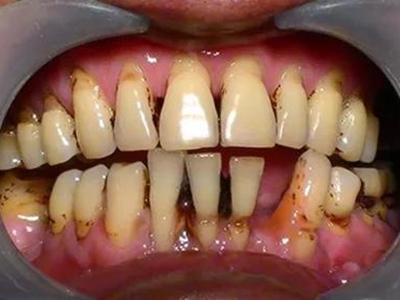
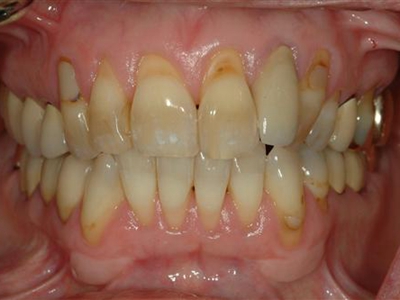
掌跖角化-牙周破坏综合征症状图片

本文由有来医生原创,经专业医师审核校对
所有图片质量和准确性经专业医生严格审查

掌跖角化-牙周破坏综合征属于一种罕见病,具有遗传性,其症状特点是手掌和脚底皮肤过度角化、皲裂,同时牙周组织严重破坏。本病无法得到根治,对于皮肤病损的治疗以局部涂擦抗炎抗角化药物为主,牙周破坏严重可需定期进行系统的洁治、刮治等治疗。

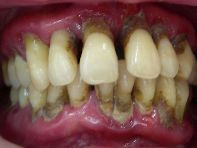
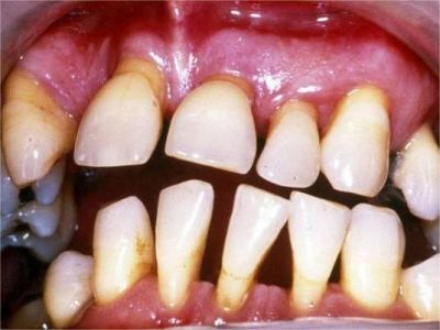
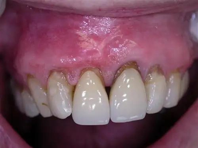
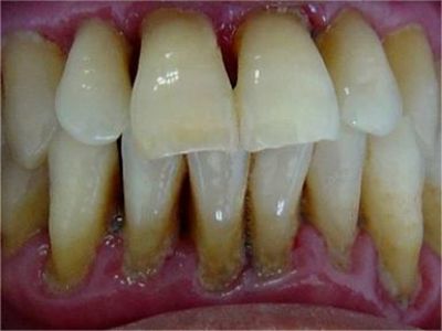
掌跖角化-牙周破坏综合征症状图片

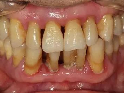
掌跖角化-牙周破坏综合征相关知识

掌跖角化-牙周破坏综合征可造成手掌、脚底等部位皮肤的局限性过度角化,可有皲裂、鳞屑、多汗、臭汗等症状。同时牙周组织严重破坏,口臭明显。
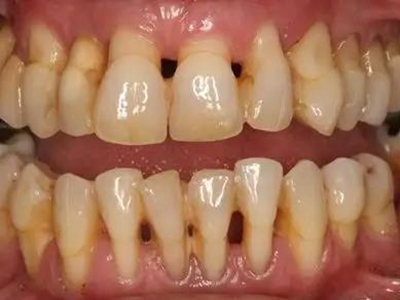
掌跖角化-牙周破坏综合征为常染色体隐性遗传病,男女患病概率均等。
掌跖角化-牙周破坏综合征对于皮肤病损的治疗,以局部涂擦抗炎、抗角化药物为主,常用药物为类固醇药物和水杨酸,如复方醋酸地塞米松乳膏、水杨酸软膏等,由于本病无法根治,因此需遵医嘱长期用药。对于牙周破坏严重者,需定期进行系统的龈上洁治、龈下刮治、根面平整术,配合全身使用广谱抗生素以及调节机体机能的药物,如补肾固齿丸。必要时行牙周手术治疗,或拔除无法保留的乳牙、恒牙,并及时制作间隙保持器或活动义齿修复。

参考文献

[1]孟焕新.牙周病学.第5版[M].北京.人民卫生出版社.2020.157-159.

[2]樊明文.中华医学百科全书 ;2 ;临床医学 ;口腔医学[M].北京:中国协和医科大学出版社.2018.86.

[3]曲兆明.口腔种植与牙周病诊治技术[M].天津:天津科学技术出版社.2018.246-248.

[4]张震康,俞光岩,徐韬.实用口腔科学.第4版[M].北京.人民卫生出版社.2016.116-117.

相关科普