寻常型银屑病症状图片

本文由有来医生原创,经专业医师审核校对
所有图片质量和准确性经专业医生严格审查

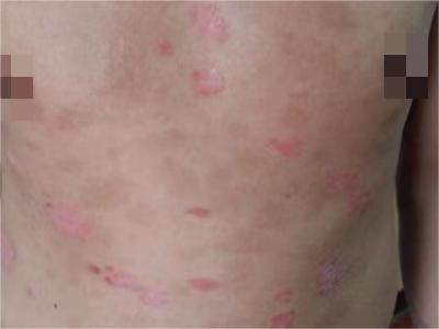
寻常型银屑病属于银屑病(牛皮癣)的一种类型,以皮损症状最为常见,皮损可发生于全身各处,但以四肢伸侧,特别是肘部、膝部和骶尾部最为常见,常呈对称性,不同部位的皮损也有所差异,多自觉不同程度瘙痒。

寻常型银屑病症状图片

寻常型银屑病相关知识

寻常型银屑病初起皮损为红色丘疹或斑丘疹,逐渐扩展成为边界清楚的红色斑块,可呈多种形态,如点滴状、斑块状、钱币状、地图状、蛎壳状等,上覆厚层银白色鳞屑。若刮除最上层的银白色鳞屑,可观察到鳞屑成层状特点,就像在刮蜡滴一样,刮去银白色鳞屑可见淡红色发光半透明薄膜,剥去薄膜可见点状出血。
皮损可发生于全身各处,但以四肢伸侧,特别是肘部、膝部和骶尾部最为常见,常呈对称性。不同部位的皮损也有所差异,面部皮损多为点滴状浸润性红斑、丘疹或脂溢性皮炎样改变;头皮皮损鳞屑较厚,常超出发际,头发呈束状;腋下、乳房和腹股沟等皱褶部位常由于多汗和摩擦,导致皮损鳞屑减少并可出现糜烂、渗出及裂隙;少数损害可发生在唇、颊黏膜和龟头等处,颊黏膜损害为灰白色环状斑,龟头损害为边界清楚的暗红色斑块;甲受累多表现为“顶针状”凹陷。患者多自觉不同程度瘙痒。
寻常型银屑病确切病因尚未清楚,疾病的发生或加重可能与遗传因素、环境因素、免疫因素相关。
1、遗传因素:父母一方有寻常型银屑病银屑病时,其子女寻常型银屑病发病率较无遗传史的人群高;
2、环境因素:仅有遗传背景尚不足以引起发病,环境因素在诱发及加重寻常型银屑病中起重要作用。最易促发或加重寻常型银屑病的因素是感染、精神紧张、应激事件、外伤手术、妊娠、肥胖、酗酒、吸烟和某些药物作用等;
3、免疫因素:免疫因素在寻常型银屑病的发病过程中起着重要的作用。
寻常型银屑病日常应注意涂抹保湿剂,同时可遵医嘱使用糖皮质激素软膏,如糠酸莫米松软膏、复方氟米松软膏等药物进行治疗。此外,也可遵医嘱进行物理治疗,如UVB光疗、准分子激光等。

参考文献

[1]张学军,郑捷.皮肤性病学.第9版[M].北京.人民卫生出版社.2018.133-137.

[2]方洪元,邢卫斌,张秉新,徐海环.实用皮肤性病手册.第1版[M].北京.人民卫生出版社.2016.588.

相关科普