首页
我的
创伤性溃疡症状图片
本文由有来医生原创,经专业医师审核校对
所有图片质量和准确性经专业医生严格审查
王卫之
主任医师 | 审核医师
山东大学齐鲁医院
|
口腔修复科
创伤性溃疡是由于长期慢性机械刺激或压迫,导致的口腔软组织损害。主要特点是慢性、深大的溃疡,周围有炎症增生反应,黏膜水肿明显。一般多见于儿童。确诊后需要去除刺激性因素并预防感染。
创伤性溃疡症状图片
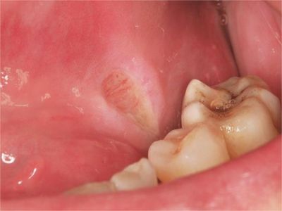
唇内侧
溃疡
创伤性溃疡口腔黏膜上有一块红溃疡图
创伤性溃疡是因长期刺激所引发,唇内侧黏膜发红,靠近牙齿部位有数个白色小溃疡,持续刺激后创面会出现炎性增生,若未继发感染,解除刺激后可较快愈合。
口腔
溃疡
创伤性溃疡磨牙旁边的肉被磨烂了图
创伤性溃疡发生在上牙膛靠近磨牙处的黏膜面,表面已经被磨烂,是因牙齿长期刺激所致,溃疡形态不规整,破溃的黏膜发白,继续刺激会扩大创面。
舌头
溃疡
创伤性溃疡舌头下面有一块肉好像烂了图
创伤性溃疡表现为舌头下面有一块明显红润的溃疡,是牙齿在咀嚼时误将舌头上的肉咬破所致。溃疡面可以涂抹消毒、抗感染的药物促进恢复。
牙龈
小水疱
创伤性溃疡患者牙龈上出现一个小疱图
创伤性溃疡牙龈上有一个白色、圆形的小疱,患者自觉疼痛明显,小疱的表面黏膜破溃后漏出红色糜烂面,水疱的基底边缘有炎性浸润。
口腔
溃疡
创伤性溃疡口腔溃疡图
创伤性溃疡发生在偏侧颊面的最里侧,有一块肉烂掉,是大牙咀嚼食物时误伤黏膜所致,溃疡面糜烂、发白,有出血,创面面积较大,口腔动作牵扯颊部时疼痛明显。
舌头
溃疡
创伤性溃疡舌头上有一块红色好像烂了图
创伤性溃疡在舌头上有一块红色创面,好像舌面烂了一样,舌黏膜受损,创面有轻度的炎性浸润,但干净,并无脓性分泌物存在,愈合比较快。
舌侧
溃疡
创伤性溃疡舌侧面有一个溃疡图
创伤性溃疡在舌头侧面有一个中间向下凹陷,边缘呈不规则样凸起的呈火山口的溃疡,凸起的黏膜呈灰白色,疼痛明显,影响正常进食。溃疡面上需涂抹消毒预防感染的药物。
舌侧
溃疡
创伤性溃疡舌头侧面有一处鼓起溃疡图
创伤性溃疡舌头侧面有一块溃疡,破损处黏膜水肿发白,溃疡旁边紧挨着鼓出一块如水疱样。舌侧的溃疡主要是咬伤导致,愈合比较快。
口腔
溃疡
创伤性溃疡口腔黏膜有溃疡图
创伤性溃疡由于外伤口腔黏膜形成溃疡或糜烂面,溃疡呈圆形,边缘凸起,中央略微下陷,上附有白色膜状物,同时可伴有疼痛和局部轻微肿胀。
舌尖
溃疡
创伤性溃疡舌尖红了一块图
创伤性溃疡舌尖处有一块发红,像是黏膜被划伤,表面没有舌苔覆盖,疼痛明显。可以在创面上涂抹消炎防腐的药物,或者用消毒的口腔含漱液漱口,帮助清理口腔卫生。
舌尖
溃疡
创伤性溃疡舌尖有一块白色溃疡图
创伤性溃疡在患者的舌尖中间有一块白色、圆形的溃疡,溃疡面发生糜烂,外缘潮红,有炎性浸润,舌尖疼痛明显,可以在舌尖涂敷复方皮质散帮助愈合。
唇内侧
溃疡
创伤性溃疡上唇和牙龈交界处有一块烂掉了图
创伤性溃疡在上唇和牙龈的交界处有一块溃疡,黏膜好像烂掉一样,表面呈灰白色,疼痛不明显,但炎性浸润的红色创面面积较大,乳牙牙根外露刺激根尖黏膜形成溃疡,若治疗后痊愈,建议拔除乳牙残根。
口腔
溃疡
创伤性溃疡口腔有溃疡烂了一大块图
创伤性溃疡表现为口腔内侧可以看到一个溃疡,大致呈圆形,溃疡底颜色发白,周边轻度炎性潮红,是由于长期慢性机械刺激或压迫,导致的口腔软组织损害。
舌侧
溃疡
创伤性溃疡舌侧被咬到后有溃疡图
创伤性溃疡舌头侧面有一块凸起来的溃疡,形状不规则,中间有凹陷,溃疡面呈淡红色,表面有很多小点点覆盖,表面渗出液和唾液混在一起,自觉疼痛,可影响进食。
舌侧
溃疡
创伤性溃疡舌侧被咬破后烂了一大块图
创伤性溃疡口腔黏膜破损后可形成溃疡或糜烂面,表现为患者舌头侧面有一块糜烂的灰白色溃疡,边界不清,溃疡表面有黄色的脓性或黏液性分泌物,舌头不小心咬伤后可伴疼痛。
舌侧
溃疡
创伤性溃疡舌侧被咬破之后有溃疡烂了一块图
创伤性溃疡累及舌侧时,可观察到一块形态不整的溃疡,有基底黏膜缺损,溃疡面比较干净,唾液浸渍使溃疡表面中央发白,但干净,无化脓,周边轻度炎性潮红,自觉疼痛。
舌侧
溃疡
创伤性溃疡舌侧的肉烂了一大块有溃疡图
创伤性溃疡表现为舌外侧有一块边界不清的溃疡,表面糜烂,有炎性分泌物渗出,时间久后,周围出现炎症性增生反应,表面黏膜发白,与刺激物相适应。
舌头
坑
创伤性溃疡舌头下面烂了一个坑图
创伤性溃疡可以发于部分患者的舌下,呈圆形、类圆形,边缘光滑,看着像是烂了一个坑。本病的发生与口腔内持续的机械刺激相关,如残冠。
舌尖
溃疡
创伤性溃疡舌尖被咬出一片小溃疡图
创伤性溃疡表现为舌尖有一个淡红色的溃疡,形状不规则,大致呈圆形,中间颜色较深呈暗红色,舌头侧面还有一排小水疱样的小疙瘩,可因疼痛而影响进食。
舌尖
溃疡
创伤性溃疡舌尖出现一块白色溃疡图
创伤性溃疡患者,舌尖皮损表现为有一个圆形的小溃疡,黄豆大小,边界清楚,中间黏膜发白,如果没有继发感染,3-5天愈合,愈后不会留有瘢痕。
舌尖
溃疡
创伤性溃疡舌尖多出一个小溃疡图
创伤性溃疡初起时仅为局部充血,继之舌尖出现小溃疡,黏膜表面发红、水肿,周边轻度炎性潮红,自觉疼痛,常受摩擦刺激溃疡面可扩大。
舌尖
溃疡
创伤性溃疡舌尖多了一小块白色溃疡图
创伤性溃疡表现为患者舌尖有一片形状不规则的溃疡,呈线状排列,边界不清,溃疡表面因长期唾液刺激或牙齿咬已经发生糜烂,自觉疼痛给患者带来极大痛苦。
舌头
溃疡
创伤性溃疡舌头下面多了一片溃疡图
创伤性溃疡可在患者舌头下面底部观察到一处溃疡,表面有假性白膜覆盖,因唾液的浸渍,可使溃疡底发白,周边轻度炎性潮红,不断刺激会出现溃疡扩大。
牙龈
溃疡
创伤性溃疡牙龈上出现一块黄白色溃疡图
创伤性溃疡不限唇、颊、舌,深浅不一,形状不规则,可在患者牙龈部位看到一块溃疡,呈黄白色糜烂,周围有炎性潮红,疼痛加重可见组织增生。
舌尖
溃疡
创伤性溃疡舌尖一片溃疡图
创伤性溃疡舌尖出现一个白色假膜溃疡,边缘不太整齐、形态不太规则,边界清楚,周围有红晕,直径约为5-6mm,自觉疼痛,影响进食,愈后不会留有瘢痕。
舌尖
溃疡
创伤性溃疡舌尖白了一块出现溃疡图
创伤性溃疡表现为患者舌尖部位有一块边界不清的溃疡,中间发白,周围淡红色的红晕,不断刺激会出现溃疡扩大,渗出液和唾液混在一起,影响进食。
舌侧
溃疡
创伤性溃疡舌侧出现一个小溃疡图
创伤性溃疡舌侧有一个圆形溃疡,黄豆大小,四周颜色较淡,颜色发白,中间破损露出潮红的基底,溃疡面比较干净,唾液浸渍,可伴自觉疼痛。
舌头
溃疡
创伤性溃疡舌面出现几片溃疡图
创伤性溃疡患者舌头表面有几块形态不整的溃疡,黏膜缺损,溃疡中间有凹陷,颜色发红,明显区别于正常部位,周围有一圈白色假膜围绕。
唇内侧
溃疡
创伤性溃疡上嘴唇里面烂了周围很红图
创伤性溃疡是机械性、化学性或物理性刺激引起的病因明确的黏膜病损,口腔内溃疡表面覆有白膜,周边基底发红,患者自觉疼痛,需做好溃疡面保护,防止继发感染。
嘴唇
溃疡
创伤性溃疡嘴唇里的黏膜出现溃疡图
创伤性溃疡表现为嘴唇黏膜表面有一条长形溃疡,中间黄白假膜,周围轻度炎性潮红,严重时,周围炎症性增生,溃疡表面发展为大小深浅不一的坑。
舌侧
溃疡
创伤性溃疡舌侧一块浅黄色溃疡图
创伤性溃疡患者舌侧有一块卵圆形溃疡,中间呈浅黄色,微凹陷,周围有炎性红晕,因唾液的浸渍,可自觉疼痛,3-5天即可自愈,一般预后不会留疤。
嘴唇
溃疡
创伤性溃疡嘴唇多了三个白色溃疡图
创伤性溃疡嘴唇表面出现三个大小不一的溃疡,表面发白,边界清楚,周围有淡淡的红晕,随病情继续进展,溃疡可融合成片状,并出现疼痛或肿胀。
唇内侧
溃疡
创伤性溃疡唇内侧烂了三块图
创伤性溃疡由口腔内部的黏膜受到了创伤引起,患者唇内侧黏膜烂了三块,形成小坑一样的圆斑,表面颜色发白,一般都可逐渐自行痊愈。
唇内侧
溃疡
创伤性溃疡唇内侧不规则糜烂图
创伤性溃疡是长期慢性机械性刺激导致的软组织损害,出现在唇内侧相应部位,黏膜表面有不规则糜烂,覆有白膜,如果没有继发感染,很快可以自愈。
口腔
溃疡
创伤性溃疡口腔里烂了一大块图
创伤性溃疡患者的口腔里烂了一大块,而且旁边还出现白色的糜烂,单侧发生,糜烂的区域和附近黏膜组织界限清晰,需要病理活检明确诊断。
口腔
溃疡
创伤性溃疡舌头底下肉烂了图
创伤性溃疡表现为口底和舌腹糜烂,表面覆有一层白色的假膜,可以揭去,溃疡的基底较软,疼痛明显,且在进食时会有强烈的刺激痛。
口腔
溃疡
创伤性溃疡舌头上出现溃疡图
创伤性溃疡患者的咀嚼速度较快,或爱吃太烫的食物,导致口腔黏膜受损,患者舌头上出现两个有白边的红斑,一大一小,进食有强烈刺痛感。
口腔
溃疡
创伤性溃疡舌头上有一块好像被划伤了图
创伤性溃疡表现为舌头上有一块好像被划伤一样的红斑,表面有层白色薄膜,一般是日常生活中罐头、鱼刺等造成的切割伤未处理,导致黏膜感染形成溃疡。
唇内侧
溃疡
创伤性溃疡上嘴唇里面有块烂掉了图
创伤性溃疡是由于慢性机械性刺激或压迫而引起的黏膜损害,溃疡面发红,表层黏膜烂掉,周边有轻度炎性潮红,因疼痛明显,影响进食,食物经过溃疡面后会加重疼痛。
口腔
溃疡
创伤性溃疡口腔内溃疡凹陷图
创伤性溃疡表现为患者的口腔内有一处明显的溃疡面,形成一个小坑,直径约2厘米,表面泛白,可伴有疼痛,此病是由于外伤、不良修复体等因素导致。
口腔
溃疡
创伤性溃疡口腔内颊侧有白色溃疡图
创伤性溃疡表现为口腔内颊侧黏膜出现溃疡,缺损程度较深,底部及周边黏膜发白,形状不规则,旁侧黏膜因炎性浸润轻微发红,患儿自觉疼痛明显,发生原因主要与局部长期机械刺激有关。
舌尖
溃疡
创伤性溃疡舌尖两个灰白色溃疡图
创伤性溃疡病变部位在舌尖,舌黏膜受损后出现两个灰白色的溃疡,近似圆形,与周围皮肤边界清楚,绿豆至黄豆大小,大的溃疡表面有少量褐色的小点点。
口腔
溃疡
创伤性溃疡嘴里面颊黏膜出现溃疡图
创伤性溃疡是机械、物理、化学等局部刺激因素导致的溃疡性疾病,患者口腔右颊部内侧有两个米粒大小的溃疡,颜色为灰黄色,米粒大小,周围伴有红晕。
舌尖
溃疡
创伤性溃疡舌尖出现好几个溃疡图
创伤性溃疡是受机械、物理、化学等局部刺激而诱发,表现为舌尖出现几个圆形的溃疡,颜色为灰白色,近似圆形,米粒至黄豆大小,有痛感。
唇内侧
溃疡
创伤性溃疡下嘴唇内侧出现一个溃疡图
创伤性溃疡发生在下嘴唇内侧受损伤后,表现为一个近似圆形的溃疡面,颜色为浅粉色,溃疡周围伴有一圈红晕,与正常黏膜边界清晰,患者局部有疼痛不适感。
唇内侧
溃疡
创伤性溃疡下嘴唇内侧溃疡图
创伤性溃疡是长期慢性刺激或压迫造成的口腔软组织损伤,下嘴唇内侧有炎性浸润,溃疡基底面较深,颜色红润,表面破溃,有一片白色圆斑,疼痛明显。
唇内侧
溃疡
创伤性溃疡上嘴唇被牙齿磨烂了图
创伤性溃疡是因牙齿对口腔内侧黏膜造成刺激,表层黏膜被磨烂形成溃疡,溃疡底部面积大,颜色潮红,中心位置有一块白色斑片样的破皮。
舌头
糜烂
创伤性溃疡舌头上有一大块糜烂图
创伤性溃疡在舌面上有一大块黄白色的糜烂,面积约占舌面前侧的1/3,糜烂底部有炎性浸润,颜色发红,溃疡的边缘的分界明显,但不规则。
舌头
糜烂 · 溃疡
创伤性溃疡舌头侧面有一个小坑中间烂了图
创伤性溃疡在靠近舌根部的侧面有一个白色的小坑,坑的中间凹陷明显,已经发生糜烂,坑的底部发肿,舌根部黏膜水肿、略胖大,但疼痛并不明显。
牙龈
糜烂 · 溃疡
创伤性溃疡牙龈上出现糜烂白块图
创伤性溃疡患者的下牙龈表面出现一块周围颜色潮红,形态呈圆形状,中间有白色糜烂面的溃疡,溃疡深者可以达到黏膜下层,痊愈后一般不易复发。
唇内侧
糜烂 · 溃疡
创伤性溃疡唇部咬伤后糜烂发白图
创伤性溃疡唇内侧有一卵圆形溃疡,黄豆大小,境界清楚,溃疡中间颜色较淡,有白色的假膜覆盖。
口腔
糜烂 · 溃疡
创伤性溃疡口腔壁侧面大面积糜烂图
创伤性溃疡表现为口腔壁侧面大面积糜烂并出现白膜,是口腔内残根残冠、牙齿的锐利边缘等物体,长期慢性机械损伤形成的溃疡,去除刺激后很快痊愈。
唇内侧
糜烂 · 溃疡
创伤性溃疡下嘴唇有块白色糜烂周围泛红图
创伤性溃疡多由于进食过急、过烫等外界刺激,将口腔黏膜弄破,形成溃疡,溃疡表面糜烂,周围呈炎性浸润,溃疡基底潮红,有增生现象,出现水肿样表现。
唇内侧
糜烂 · 溃疡
创伤性溃疡嘴唇里面多了块白膜图
创伤性溃疡发生后,溃疡处黏膜有轻微增生,呈圆形,中间有一片白色膜状物,是表层黏膜破损后形成的糜烂。如果长期不能愈合,需做活检进行判断。
口腔
糜烂 · 溃疡
创伤性溃疡口腔边上有一个红色糜烂小圆环图
创伤性溃疡出现后,口腔内黏膜破皮,形成白色糜烂面,溃疡外形似圆环状,围绕一圈红晕。去除刺激因素后,对创面做好保护防止感染,促进创面愈合。
创伤性溃疡相关知识
创伤性溃疡口腔黏膜破损后可形成溃疡或糜烂面,开始时可能仅有轻微疼痛或肿胀,溃疡为形态不整,有角的黏膜缺损,因唾液的浸渍,可使溃疡底发白,周边轻度炎性潮红,自觉疼痛。此外,表面渗出液和唾液混在一起,发生溃疡后可影响进食。如果没有继发感染,经过3-5天即可自愈,一般预后不会留疤。
创伤性溃疡主要与口内持久的机械刺激有关,如残冠、残根、不良修复体、锐利的牙齿边缘等。
创伤性溃疡首先应去除局部刺激因素,如拔除残根,修改或拆除不合适的修复体,磨改锐利的牙尖或切缘。同时可在医生指导下使用消炎镇痛药防止感染和镇痛,如复方氯己定含漱液、复方甘菊利多卡因凝胶等。
参考文献
[1]虞瑞尧,杨杨编著.儿童皮肤病彩色图谱[M].郑州.河南科学技术出版社.2019.443.
[2]陈乃玲等主编.口腔科疾病处置要点[M].长春.吉林科学技术出版社.2019.179.
相关科普
创伤性溃疡多久能好
黄红军
郑州市第一人民医院
创伤性溃疡怎么办
陈凯
郴州市第一人民医院
创伤性溃疡怎么好的快
何虹
浙江大学医学院附属口腔医院
创伤性溃疡会治愈吗
黄红军
郑州市第一人民医院
痛经吃什么中药
杨丽霞
广州中医药大学深圳医院
生理期可以针灸吗
杨丽霞
广州中医药大学深圳医院
腱鞘炎的针灸治疗方法
杨丽霞
广州中医药大学深圳医院
针灸能治疗乳腺结节吗
杨丽霞
广州中医药大学深圳医院
喉癌是怎么回事
陈万军
山东省肿瘤医院
喉癌和咽炎的区别
陈万军
山东省肿瘤医院