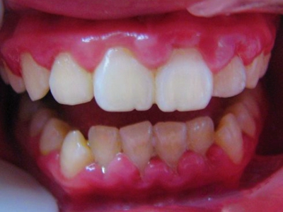
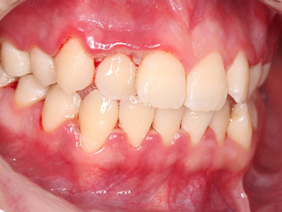
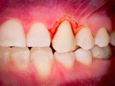
青春期龈炎症状图片

本文由有来医生原创,经专业医师审核校对
所有图片质量和准确性经专业医生严格审查

青春期龈炎是指发生于青春期少年的慢性非特异性龈炎,是受内分泌影响的龈炎之一。男女均可患病,但女性患者稍多。其病因通常与菌斑刺激、口腔卫生习惯不良、内分泌等多种因素有关,发病后可引起牙龈出血、口臭等表现,需及时就诊治疗。

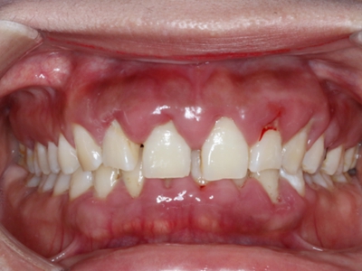
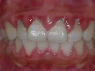
青春期龈炎症状图片

青春期龈炎相关知识

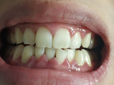
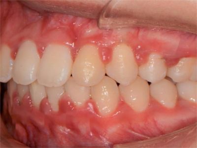
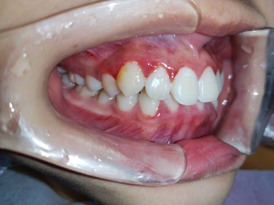
青春期龈炎好发于前牙唇侧的牙龈乳头和龈缘。患者一般因刷牙或咬硬物时出血或口臭而就诊。唇侧龈缘明显肿胀,龈乳头呈球状突起,颜色呈鲜红或暗红色,且牙龈发亮、质地松软,探诊易出血。龈袋形成,但无附着水平的变化。
青春期龈炎主要病因为菌斑刺激,并且青春期少年由于乳恒牙的更替、牙列不齐、口呼吸以及戴矫治器等,造成牙齿不易清洁,如未形成良好的口腔卫生习惯,易造成菌斑滞留,引发龈炎,而牙石一般较少。青春期内分泌特别是性激素的改变,可使牙龈对菌斑等局部刺激物产生明显的炎症反应,或使原有的慢性龈炎加重。
青春期龈炎治疗时,去除局部刺激因素是治疗青春期龈炎的关键。洁治术配合局部药物治疗,如龈袋冲洗、袋内上药及含漱剂含漱,必要时可施行牙龈切除术。另外,需教会患者正确刷牙及控制菌斑的方法,以养成良好的口腔习惯。

参考文献

[1]口腔执业医师资格考试专家组.口腔执业医师资格考试应试指导 ;2020版[M].北京:中国协和医科大学出版社,2019.11.459-460.

[2]林久祥,赵铱民主编.中华医学百科全书 ;临床医学 ;口腔医学 ;3[M].北京:中国协和医科大学出版社,2019.05.26-27.

[3]徐国权等主编.口腔临床技术与临床实践[M].长春:吉林科学技术出版社,2019.03.98.

[4]张志愿.口腔科学.第9版[M].北京.人民卫生出版社.2018.64.

相关科普