首页
我的
斑状淀粉样变症状图片
本文由有来医生原创,经专业医师审核校对
所有图片质量和准确性经专业医生严格审查
王霞
副主任医师 | 审核医师
广州医科大学附属第一医院
|
皮肤科
斑状淀粉样变是松皮癣的一种类型,多对称发生于中年以上妇女肩胛间区,也可累及躯干和四肢,主要表现为褐色、灰色或蓝色色素沉着,可能由于细胞和组织合成或衍化为淀粉样蛋白沉积于真皮乳头后导致。
斑状淀粉样变症状图片
前额
红斑
斑状淀粉样变额头有红斑图
斑状淀粉样变患者额头皮肤上长红斑,红斑散在分布,表面不光滑,有白色的死皮,和周围正常组织的边界不清晰,部分红斑的表面还有裂口。
前额
脱屑 · 红斑
斑状淀粉样变额头有红色斑块表面覆盖皮屑图
斑状淀粉样变患者面部前额长出红斑,红斑略高出正常组织,形状为圆形,红斑边缘有一圈白色的附着物,触碰或摩擦时,会有白色鳞屑脱落。
前额
脱屑 · 红斑
斑状淀粉样变前额皮肤发红有鳞屑图
斑状淀粉样变患者前额沿发际线处出现片状红斑,边缘与正常皮肤划分境界不清,斑片表面呈分裂现象,并附着块状黄白色鳞屑。
头皮
脱屑 · 红斑
斑状淀粉样变头皮上有很多红斑鳞屑图
斑状淀粉样变损害头皮,表现为头皮上有多个淡红色斑块,与周围界限明显,其上头发较为浓密发黑,头发根部附着较多针尖至粟粒大小的黄色鳞屑。
头皮
脱屑 · 红斑
斑状淀粉样变头皮上有大片红斑覆盖皮屑图
斑状淀粉样变患者头皮上起了一大片紫红色斑片,形状不规则,界限清楚,并向耳前扩展,其上附着许多黄白色鳞屑,表面粗糙、干燥,质硬。
头皮
脱屑
斑状淀粉样变头皮有白色皮屑图
斑状淀粉样变患者头皮后方出现白色增厚鳞屑,整体看上去呈条带状,表面头发稀疏,与正常头皮之间划分不清,后期逐渐蔓延增大。
前额
白斑
斑状淀粉样变额头发际线处长白色斑片图
斑状淀粉样变症状为患者额头发际线处起了多个白色斑块,簇集状分布,表面粗糙干燥,明显隆起于皮面,呈波纹状,并在皮损间夹杂正常皮肤。
面部
脱屑 · 红斑
斑状淀粉样变脸部红斑结痂脱屑图
斑状淀粉样变患者面部皮肤上出现大面积的红色斑块,皮损颜色为鲜红色,与正常组织之间有较为清晰的界限,在皮损表面还会有结痂、脱屑的表现。
侧颈
红斑
斑状淀粉样变颈部红色斑块表面有皮屑图
斑状淀粉样变患者脖子上长红斑,红斑呈圆形,与正常组织界限清晰,表面不光滑,摸起来较为粗糙。随病情进一步发展,出现破溃、脱屑等症状。
后颈
脱屑 · 红斑
斑状淀粉样变脖子后有红斑皮屑图
斑状淀粉样变表现为患者脖子后长了多个红色斑块,境界明显,边缘参差不齐,形似地图,并在其上覆盖银白色鳞屑,呈云片状,按之较为脆硬。
后颈
脱屑
斑状淀粉样变脖子后面有很厚的鳞屑图
斑状淀粉样变患者后颈头皮处出现白色鳞屑,聚集成片后明显增厚,触摸时感到质地粗糙,边缘有红色线条状斑块与正常皮肤相间隔。
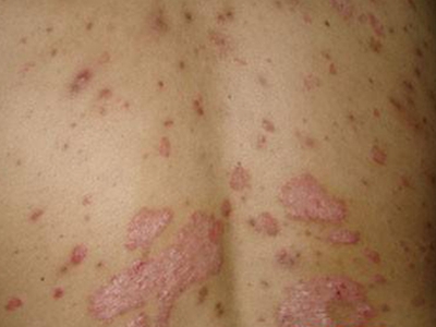
背部
脱屑 · 红斑
斑状淀粉样变背部有红色斑块和皮屑图
斑状淀粉样变患者背部皮肤上出现暗红色斑块,散在、不规则分布,部分红斑上有白色物质,表面伴随皮屑,同时看到皮肤上留有色素沉着斑。
背部
脱屑 · 红斑
斑状淀粉样变背部有红斑上面有皮屑图
斑状淀粉样变患者背部皮肤上出现红斑,红斑表面不光滑,形态不均一,看起来密密麻麻的,有的会有白色皮屑,不同红斑的颜色也会有略微差异。
背部
脱屑
斑状淀粉样变背部皮肤发红有片状鳞屑图
斑状淀粉样变患者患病部位有大面积脱屑,脱落下来的鳞屑为片状,颜色为白色或淡黄色,同时还看到患病的皮损部位皮肤表面发红,提示病情比较严重。
背部
红斑
斑状淀粉样变背部有很多圆形红斑图
斑状淀粉样变患者皮肤上出现圆形的斑块,颜色为淡红色,边缘看到褐色的色素沉着。患者在皮损部位有明显的瘙痒症状,搔抓之后可以缓解。
背部
脱屑 · 红斑
斑状淀粉样变背部有大量斑块表面覆盖鳞屑图
斑状淀粉样变患者背部长有红斑,遍布大面积皮损,红斑表面不光滑,边缘清晰,高出正常皮肤表面,同时附着白色的鳞屑样物质,搔抓脱落后可流血。
背部
小疙瘩
斑状淀粉样变后背有褐色小疙瘩图
斑状淀粉样变属于松皮癣的类型之一,出现一系列较均匀、凸起的褐色角化性丘疹,伴有斑片状的皮肤色素沉着,并可因瘙痒而反复搔抓。
背部
脱屑 · 红斑
斑状淀粉样变背部红斑上面有白色鳞屑图
斑状淀粉样变患者背部皮肤上出现斑,斑近似圆形,表面为白色,有裂纹,基底面为淡红色,上方附着鳞屑样物质,触碰以后有白色皮屑脱落。
背部
脱屑 · 红斑
斑状淀粉样变背部大面积发红覆盖厚鳞屑图
斑状淀粉样变患者背部皮肤上出现大面积红斑,红斑散在分布或连接成片,不同的红斑之间相互融合。红斑表面不光滑,附着白色的鳞屑样物质。
背部
脱屑 · 红斑
斑状淀粉样变背部红斑覆有鳞屑图
斑状淀粉样变皮损为大面积的红色斑块,境界明显,形状不规则,表面干燥、不光滑,附着大量白色皮屑,触碰有少量的脱落,患者会有痒感。
背部
红斑
斑状淀粉样变背部有红斑图
斑状淀粉样变出现在患者的背部时,在皮肤上长红色的斑状物。红斑的分布不均匀,大小不一致,同时可以在部分红斑表面看到附着白色的死皮。
背部
脱屑 · 红斑
斑状淀粉样变背部有红色斑块鳞屑图
斑状淀粉样变患者在背部皮肤上出现红色近似圆形的红斑,分布不规则,密密麻麻的,红斑上面有白色皮屑,患者在皮损部位出现剧烈瘙痒。
背部
脱屑 · 红斑
斑状淀粉样变背部皮肤发红有鳞屑图
斑状淀粉样变患者背部皮肤大面积发红,病变类似于地图状,同时在皮损部位出现脱屑症状。患者出现明显瘙痒,可服用抗组胺药物进行缓解。
背部
红斑
斑状淀粉样变背部有圆形红斑图
斑状淀粉样变患者背部出现粉红色的圆形斑状物质,红斑略高出皮肤表面,分布无规律,有瘙痒感,随病情进展,出现破溃、瘙痒等一系列不适症状。
背部
红斑
斑状淀粉样变背部有鲜红色斑块图
斑状淀粉样变患者背部皮肤上长出鲜红色的斑状物,散在、零星分布,有较为明显的瘙痒感。如果病情进展,出现皮损部位脱屑以及瘙痒加重。
背部
脱屑 · 白斑
斑状淀粉样变背部长斑上面有很厚的鳞屑图
斑状淀粉样变患者背部皮肤上出现白色斑状物,表面不光滑,有纵横分布的裂纹和厚层鳞屑,白斑与正常皮肤的交界处还会有一圈红晕,皮损看起来密密麻麻的。
胸部
脱屑
斑状淀粉样变胸部皮肤发红上面有灰白鳞屑图
斑状淀粉样变患者胸部皮肤颜色明显改变,为红色,表面附着黄色和白色的鳞屑,波及范围较广,有的皮损部位裂开后结痂,用手将其去除后可再次长出。
胸部
脱屑 · 红斑
斑状淀粉样变胸前有大面积红斑鳞屑图
斑状淀粉样变见于患者胸前,表现为大面积的红斑,鲜红色,边缘呈海岸线状向正常皮肤扩展,并在边缘有散在的红点,其上附着密密麻麻的白色鳞屑。
腋窝
红斑
斑状淀粉样变腋窝有红斑图
斑状淀粉样变患者腋窝长红斑,红斑形状不规则,表面不光滑,上方附着白色物质,边缘颜色较深,与周围正常组织之间的边界较清晰。
腋窝
脱屑 · 红斑
斑状淀粉样变腋下有红斑表面覆盖皮屑图
斑状淀粉样变腋下皮肤上长红斑,红斑形状不规则,大小不一,整体近似圆形,上方附着白色鳞屑,部分患者还会有皮损部位瘙痒感,此时尽量不要搔抓。
腹部
脱屑 · 红斑
斑状淀粉样变腹部有红斑上面有厚厚的鳞屑图
斑状淀粉样变患者在肚子上长红斑,红斑略高于皮肤表面,不光滑、有裂纹,上面附着白色的物质,触碰有鳞屑脱落,患者自觉会有瘙痒症状。
腹部
脱屑 · 红斑
斑状淀粉样变腹部红斑连成片图
斑状淀粉样变患者肚子上长红色的斑块,斑块呈片状分布,上方附着白色皮屑。患者会有瘙痒感,可遵医嘱服用氯雷他定等抗组胺药物进行缓解。
臀部
脱屑 · 红斑
斑状淀粉样变屁股有红斑表面覆盖厚鳞屑图
斑状淀粉样变患者屁股上出现红斑,红斑表面不光滑,附着白色的块状物质,形态不规则,但与正常皮肤间有清晰的界限,可外用维A酸等药物治疗。
龟头
红斑
斑状淀粉样变龟头有红斑图
斑状淀粉样变患者龟头上长出红斑,形态不规则,部分红斑表面光滑,边缘有翘起的白色皮屑,部分红斑表面粗糙,隆起于皮肤表面,并附着死皮。
肘部
脱屑 · 红斑
斑状淀粉样变肘部红斑上面有大量鳞屑图
斑状淀粉样变肘部出现类椭圆形红斑,边缘与正常皮肤分界清晰,表面会有白色细小鳞屑,看上去像面包糠,也会出现破损,引起轻微出血,触碰痛。
胳膊
脱屑 · 红斑
斑状淀粉样变胳膊大片红色斑块脱屑图
斑状淀粉样变患者胳膊出现大面积红斑,表面分布小块状白色鳞屑,整体看上去像片状鱼鳞,呈聚集性分布,但不互相融合,触摸时会感到明显粗糙。
肘部
脱屑 · 红斑
斑状淀粉样变胳膊肘有暗红色斑块脱屑图
斑状淀粉样变发生在胳膊肘上,皮损表现为大片形状不规则的暗红色斑块,境界欠清晰,显著高于皮面,覆盖大量白色鳞屑,周围有黑色色素沉着斑。
胳膊
脱屑 · 红斑
斑状淀粉样变胳膊上起淡红色斑块图
斑状淀粉样变损伤手臂皮肤,皮损为多个淡红色的斑片,形状不规则,与皮面平齐,表面有较多白色鳞屑,呈网状,并在皮损周围有多个针尖大小的红褐色血痂。
大腿
脱屑 · 红斑
斑状淀粉样变大腿有红斑上面覆盖白色鳞屑图
斑状淀粉样变患者大腿及会阴部位长红斑,斑表面附着白色鳞屑,斑的分布没有规律,形状不规则。可以在医生的指导下,外用维A酸药物进行治疗。
大腿
脱屑 · 红斑
斑状淀粉样变大腿有大面积红斑图
斑状淀粉样变患者的腿上出现大面积红斑,红斑表面附着鳞屑,表面光滑、紧绷,同时会有黑色的毛发穿出,有瘙痒症状,随病情好转逐渐缓解。
小腿
丘疹
斑状淀粉样变小腿有颗粒状丘疹图
斑状淀粉样变皮损表现为绿豆大小的圆形颗粒状丘疹,颜色为淡红色,在小腿上密集广泛分布,伴有瘙痒感,在搔抓后的结痂为淡黄色。
大腿
脱屑 · 红斑
斑状淀粉样变大腿有很多红斑覆盖鳞屑图
斑状淀粉样变患者腿上出现红斑,斑的大小不一,不同红斑之间相互融合,形成更大的斑块。部分红斑上还会附着白色的死皮,以及翘起的结痂。
小腿
疙瘩
斑状淀粉样变小腿有密密麻麻球状疙瘩图
斑状淀粉样变表现为粟粒或者绿豆大小的褐色球状丘疹、疙瘩,在小腿上散在分布,但紧密排列成片,严重影响美观,且易引起不适感。
小腿
脱屑 · 红斑
斑状淀粉样变小腿上大片淡红色斑块脱屑图
斑状淀粉样变患者小腿上起了大范围的淡红色斑块,表面粗糙干燥,其上附着密密麻麻的白色鳞屑,并在膝盖上见有厚厚的灰白色斑块,鳞屑脱落后有针尖大小的出血点。
小腿
脱屑 · 红斑
斑状淀粉样变小腿红斑上面有白色鳞屑图
斑状淀粉样变发生于患者小腿上,表现为多个红斑,境界明显,形状不规则,表面有较多的皮纹,相互交织成网,其上覆盖大量灰白色鳞屑,脱落后有散在的出血点。
小腿
脱屑 · 红斑
斑状淀粉样变小腿上有红斑脱屑图
斑状淀粉样变病变损害小腿和脚部的皮肤,并向上扩展,皮损呈大片鲜红色斑块,边界不整齐,呈触手状向周围蔓延,界限较为明显,边缘有大量的灰白色鳞屑。
小腿
脱屑 · 红斑
斑状淀粉样变小腿上很多红斑皮屑图
斑状淀粉样变患者小腿上有多个红斑,界限明显,呈圆形、椭圆形、不规则形,簇集成片,部分皮损相互融合,大小不一,表面粗糙不平,附着许多白色鳞屑。
小腿
脱屑 · 红斑
斑状淀粉样变小腿有大面积红斑掉皮屑图
斑状淀粉样变患者小腿上皮肤出现大范围的红斑,边缘不整齐,但较为明显,皱缩如纸,表面干燥粗糙,有大量圆圈状的白色脱皮,微微卷起,伴剧烈瘙痒。
小腿
脱屑 · 红斑
斑状淀粉样变小腿上有淡红色斑块脱屑图
斑状淀粉样变表现为患者小腿上起了多个淡红色斑块,散在或簇集分布,部分皮损相互融合,呈圆形、椭圆形、不规则形等,边缘明显,表面粗糙,并在其上有大量波纹状脱屑。
小腿
脱屑 · 红斑
斑状淀粉样变小腿有大片红斑皮屑图
斑状淀粉样变特点为患者小腿上起了大面积的红斑,边缘明显,稍微隆起于皮面,表面皮纹明显,凹凸不平,并在其上见有大量云雾状碎纸样白色皮屑。
小腿
脱屑 · 红斑
斑状淀粉样变小腿上有多个红斑脱屑图
斑状淀粉样变损害小腿皮肤,皮损为多发的红斑,散在分布,呈圆形、环形、不规则形等,界限明显,明显凸起于皮面,并在其上覆盖大块不规则形皮屑。
小腿
脱屑 · 红斑
斑状淀粉样变小腿上有多块红斑鳞屑图
斑状淀粉样变患者小腿上有多个淡红色斑,边缘形似地图,清晰,大小不一,并在其上覆盖大量白色鳞屑,按之较硬,伴瘙痒,脱落后露出鲜红色的出血点。
小腿
脱屑 · 红斑
斑状淀粉样变小腿上多个红斑覆盖皮屑图
斑状淀粉样变患者小腿上起了密密麻麻的红斑,群集状分布,形状不规则,相互融合成片,明显隆起于皮面,表面皮纹显著,并覆盖许多点状或云片状的白色鳞屑。
小腿
脱屑 · 红斑
斑状淀粉样变小腿上起大面积红斑图
斑状淀粉样变特点为患者小腿上起了大面积的暗红色斑块,边缘明显,与皮面平齐,形状不规则,表面紧张发亮,其上有鱼鳞状排列的白色皮屑,间有正常皮肤。
小腿
脱屑 · 红斑
斑状淀粉样变小腿上红斑表面有皮屑图
斑状淀粉样变见于患者小腿上,有多个紫红色斑片,呈圆形、椭圆形、不规则形等, 界限明显,其上覆盖有厚厚的白色鳞屑,表面粗糙不平。
小腿
脱屑 · 红斑
斑状淀粉样变小腿上有凸起的红斑图
斑状淀粉样变发生于双下肢,皮损表现为多发暗红色斑块,鼓起于皮面,大小不一,形状不规则,并在其周围有多个散在的红斑,其上有大量皮纹,覆盖着密密麻麻的白色鳞屑。
膝盖
脱屑 · 红斑
斑状淀粉样变膝盖长红斑脱屑图
斑状淀粉样变症见患者膝盖下方有密密麻麻的红斑,边界清楚,部分相互融合成片,并在其上覆盖白色鳞屑,按之较硬,破溃后有鲜红的糜烂面,夹杂正常皮肤。
小腿
脱屑 · 红斑
斑状淀粉样变小腿上长密密麻麻的红斑图
斑状淀粉样变患者的小腿上有密密麻麻的红斑,呈圆形、椭圆形、条带状等,散在或簇集状分布,部分皮损相互融合成片,界限明显,直径为数毫米至1cm,表面附着圆圈状白色鳞屑。
大腿
脱皮 · 红斑
斑状淀粉样变大腿上有多个红斑脱皮图
斑状淀粉样变症见患者大腿上起了多个红斑,散在分布,边界清楚,呈不规则形,直径为2-3cm,并在其边缘见有脱皮卷起,附着粟粒大小的白色鳞屑。
小腿
脱皮 · 红斑
斑状淀粉样变双小腿长紫红色斑块伴脱皮图
斑状淀粉样变损害患者双小腿皮肤,表现为多发的紫红色斑块,呈圆形或不规则形,散在或簇集分布,部分皮损相互融合成片,并在其上有白色或黄褐色脱皮,直径为1-3cm。
小腿
脱屑
斑状淀粉样变小腿发红大面积脱屑图
斑状淀粉样变患者小腿出现弥漫性潮红,并在其上见有米粒至粟粒大小的棕褐色斑块,呈网状分布,附着大量针尖大小的白色鳞屑,脱屑后有渗血,形成血痂。
小腿
红斑 · 皮肤粗糙
斑状淀粉样变小腿红斑表面粗糙图
斑状淀粉样变皮损呈覆盖厚厚白色鳞屑的弥漫性红斑,位于小腿上,边界欠清晰,表面粗糙不平,皱缩如纸,轻微发亮,并在皮损周围见黑色色素沉着斑。
膝盖
黄痂 · 红斑
斑状淀粉样变膝盖红斑上覆盖厚厚的黄痂图
斑状淀粉样变膝盖表面出现较厚的黄色痂块,整体看上去厚薄不均,表面有明显的横线状皮肤纹路,痂块与周围正常皮肤之间有红晕间隔,境界清晰。
大腿
脱屑 · 斑
斑状淀粉样变大腿根有小斑块表面有皮屑图
大腿根部的斑状淀粉样变,会在皮肤表面长出一个形状为椭圆形的斑块。斑块颜色略深,呈现深褐色,同时上面附着白色的鳞屑样物质,四周翘起。
大腿
脓包 · 红斑
斑状淀粉样变大腿上有鲜红色斑块和小脓疱图
斑状淀粉样变症状为弥漫性的鲜红斑块,见于双下肢,间有圆形白斑,并在其上有密密麻麻的针尖大脓疱,部分相互融合,并在边缘有大块脱皮。
手指
脱屑
斑状淀粉样变手指有鳞屑指甲上有小坑图
斑状淀粉样变患者手指甲散在小坑,为针尖大小,触摸时会感到明显凹凸不平,手指甲周围皮肤会有圆圈状脱皮现象,建议及时治疗,避免后期出现明显红斑、鳞屑。
脚部
脱屑 · 红斑
斑状淀粉样变脚上发红脱屑图
斑状淀粉样变患者脚上有大量皮屑,皮屑形状不规则,颜色为白色,周边明显翘起,表皮干燥。在皮屑脱落后的部位有红斑,患者可能自觉瘙痒症状。
脚底
脱皮 · 红斑
斑状淀粉样变脚底有紫红色斑块脱皮图
斑状淀粉样变发生于脚底部,皮损表现为大片紫红色斑块,与周围皮肤界限明显,并在其上覆盖大量黄白色鳞屑,呈云片状,表面皱缩不平,形似烫伤。
脚部
脱皮
斑状淀粉样变脚上发红有大片脱皮图
斑状淀粉样变脚趾头侧面有密密麻麻的黄白色皮屑,微微向上卷起,表面粗糙不平,并在其周围有淡红晕,界限较为明显,并在脚背和脚趾头根部有褐色色素沉着。
脚部
脱屑
斑状淀粉样变脚上有厚厚的鳞屑边缘发红图
斑状淀粉样变表现为患者脚部有一大片厚厚的鳞屑,呈银白色,形似云雾,略微隆起于皮面,其边缘有淡红色晕环,境界明显,表面粗糙干燥。
全身
红斑
斑状淀粉样变全身有红斑图
斑状淀粉样变患者皮肤上出现红色的斑状物,红斑边缘清晰,表面有裂纹以及痂状物质。患者自觉瘙痒,瘙痒严重者可遵医嘱服用抗组胺药物治疗。
斑状淀粉样变相关知识
斑状淀粉样变皮损为褐色、灰色或蓝色色素沉着,是点状色素斑融合而成,呈网状或波纹状,一般无自觉症状或仅有轻度瘙痒。
斑状淀粉样变病因不明,可能由于细胞和组织合成或衍化为淀粉样蛋白沉积于真皮乳头后致病。
斑状淀粉样变尚无特效疗法。瘙痒明显者可口服抗组胺药;皮损泛发、瘙痒严重且抗组胺药控制不良者,可采用普鲁卡因静脉封闭;维A酸类药物、沙利度胺对部分患者有效。局部糖皮质激素封包或皮损内注射可缓解症状,但停药后易复发,维A酸乳膏外用也有一定疗效。
参考文献
[1]张学军,郑捷.皮肤性病学.第9版[M].北京.人民卫生出版社.2018.190-191.
[2]常建民主编.女性外阴疾病[M].北京:中国科学技术出版社,2017.11.153.
相关疾病
斑状淀粉样变病图
相关科普
皮肤淀粉样变是怎么引起的
吴剑波
武汉大学中南医院
皮肤淀粉样变如何治疗
吴剑波
武汉大学中南医院
淀粉样变肾病什么原因
刘栋
郑州大学第一附属医院
如何区分淀粉样变和神经性皮炎
魏国
山东大学齐鲁第二医院
心肌淀粉样变的症状有哪些
石文海
成都市第六人民医院
脑血管淀粉样变怎么预防
国红
北京医院
皮肤淀粉样变怎么治
吴建华
上海长海医院
淀粉样变病的胃肠道表现
王晶
包头医学院第二附属医院
心肌淀粉样变的诊断标准
张妮
北京医院
肺部斑状高密度影是什么原因
贾玉萍
中日友好医院