副肿瘤性天疱疮症状图片

本文由有来医生原创,经专业医师审核校对
所有图片质量和准确性经专业医生严格审查

副肿瘤性天疱疮是一种罕见的累及皮肤黏膜的自身免疫大疱性疾病,常伴发肿瘤。肿瘤多为淋巴增生性肿瘤,可累及多个内脏器官,其特征性临床表现为疼痛的口腔黏膜炎和多形性皮疹,患者常因口腔黏膜糜烂疼痛首次就诊,本病好发于中青年,但亦可见于学龄前儿童及老年人,无明显性别差异。

副肿瘤性天疱疮症状图片

副肿瘤性天疱疮相关知识

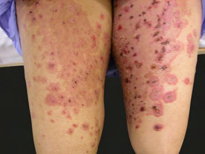
副肿瘤性天疱疮的症状包括黏膜皮肤损害、肺部损害、原发肿瘤、脱发等方面。
1、黏膜皮肤损害:副肿瘤性天疱疮常以口腔黏膜炎为首发症状,表现为广泛、难治性的溃疡、水疱、糜烂等,患者口唇分泌物增加、疼痛,拒食,常见口唇糜烂、渗血、血痂等;病变部位除口腔黏膜外,亦可累及眼结膜、咽喉部、呼吸道、肛周生殖器等部位。少数患者以皮疹为首发症状,皮损呈多形性,常泛发于头颈部、前胸后背和肢体近端。皮损随病情加重及缓解动态变化,同一人可见不同类型皮损。掌趾部常可见脱屑、红斑、水疱、溃烂及指甲损害、甲沟炎、甲脱落、甲周红肿等。
2、肺部损害:部分副肿瘤性天疱疮患者以肺部损害为首发症状,闭塞性细支气管炎或Ⅱ型呼吸困难是本病常见的伴发症状,早期主要临床症状为进行性呼吸困难,可能胸片无异常,肺功能检测为通气障碍;CT显示存在空气潴留、马赛克征、多发支气管扩张及支气管管壁增厚;患者支气管活检提示呼吸道纤毛柱状上皮与基底细胞层之间剥离,黏膜下层炎症细胞浸润;支气管镜检为支气管各段广泛狭窄,黏膜充血,脓性分泌物增多,进而堵塞细支气管腔。
3、原发肿瘤:副肿瘤性天疱疮的原发肿瘤主要为淋巴细胞增生性肿瘤,少数可见上皮起源和间质来源的肉瘤。原发肿瘤的部位多位于腹膜后,包括肾上腺区、阑尾区、胰腺旁,其次为纵膈及颈部、锁骨上及腋下等处的浅表淋巴结。
4、脱发:部分副肿瘤性天疱疮患者出现脱发症状,表现为斑秃、白癜风等类型。
副肿瘤性天疱疮确切的发病原因,可能与伴发肿瘤诱导产生自身抗体对皮肤黏膜的损害有关。常见的良恶性肿瘤均可发生副肿瘤性天疱疮,最常见的是非霍奇金淋巴瘤、慢性淋巴细胞性白血病和Castleman病,其他有胸腺瘤、肉瘤等。虽然Castleman病是一种罕见的淋巴增生性疾病,但在成年人副肿瘤性天疱疮的相关肿瘤中比较常见。
副肿瘤性天疱疮的治疗包括手术治疗、药物治疗、一般治疗等方面。
1、手术治疗:副肿瘤性天疱疮治疗的重要措施为积极控制肿瘤,早期筛查及完整手术切除是治疗的关键。对于良性肿瘤宜尽早手术完整切除,通常可以减轻甚至完全缓解症状。
2、药物治疗:大剂量的激素仍是最重要的治疗手段之一,其常与环孢素、硫唑嘌呤、环磷酰胺、甲氨蝶呤、利妥昔单抗等药物联合应用。要密切注意糖皮质激素的不良反应,如消化道出血、诱发感染、骨质疏松、高血压、高血糖等,用免疫抑制剂要定期查血常规、肝肾功能。
3、一般治疗:副肿瘤性天疱疮的患者治疗过程中拒食,加上皮损消耗,一般都伴有低蛋白血症,全身抵抗力差,易感染,而呼吸衰竭被认为是普遍的终点事件,应积极加强吸氧、抗感染等治疗,预防与减少阻塞性细支气管炎的发生,常见死亡原因多为脓毒败血症、胃肠道出血、呼吸衰竭等。

参考文献

[1]吴悠,范媛.副肿瘤性天疱疮的研究进展[J].口腔医学,2016,36(7):645-648.

[2]穆震总.新编皮肤病学[M].西安:西安交通大学出版社,2018:318.

相关科普