种痘样水疱病症状图片

本文由有来医生原创,经专业医师审核校对
所有图片质量和准确性经专业医生严格审查

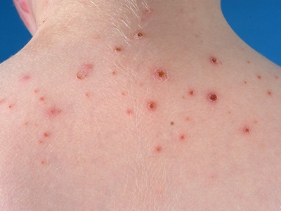
种痘样水疱病又称痘疮样水疱病,是一种以水疱为主的反复发作的光敏性皮肤病,常见于暴露部位,如面部、手臂等处。本病常在2-3岁时开始发病,男孩多于女孩,到青春期逐渐减轻,以后停止发展。

种痘样水疱病症状图片

种痘样水疱病相关知识

种痘样水疱病多见于儿童,日光暴露数小时后出现对称性、成簇、瘙痒性红斑、丘疹,逐渐进展为刺痛、出血性的水疱、大疱,中心可见脐凹。数天后形成溃疡、坏死、结痂,数周后痂脱落,留有散在或互相融合的种痘样瘢痕或色沉。有明显的季节性,以春、夏为著,冬季减轻甚至完全消退。
种痘样水疱病病因尚不清楚,可能是多形性日光疹的瘢痕性变异性。发病与暴露于阳光有关,致病光谱为紫外线。
种痘样水疱病患者应尽量避免强烈日光照射,外出时注意穿长袖衣服、戴宽檐帽等进行遮光,或外出时涂擦防晒指数较高的防晒霜。局部可外用糖皮质激素,内服抗组胺药、糖皮质激素等。

参考文献

[1]郑庆虎等主编.皮肤性病诊疗新进展[M].长春:吉林科学技术出版社,2017.128-129.

[2]芦伟东主编.天疱疮及特殊皮肤病临床治疗指南[M].石家庄:河北科学技术出版社,2014.89-91.

[3]赵广,王毅侠主编.临床皮肤病彩色图谱[M].北京:人民军医出版社,2014.42.

[4]赵广主编.常见皮肤病诊疗手册[M].北京:金盾出版社,2012.127.

相关科普