鼓膜炎症状图片

本文由有来医生原创,经专业医师审核校对
所有图片质量和准确性经专业医生严格审查

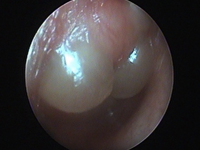
鼓膜炎又称为大疱性鼓膜炎,是鼓膜和邻近鼓膜的外耳道皮肤的急性炎症。由病毒感染所致,多发生在儿童和青年人,多为单侧,冬季多见。根据有感冒史、耳痛的症状及检查所见,容易诊断。

鼓膜炎症状图片

鼓膜炎相关知识

鼓膜炎的首发症状为外耳道剧痛,并可有轻度听力下降。随后,由于大疱破裂而有稀薄血性分泌物从外耳道流出;由于病变限于鼓膜的上皮层,未波及纤维层,故大疱破裂后无鼓膜穿孔。
一般认为流感病毒是鼓膜炎的主要致病源,多与流感流行有关;也可发生在上呼吸道其他病毒性感染之后。
由于鼓膜炎疼痛较重,可对症给予镇痛药物。针对病毒感染,可口服阿昔洛韦等抗病毒药物。在大疱破裂前局部用具有消炎镇痛的苯酚甘油滴耳液。局部激光理疗可促进炎症吸收。当大疱破裂后,不能再用苯酚甘油滴耳,可用抗生素滴耳液预防继发感染。

参考文献

[1]Robert ;S.Porter,MD.默克诊疗手册上.第19版[M].北京.人民卫生出版社.2014.615-616.

[2]李美娟主编.现代临床常见病护理学[M].云南科学技术出版社.2020.222-223.

[3]JeffreyCheng,JohnP.Bent主编.儿科耳鼻喉内镜图谱[M].广东科技出版社.2020.4-5.

[4]王伟编著.耳鼻咽喉科疾病诊治[M].吉林科学技术出版社.2019.35-36.

相关科普