耵聍栓塞症状图片

本文由有来医生原创,经专业医师审核校对
所有图片质量和准确性经专业医生严格审查

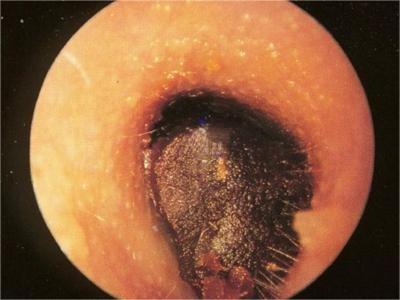
耵聍栓塞又称耳屎栓塞,指外耳道内耵聍(俗称耳屎)分泌过多或排出受阻,使耵聍在外耳道内聚集成团。若耳道未完全堵塞,多无症状。患者有临床表现前来就诊时,往往可见到耵聍完全阻塞外耳道。

耵聍栓塞症状图片

耵聍栓塞相关知识

耵聍栓塞患者的外耳道内可见黄褐色或棕黑色质硬的耵聍团块,也有质软如泥将耳道封闭。外耳道被耵聍完全堵塞时,可出现听力减退、耳闷胀感,耵聍压迫鼓膜可致耳鸣、眩晕,也可因刺激迷走神经而引起反射性咳嗽,遇水膨胀可出现耳痛。
耵聍栓塞可因外耳道炎、湿疹、在粉尘较多的环境中工作、挖耳等使局部受到刺激,导致耵聍分泌过多引起;也可因外耳道狭窄、瘢痕、肿瘤、异物存留等阻碍耵聍排出情况引起。
耵聍栓塞因症状不同而治疗有异。对可活动的、位置较浅,未完全阻隔外耳道的耵聍,可用枪状镊或耵聍钩取出耵聍团块;较软的耵聍可直接用角镊分次逐步取出;较硬者可先用耵聍钩从外耳道上壁将耵聍与外耳道壁分离出缝隙后,将耵聍钩扎入耵聍团块内缓慢勾出;耵聍较硬难取出者,可遵医嘱先滴入碳酸氢钠溶液,待耵聍软化后用吸引法或外耳道冲洗法清除。

参考文献

[1]高学祯主编.体检报告专业解读及指导[M].武汉:武汉大学出版社,2019.108.

[2]杨泽卫.耳鼻咽喉科专科护理服务能力与管理指引[M].沈阳:辽宁科学技术出版社,2019.18-19.

[3]黄春华等主编.实用临床儿科疾病诊治精要 下.第2版[M].长春:吉林科学技术出版社,2019.547.

[4]文忠等主编.耳鼻咽喉头颈外科临床治疗学[M].长春:吉林科学技术出版社,2019.173.

[5]张敬一主编.五官科医师处方手册[M].郑州:河南科学技术出版社,2020.499.

[6]何井华,田文,陈伟主编.常见疾病防治手册[M].上海:第二军医大学出版社,2014.18-19.

相关疾病

相关科普