根尖囊肿症状图片

本文由有来医生原创,经专业医师审核校对
所有图片质量和准确性经专业医生严格审查

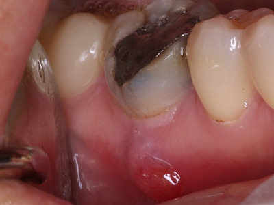
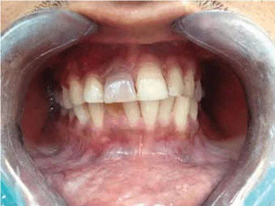
根尖囊肿是成牙组织囊肿中最常见者,多发生在上列切牙、尖牙或磨牙等牙根的唇面。由于根尖肉芽肿、慢性炎症的刺激,引起牙周膜内的上皮残余增生。增生的上皮团中央发生变性与液化,周围组织液不断渗出,逐渐形成囊肿,故亦可称根尖周囊肿。

根尖囊肿症状图片

根尖囊肿相关知识

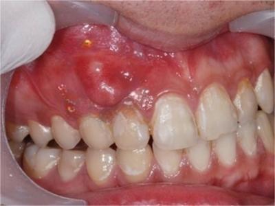
根尖囊肿生长缓慢,病人多无自觉症状。口腔检查可见患牙有龋损或其他非龋性牙体病,或牙冠变色失去光泽。叩诊可有不适感,温度测验患牙无反应。囊肿大小不等,小囊肿不易被发现。囊肿发展较大时,可见根尖部隆起,扪诊时有乒乓球感,这是由于囊肿外围只有一层极薄的骨板存在。大囊肿还可压迫牙根,使邻牙移位。
根尖囊肿可由慢性根尖周肉芽肿或慢性根尖周脓肿等发展而来。因牙根感染、牙髓坏死,进而根尖周形成肉芽肿或脓肿,随后上皮细胞长入其内作为衬里形成囊肿内膜,病牙根尖突入囊肿腔内。增生的上皮团中央发生变性与液化,周围组织液不断渗出,逐渐形成根尖囊肿。
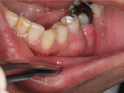
根尖囊肿需有专业医生通过取上颌窦根治术式切除囊肿。若病牙尚稳固,有保留可能,则行根尖切除或根管治疗以避免囊肿再发。否则,应同时拔除病牙。

参考文献

[1]孙虹,张罗.耳鼻咽喉头颈外科学.第9版[M].北京.人民卫生出版社.2018.244.

[2]樊明文.中华医学百科全书 ;2 ;临床医学 ;口腔医学[M].北京.中国协和医科大学出版社.2018.48-49.

相关科普