首页
我的
氟骨症症状图片
本文由有来医生原创,经专业医师审核校对
所有图片质量和准确性经专业医生严格审查
肖进
主任医师 | 审核医师
广东省人民医院
|
骨科
氟骨症又称氟骨病,是人类长期在高氟环境中生活而导致的慢性中毒性疾病。在我国流行广泛,主要分布于东北、西北和华北等地区,大多数省、市、自治区都有发病。氟骨症多是从饮水或食物摄取了过高浓度的氟化物而引起的骨骼病症。病人因为氟在骨骼上沉积而出现关节疼痛、腰酸背痛、四肢弯曲、牙齿斑点等症状。
氟骨症症状图片
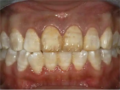
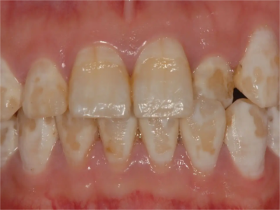
牙齿
斑
氟骨症牙上有黑褐色斑点图
氟骨症易出现牙齿症状,即氟斑牙,主要表现为牙齿表面附着浅黄、黄褐色乃至深褐色斑点,颜色分布不均,牙齿釉面失去光泽,不透明。
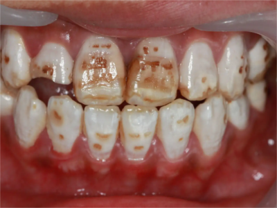
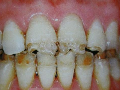
牙齿
斑 · 小坑
氟骨症牙齿变色出现褐色斑和凹坑图
氟骨症的典型症状之一为氟斑牙,表现为牙齿表面粗糙,颜色呈浅灰色,同时表面有很多褐色的斑点、凹坑和浅窝状缺损面,牙齿的外形受到破坏。
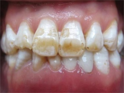
牙齿
斑
氟骨症牙齿长黄斑缺损图
氟骨症典型症状表现为患者牙齿靠近牙尖位置处缺损,表面粗糙,同时有很多褐色斑块附着,还有的牙齿上有横线一样的凹陷,需及时脱离高氟环境,以免疾病进一步发展。
牙齿
斑
氟骨症牙齿有褐色的斑片和小坑图
氟骨症累及患者牙齿时,表现为牙齿表面不光滑,呈白垩色,有很多淡黄色、黄褐色的斑块,导致牙齿发黄,同时上面有很多大小不等的凹坑,随着疾病继续发展会累及整个牙面。
牙齿
斑
氟骨症牙齿出现黄褐色斑和裂纹图
氟骨症会累及牙齿,表现为牙齿表面着色,出现不同程度的颜色改变,出现黄褐色斑,甚至整个牙齿呈黄褐色至深褐色。同时牙齿表面见细小的条状裂纹,密集分布,触摸牙齿粗糙不平。
牙齿
斑
氟骨症牙齿有黄色斑块图
氟骨症主要表现为氟斑牙,即在牙齿表面出现大量的黄色斑块,形态不规则,并且不能被刮除,同时牙齿表面粗糙,无光泽,严重时会导致牙齿缺损。
牙齿
斑
氟骨症牙齿长斑和凹坑图
氟骨症患者牙齿表面有黄色斑点、斑块,同时牙齿表面光泽度差,粗糙似粉笔样,其上有条状凹痕或点状小洞。此时需注意防护,日常可使用防氟牙膏刷牙。
牙齿
斑
氟骨症牙齿有淡黄色不规则斑片图
氟骨症患者牙齿受累时,表现为牙齿表面粗糙,呈白垩色,其上存在淡黄色斑块,并伴有点状、线状或窝状缺损,形态不规则,缺损内的染色较深,严重影响美观。
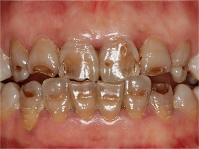
牙齿
黑斑 · 缺损
氟骨症牙齿发黑缺损图
氟骨症症状严重时表现为牙齿表面有黄褐色、深棕色,甚至黑色斑点,并且表面粗糙失去光泽,还容易出现缺损甚至牙齿脱落,建议及时到口腔科治疗。
牙齿
斑 · 小坑
氟骨症牙齿有黄褐色斑和凹坑图
氟斑牙患者的牙齿表面有黄褐色斑点或斑块,牙釉质表面失去光泽并出现缺损,缺损呈条状、点状、块状,缺损内的颜色为暗褐色,此时症状较严重,应及时治疗。
牙齿
斑
氟骨症牙齿长淡黄斑图
氟骨症症状较轻时表现为牙齿表面失去光泽,出现淡黄色斑,形态不规则,若不及时治疗会出现凹坑和缺损,患者常伴有骨骼变形甚至疼痛。
背部
变形
氟骨症后背弯曲畸形图
氟骨症可引起腰背部骨质增生、脊柱变形,患者可出现佝偻驼背症状,背部始终弯曲无法挺直,背部像单个驼峰,向上突起,伴随关节疼痛、腰酸背痛等症状。
背部
僵硬
氟骨症背部弯曲僵硬躺不平图
氟骨症患者有关节僵硬、骨骼变形、脊髓压迫等症状,表现为背部弯曲僵硬,无法正常挺直,患者无法躺平,像虾背样弯曲,严重时会导致瘫痪。
背部
变形
氟骨症背部脊柱变形图
氟骨症患者背部骨质增生、脊柱变形,表现为佝偻驼背,背部无法挺直,严重时近似于“折叠样”,同时压迫神经根,导致患者出现疼痛感、麻木感。
胸部
畸形
氟骨症胸前突畸形图
氟骨症严重时出现胸向前突出的现象,明显看到一条一条对称的肋骨突出,呈鸡胸样畸形,严重影响美观,此时建议积极治疗并脱离高氟环境。
胸部
大坑
氟骨症胸部中间出现大坑图
氟骨症还会累及胸部的关节,导致骨骼畸形,表现为胸部中间向内凹陷,呈漏斗状大坑,伴有钝痛或刺痛感,同时因骨骼压迫肺、心脏等胸腔脏器而出现心慌、气喘等症状。
肋部
变形
氟骨症肋骨变形图
氟骨症主要症状为骨骼变形,累及肋骨时,表现为肋骨下缘凸起,呈横线型高于皮肤表面,皮肤表面完好,同时因压迫局部神经根而出现持续性疼痛,呈刀割样,无法触摸,此时需积极治疗,并减少机体对氟的吸收。
肋部
畸形
氟骨症肋骨外翻畸形图
氟骨症主要累及骨骼,累及肋骨时,患者平躺后两侧肋骨下缘外翻畸形,严重时还会导致其他部位的骨骼变形,是长期在高氟环境中生活而导致的慢性中毒性疾病。
肘部
变形
氟骨症右边胳膊肘有点外凸变形图
氟骨症患者胳膊肘受累时,表现为关节僵硬、变形,有点向外翻,导致胳膊无法伸直,伴有麻木、疼痛感,严重时影响正常的关节活动功能。
腿
畸形
氟骨症腿畸形伸不直图
氟骨症常累及腿部,表现为膝外翻,双腿站不直,呈“O”型腿畸形,伴有持续性刀割样疼痛,休息时加重,活动后可缓解,必要时遵医嘱行手术减压治疗。
腿
变形
氟骨症右边腿变形图
氟骨症又称氟骨病,主要累及骨关节,患者右侧小腿僵硬,向外侧弯曲变形,无法伸直,同时伴有关节持续性疼痛,晨起时关节僵硬明显,严重时会影响正常行走。
腿
变形
氟骨症右腿弯曲变形图
氟骨症主要症状为关节疼痛、变形,患者右侧膝盖增生,膝盖和小腿向外侧弯曲变形,同时因骨骼弯曲而压迫神经根,出现持续性疼痛、麻木等症状。
小腿
畸形
氟骨症左腿畸形图
氟骨症主要症状为关节畸形,患者左侧小腿向外偏斜,呈“X”型腿畸形,并伴有持续性刀割样疼痛、麻木以及肌肉无力现象,严重者影响劳动和生活能力。
小腿
变形
氟骨症双侧小腿和膝盖严重向外弯曲变形图
氟骨症累及患者双侧小腿和膝盖时,表现为小腿和膝盖严重向外弯曲变形,呈“O”型,同时因骨关节硬化、增生,使膝盖膨大、僵硬,伴随麻木、疼痛等异常症状。
小腿
变形
氟骨症双侧小腿交叉变形图
氟骨症严重患者双侧小腿僵硬、骨骼弯曲变形,相互交叉呈“X”型,伴有疼痛感,无法正常行走,瘫痪在床,多与长期进食含有氟化物的食物有关。
腿
变形
氟骨症双腿弯曲变形图
氟骨症是一种慢性疾病,主要累及骨骼和关节,表现为双下肢骨质增生、关节变形,站立时呈“O”型腿样外观,无法伸直,伴有关节持续性疼痛,静止时加重,活动后可缓解,触碰时疼痛会更加明显。
小腿
变形
氟骨症小腿严重变形图
氟骨症典型症状是关节畸形,患者小腿弯曲,尤其是右腿明显短小、外翻、畸形,无法正常行走,伴有剧烈疼痛感,劳累后、晨起时疼痛会明显加重。
小腿
变形
氟骨症左侧小腿变形图
氟骨症患者会因骨结构改变而出现关节畸形,患者左侧小腿向外弯曲呈弯月形,并且长度缩短,随着病情逐渐进展,症状会加重,影响日常活动,同时伴随麻木、疼痛感。
腿
变形
氟骨症左边腿变形弯曲图
氟骨症是慢性疾病,久之累及骨关节,使其增生、变形,患者左侧腿呈半“X”型,膝盖向内侧弯曲,影响正常行走,与机体摄入过多的氟化物有关。
腿
变形
氟骨症腿变形弯曲图
氟骨症可引起下肢骨骼僵硬、变形,膝盖骨突出、关节膨大,呈“o”型腿,最终可导致骨质硬化,引起骨质增生,患者自觉疼痛明显。
腿
变形
氟骨症腿严重变形图
氟骨症累及患者下肢,可出现下肢僵硬、关节变形现象,即膝关节膨大、僵硬、小腿弯曲伸不直,自觉肢体麻木,病情严重时会影响生活以及劳动能力。
手指
变形
氟骨症手指关节变大变形图
氟骨症会侵犯双手的手指关节,表现为关节增生、异常粗大,手指变形,同时患者感觉有刀割样剧烈疼痛感,拒碰触,活动后有所缓解。
手指
变形
氟骨症手指变形图
氟骨症累及手指后,表现为指关节变形、粗大,手指异常弯曲,伴有麻木、疼痛感。主要与氟化物在骨骼内蓄积过多有关,会破坏骨的正常结构。
手指
畸形
氟骨症手指严重弯曲畸形图
氟骨症患者手指骨骼变形,手指关节粗大且异常弯曲畸形,无法伸直,患者会出现持续性疼痛感,严重影响手指的正常活动,患者常伴发氟斑牙。
脚部
变形
氟骨症腿短脚变形图
氟骨症主要症状为关节活动受限、关节畸形,表现为患侧腿短小、脚变形,伴有感觉减退、肌力降低等异常症状,需积极治疗,减少机体对氟的吸收。
氟骨症相关知识
氟骨症可出现骨骼及牙齿症状,牙齿可有氟斑牙表现,即牙釉质失去色泽变暗,有斑点石灰状。氟骨症还可引起腰背以及下肢疼痛、骨质硬化,肌腱、韧带钙化和关节囊肥厚,骨质增生等,可表现为佝偻驼背、胸廓塌陷及骨盆变形,还可出现四肢肢体僵硬、关节变形等表现。
氟骨症的氟主要来源为饮水和环境中的氟化物,尤其是被污染环境中的水、空气以及高氟食物等。当氟的每日摄入量高于4-5mg时,就会造成氟在体内蓄积,蓄积的主要部位在牙齿和骨骼,因此产生的主要损害表现在牙齿和骨骼上。
氟骨症治疗原则包括减少机体对氟的吸收;增强机体新陈代谢,促进氟化物的排泄;减轻患者症状,改善体征;如神经根或脊髓组织受压并产生瘫痪或肢体功能障碍时,应手术减压;加强营养,提高机体抗病能力,恢复劳动强度等。
参考文献
[1]姜虹.骨外科学 ;高级医师进阶.第1版[M].北京.中国协和医科大学出版社.2016.283.
[2]尹志伟,侯键主编.骨伤科影像学[M].北京:中国中医药出版社.2016.203.
相关科普
龟头流出白色黏稠物是什么原因
赵佳晖
首都医科大学附属北京安贞医院
女生小便有白色黏稠物是什么原因引起的
牛颜良
哈尔滨市第一医院
女生小便有白色黏稠物是什么原因
荣建红
湖北省第三人民医院
女生流出白色粘稠物是什么
赵芳
北京积水潭医院
女生下面流白色的黏稠物是什么
毛滢
北京医院
女生分泌的白色黏稠物是什么
陆相辉
齐齐哈尔医学院附属第三医院
怀孕流出白色黏稠物怎么回事
鹿志霞
济南市中西医结合医院
大便有白色黏稠物是什么原因
赵迎盼
中国中医科学院西苑医院
下体白色黏稠物是什么原因
张锋
济南市第二妇幼保健院
大便有白色黏稠物是什么原因出现的
周中银
武汉大学人民医院