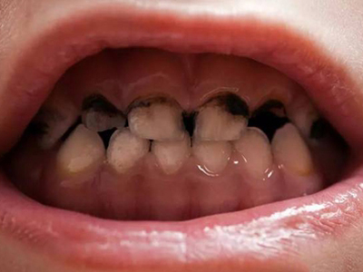
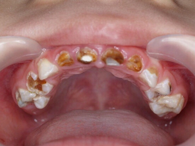
低龄儿童龋症状图片

本文由有来医生原创,经专业医师审核校对
所有图片质量和准确性经专业医生严格审查

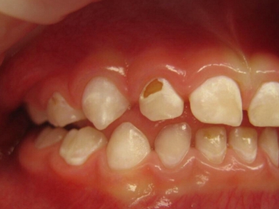
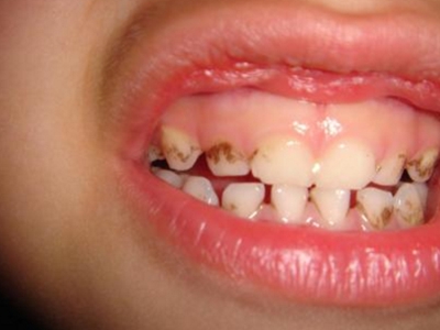
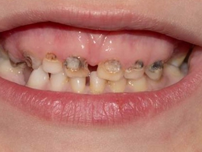
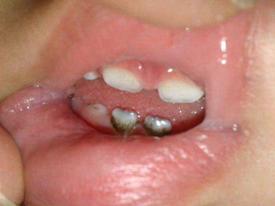
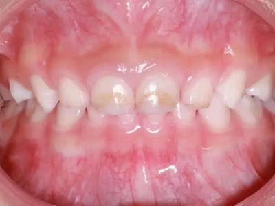
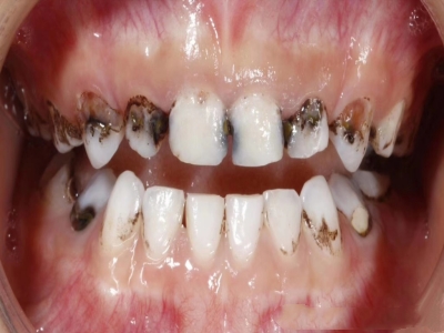
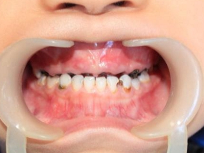
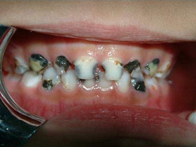
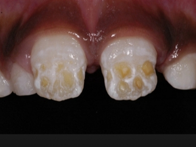
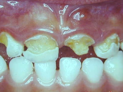
小于6岁的儿童只要在任何一颗乳牙上出现1个或1个以上的龋、失牙、补牙面,即为低龄儿童龋。本病主要是由于不良的喂养习惯和(或)延长的母乳或奶瓶喂养等因素引起。较早的龋损首先涉及上前牙,以后逐渐波及上下乳磨牙、下尖牙,而下切牙常不受影响。

低龄儿童龋症状图片

低龄儿童龋相关知识

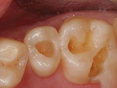
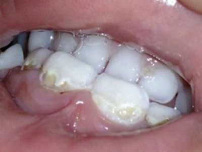
低龄儿童龋发生于6岁以下的儿童,一般是上前牙先发生龋坏,再逐渐累及上下乳磨牙、下尖牙。龋齿从形态学上表现为初期超微结构水平的脱矿和再矿化,以及晚期的龋洞形成。病变组织颜色有时较浅,呈浅棕色,质地较软;有时较深,呈黑褐色,质地较干硬。
低龄儿童龋主要是由于不良的喂养习惯和(或)母乳或奶瓶喂养时间超过正常儿童,从戒掉奶瓶过渡到固体食物的时间延长,加上不良的口腔卫生保健习惯,以及乳牙解剖和组织结构的特点,如乳牙的矿化程度较恒牙低和邻牙之间的接触通常为面接触等,这些因素共同导致了低龄儿童龋。
低龄儿童龋可以进行药物治疗或窝洞充填术。对于前牙的广泛龋损,不易制备洞形修复,药物治疗常为首选,常用药物有氟化钠、氟化亚锡等。后牙龋坏表现为实质性龋洞时,通过充填治疗可恢复牙体形态,提高咀嚼功能。日常注意养成良好的喂养习惯,控制奶瓶喂养的时间,养成良好的口腔卫生保健习惯。

参考文献

[1]林久祥,赵铱民主编.中华医学百科全书 ;临床医学 口腔医学3[M].北京.中国协和医科大学出版社.2019.116-117.

[2]唐红萍,朱兰省,崔永新主编.现代口腔诊疗学[M].汕头.汕头大学出版社.2019.11-12.

相关科普