舌系带过短症状图片

本文由有来医生原创,经专业医师审核校对
所有图片质量和准确性经专业医生严格审查

舌系带过短是指孩子出生后舌系带没有退缩到舌根下,出现舌系带形态或附着位置异常,导致的舌头不能伸出口外,舌尖不能上翘。可不同程度地影响唇、舌的运动,发生哺乳、咀嚼、发音等功能障碍,常需作矫正手术。

舌系带过短症状图片

舌系带过短相关知识

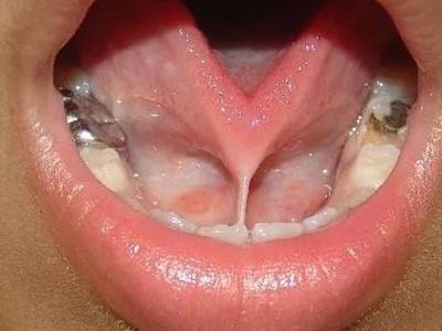
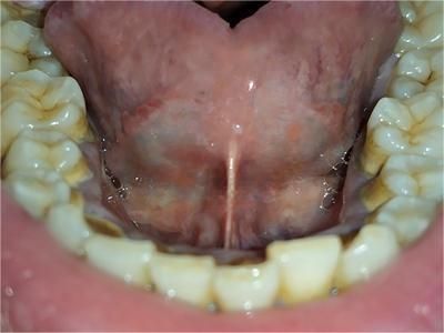
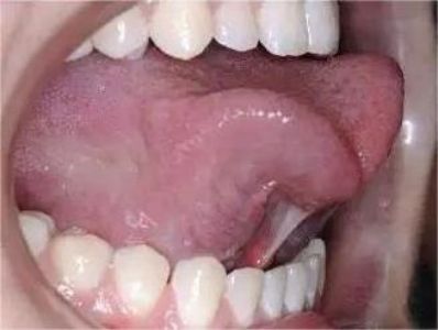
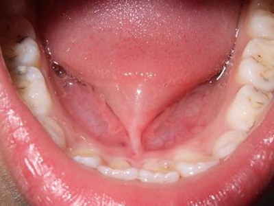
舌系带过短多见于儿童,张口时,舌体挛缩,可暴露舌系带。伸舌时,舌不能自然伸至下唇外侧,用力伸舌时舌尖呈“V”字形或“W”型凹陷。语言障碍患者不能发出舌腭音及卷舌音,发音吐字不清。舌系带过短的幼儿哺乳时,由于舌前伸时系带与下前牙切端摩擦,易形成溃疡、疼痛,导致哺乳障碍。
舌系带过短是一种先天发育异常,由于舌系带在舌腹部的附着点前移至舌尖或接近舌尖,或牙槽嵴附着点上移至牙槽嵴上部,或者附着点正常,系带本身过短可引起该症状。
婴儿期的舌系带过短可暂时观察,因婴儿牙齿未萌出,牙槽嵴尚未发育,所以显得口底较浅,舌系带的附着点超前、超上等,并不一定是异常表现。
随着牙齿萌出,牙槽嵴的发育和舌的不断运动,舌系带附着点会随之逐渐退降,舌系带也会随之不断地松弛增长。如果下前牙已萌出,因舌系带过短引起系带溃疡,应早期手术治疗,手术包括舌系带切断术、舌系带延长术等。

参考文献

[1]赵志河.口腔正畸学.第7版[M].北京.人民卫生出版社.2020.154.

[2]张志愿.口腔科学.第9版[M].北京.人民卫生出版社.2018.5.

相关科普