首页
我的
带状角膜病变症状图片
本文由有来医生原创,经专业医师审核校对
所有图片质量和准确性经专业医生严格审查
孙一洲
副主任医师 | 审核医师
中国医科大学附属第一医院
|
眼科
带状角膜病变是指一种角膜上皮下发生钙质沉着而引起的角膜病变,又称角膜带状混浊、钙化带状角膜病变。任何年龄均可发病,病变发展缓慢,可长达10年以上。初期的角膜混浊轻微,肉眼不易发现,可陆续出现钙质性灰白色或白色混浊斑,视力晚期可明显减退。
带状角膜病变症状图片
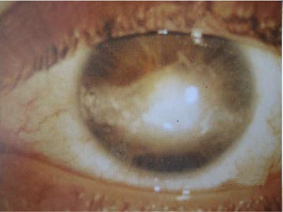
眼球
白斑
带状角膜病变瞳孔两侧发白图
带状角膜病变症状较轻时,表现为瞳孔两侧出现形状不规则的灰白色钙质沉着,多为单眼发病。本病进展缓慢,初期症状较轻,不易发现,但晚期会有明显的视力减退。
眼球
白斑
带状角膜病变眼球出现混浊白斑图
带状角膜病变表现为眼球上出现带状混浊,症状加重后混浊逐渐致密、增厚,形成混浊斑附着于眼球上,患者除自觉眼睛异物感外,常伴随视力下降等症状。
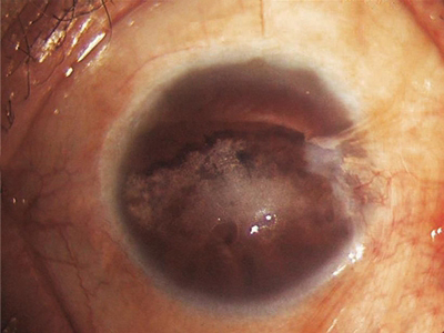
眼球
白斑
带状角膜病变眼球有白色条带图
带状角膜病变初期表现为钙质性灰白色或白色混浊斑,混浊斑可逐渐扩大并相互融合成较大的白色斑块,患者可出现畏光、流泪及眼痛等刺激症状。
眼球
白斑
带状角膜病变眼球有混浊的白色斑块图
带状角膜病变发生于眼球边缘部时,会出现白色的混浊斑,边界清晰,主要由钙质沉积造成。此时应及时就医,避免症状加重后导致视力下降。
眼球
白斑
带状角膜病变黑眼球白斑图
带状角膜病变发生在眼球,黑眼球边缘有一圈环形白斑,表面有少量云雾状的白斑,散在分布,自觉有畏光、眼痛等症状,严重时会有视力减退。
眼球
白斑
带状角膜病变黑眼球长很多白斑图
带状角膜病变患者眼球表面颜色呈浑浊样,表面有大面积云雾状的白斑,多呈乳白色,表面有隆起感,同时眼白处有大量红血丝,可导致视力下降甚至失明。
眼球
白斑
带状角膜病变眼球大片白斑图
带状角膜病变症状见于黑眼球,表现为角膜上有浑浊白斑,可逐渐遮盖瞳孔,患者自觉畏光、疼痛,可遵医嘱使用手术治疗,常见术式为准分子激光。
眼球
白斑
带状角膜病变眼球上有白斑周围有血丝图
带状角膜病变主要累及黑眼球,表面出现不规则白斑,颜色浑浊,多处于眼球边缘,眼白处出现粗细不等的红血丝,患者有畏光、流泪等症状。
眼球
白斑
带状角膜病变眼球上大块白斑看不清东西图
带状角膜病变的症状为眼球表面有大面积的白斑,是钙质沉着导致的,在瞳孔处的颜色呈乳白色,同时眼白处有红血丝形成,伴随异物感、流泪、视力下降等症状。
眼球
白斑
带状角膜病变眼球大片白斑图
带状角膜病变患者眼球表面有钙质白斑覆盖,外观不规则,其中瞳孔部位的白斑密度高,导致患者视力下降,伴有疼痛感,与长期接触兔毛、烟雾等有关。
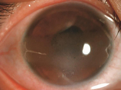
眼球
白斑
带状角膜病变眼睛里有一条白斑图
带状角膜病变会出现角膜混浊,混浊区与角膜缘之间有一条约1mm的狭窄透明带相隔,随病情变化两端混浊可相接,融合成较宽的带状病变。
眼球
白斑
带状角膜病变眼球表面有一条白斑图
带状角膜变患者黑眼球上有一条横行的长条形白斑,遮盖住瞳孔,表面较为浑浊,患者自觉视力下降、视物模糊,伴有疼痛感,需要进行激光治疗。
眼球
白斑
带状角膜病变眼球上很多浑浊的白斑图
带状角膜病变患者黑眼球表面出现分布不规则的白斑,呈点状、片状,颜色为乳白色,可遮盖瞳孔,同时眼白位置发红,自觉畏光、视物不清。
眼球
白斑
带状角膜病变眼球上有三个发白的斑块图
带状角膜病变患者黑眼球表面有三块白斑形成,颜色呈灰白色,其中一个位于瞳孔位置,另外两个分别位于角膜缘处,边界模糊,患者有视力下降、疼痛、流泪等症状。
眼球
白斑
带状角膜病变眼球上有很多的白斑图
带状角膜病变患者的黑色角膜位置出现浑浊的白斑,形状不规则,几乎占据整个角膜,像是浓浓的烟雾一样,患者会因病变部位遮盖瞳孔而出现视力下降的现象。
结膜
血丝
带状角膜病变眼睛结膜有明显血丝图
带状角膜病变患者结膜出现新生血管生长,会表现为散在分布的弯曲线条状红血丝,一直延伸到黑眼珠表面,看上去类似于树枝根部,患者同时会出现畏光、流泪及疼痛等症状。
眼球
白斑
带状角膜病变眼睛里有白斑图
带状角膜病变患者会表现为角膜混浊,较明显时可见其位于睑裂部暴露区角膜,混浊斑可逐渐致密、增厚而显现为白斑,患者会同时伴有畏光、流泪及眼痛等刺激症状。
眼球
白斑
带状角膜病变眼睛有条状斑块图
带状角膜病变患者角膜中央有横行的白色条带,像条状斑块一样,是由钙质沉积造成的,外观像水垢一样,同时伴随眼睛刺痛、异物感、流泪、怕光等症状。
眼球
白斑
带状角膜病变眼球边缘有白斑图
带状角膜病变会导致角膜的前弹力层出现钙质沉着斑块,像白斑一样,病变起始于睑裂区角膜边缘部,逐渐向中央发展,伴随眼睛异物、不适感。
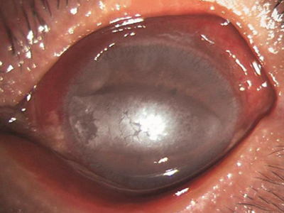
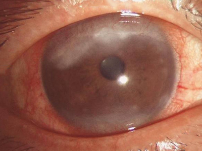
眼球
白点
带状角膜病变眼球有白点图
带状角膜病变会出现点状灰白色钙质沉着,沉着边界清晰,形状以类圆形为主,状似白点,是由虹膜睫状体炎、绝对期青光眼、角膜基质炎等因素导致。
眼球
白斑
带状角膜病变眼球有大块白斑图
带状角膜病变症状较严重时,会在眼球上出现边界清晰的白色斑块,范围较大,甚至累及整个眼球部。此时应及时就医,必要时需进行手术治疗。
眼球
白斑
带状角膜病变眼球有白斑且凸出图
带状角膜病变会导致沉着的钙盐形成斑片状,高出于眼球表面,像眼球部分凸出一样,同时伴有视力下降、异物感等症状,应尽早到医院治疗。
眼球
白斑
带状角膜病变眼球有白色斑块图
带状角膜病变患者眼球上出现钙质性灰白色或白色混浊斑,混浊区的中央侧较模糊,继而可形成条状病变,同时伴有视力明显减退等症状。
带状角膜病变相关知识
带状角膜病初期可表现为轻微的角膜混浊,肉眼不易发现。混浊明显时可见其位于睑裂部暴露区角膜,混浊斑可逐渐致密、增厚,使其上方的上皮隆起,粗糙不平,甚至发生上皮糜烂。混浊区与角膜缘之间有一条约1mm的狭窄透明带将其隔开,有时可伴新生血管生长。裂隙灯检查可见混浊钙斑内有透明小孔,是三叉神经穿过前弹力膜的通道。患者可同时伴有畏光、流泪及眼痛等刺激症状,此外,晚期视力可明显减退。
带状角膜病可能由于虹膜睫状体炎、绝对期青光眼、角膜基质炎、眼球萎缩、眼内硅油术后等导致。也可能与长期接触兔毛、蒸汽和烟雾等有关。长期使用缩瞳剂的青光眼患者,这类缩瞳剂中含有硝酸苯汞防腐剂,也可能导致带状角膜病。此外,血钙增高、甲状旁腺功能亢进、维生素D中毒、结节病、肾病和麻风病等也可能与带状角膜病有关。
带状角膜病对于视力受影响的患者,可以用准分子激光治疗性角膜切削手术去掉混浊。对于尚有视觉能力的晚期患者,可考虑行角膜表层切除或板层角膜移植术,恢复部分视力,但在术后3-4年有复发风险。
参考文献
[1]邵毅,赵学英,刘毅主编.眼科疾病的治疗与研究[M].北京.科学普及出版社.2016.32.
[2]李若溪译.眼科学彩色图谱[M].沈阳.辽宁科学技术出版社.2016.66-67.
相关科普
全身麻醉后多久开始手术
胡思光
江门市五邑中医院
全身麻醉后护理常规
胡思光
江门市五邑中医院
全身麻醉时会疼吗
胡思光
江门市五邑中医院
局部麻醉疼吗
胡思光
江门市五邑中医院
神经外科麻醉长时间维持会对身体有危害吗
胡思光
江门市五邑中医院
习惯性腹泻怎么治
黄国欣
广州中医药大学深圳医院
脂肪肝中药配方
黄国欣
广州中医药大学深圳医院
低烧腹泻呕吐是怎么回事
黄国欣
广州中医药大学深圳医院
腹泻的护理措施
黄国欣
广州中医药大学深圳医院
癫痫的分类
周健
首都医科大学三博脑科医院