牙龈癌好发于前磨牙区及磨牙区,下牙龈癌较上牙龈癌为多见,上下之比为2:1。牙龈癌发病年龄多为40-60岁,男性多于女性。

牙龈癌症状图片

牙龈癌相关知识

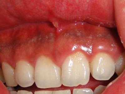
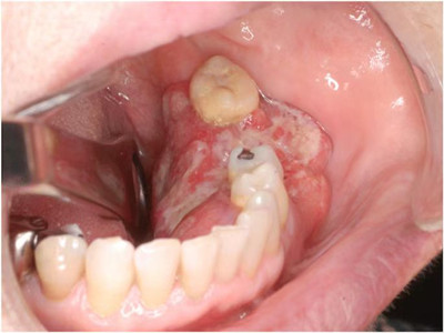
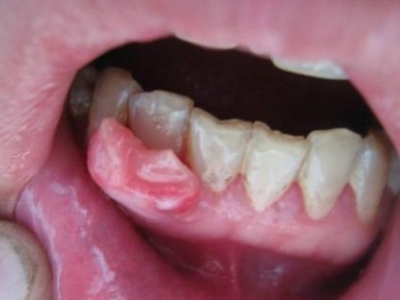
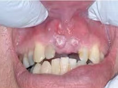
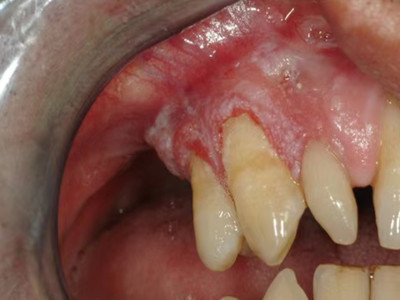
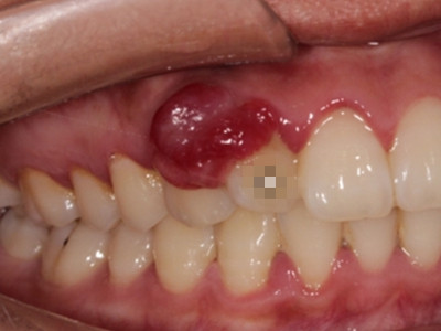
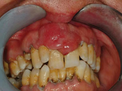
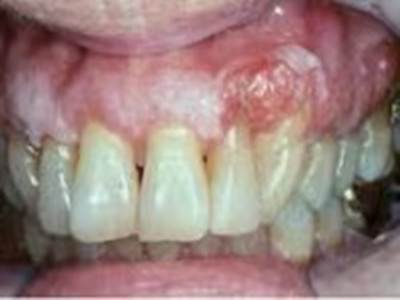
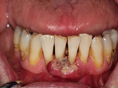
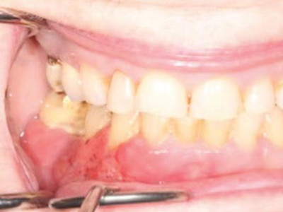
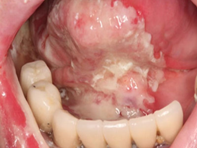
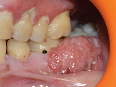
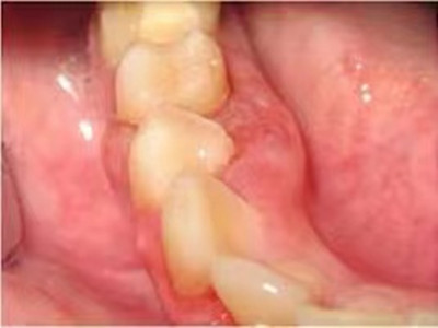
牙龈癌多源于牙间乳头及龈缘区,溃疡呈表浅、淡红,以后可出现增生。由于黏骨膜与牙槽突附着甚紧,较易早期侵犯牙槽突骨膜及骨质,进而出现牙松动,并可发生脱落。X线片可出现恶性肿瘤的破坏特征虫蚀状不规则吸收。
牙龈癌常发生继发感染,肿瘤伴以坏死组织,触之易出血。体积过大时可出现面部肿胀,浸润皮肤。
牙龈癌的发生可能与口腔卫生不良、不良修复体或义齿修复有一定关系;临床上有时亦见伴癌前病变存在;饮食习惯亦与牙龈癌发生有一定关系。多种致癌因素引起上皮细胞的基因突变,导致上皮异常增生,从而出现牙龈癌。
即使是早期的牙龈癌,原则上均应行牙槽突切除,而不仅仅是牙龈切除术。较晚期的应作下颌骨或上颌骨次全切除术。牙龈癌已侵入上颌窦者,应行全上颌骨切除术。一旦发生转移,即应行治疗性颈淋巴清扫术。

参考文献

[1]王玮.现代实用口腔医学[M].云南科技出版社.2020.285.

[2]张志愿.口腔科学.第9版[M].北京.人民卫生出版社.2018.172.

相关科普