首页
我的
特应性角结膜炎症状图片
本文由有来医生原创,经专业医师审核校对
所有图片质量和准确性经专业医生严格审查
孙一洲
副主任医师 | 审核医师
中国医科大学附属第一医院
|
眼科
特应性角结膜炎是一种较为严重的眼部变应性疾病,症状持续时间较长,对视力有明显影响。眼部受累出现结膜瘢痕、乳头形成和点状角膜病变,也可发展为严重角膜上皮剥脱、溃疡、混浊和角膜血管翳,有时与白内障、圆锥角膜也有一定的关联。
特应性角结膜炎症状图片
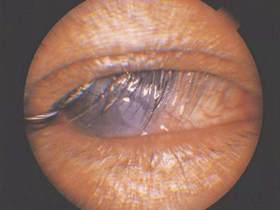
结膜
疙瘩
特应性角结膜炎眼皮里面有疙瘩图
特应性角结膜炎会导致患者眼皮内有乳头状的赘生物,即密集分布的圆形小疙瘩,质地较软,大小中等,患者会同时伴有上皮下纤维化的症状。
结膜
疙瘩
特应性角结膜炎眼皮里有密密麻麻小疙瘩图
特应性角结膜炎患者翻开眼皮可见铺路石样的密密麻麻的小疙瘩,直径均>1mm,疙瘩间眼结膜泛白肿起,此时进行眼睑冷敷可暂时缓解眼部的不适感,还应及时就医正确用药。
结膜
白点
特应性角结膜炎眼皮上有白色小点点图
特应性角结膜炎初期翻开眼皮可见眼皮内发红,上面布满了白色小点,微微凸起,严重后小点会变大,更凸出于结膜表面,形成小肉疙瘩,眼部异物感加重。
结膜
疙瘩
特应性角结膜炎上眼皮里边有疙瘩图
特应性角结膜炎典型表现为上眼皮内充血,有乳头状小疙瘩,上眼皮增生变厚,眼球内结膜水肿,发红,患者有易流泪、眼睛痒、分泌物增多等不适。
结膜
红肿
特应性角结膜炎上眼皮变红变厚图
特应性角结膜炎导致患者眼皮内充血水肿,向内出现巨大肿物,眼皮发红,肿起的肉球遮挡眼球,眼皮皮肤变厚。此时需注意不要用手触碰局部,以免细菌残留,引发感染。
结膜
红肿
特应性角结膜炎上眼皮里面红肿图
特应性角结膜炎表现为上眼皮内结膜充血,有微凸起的乳头状疙瘩,局部由于炎症变红增厚,表现出瘙痒和烧灼感,要避免揉搓加重反应。
结膜
红肿 · 小疙瘩
特应性角结膜炎上眼皮里边红肿有疙瘩图
特应性角结膜炎典型症状为结膜水肿,上眼皮内结膜红肿,局部增厚,并伴随微隆起于眼皮表面的小疙瘩,此时患者应注意避免揉眼,及时就医。
结膜
红肿
特应性角结膜炎上眼皮红肿增厚图
特应性角结膜炎患者进行眼部检查时会发现上眼皮水肿,中间泛白,四周开始出现明显的红血丝,此病通过及时治疗可改善,但是很难完全根治。
结膜
红肿
特应性角结膜炎上眼皮里边增厚红肿图
特应性角结膜炎导致患者眼睑内有湿疹样的皮肤变化,眼皮内布满米粒大小的小红点,整个眼皮红肿,感觉变厚,眼睑一圈有黄色分泌物,并伴随局部刺激感。
结膜
疙瘩
特应性角结膜炎上眼皮变红有疙瘩图
特应性角结膜炎表现为眼球表层有明显的血丝,轻微水肿,上眼皮内红肿充血,有些许凸起的连在一起的软疙瘩,眼睑一圈发红,出现眼睛痛、怕光等症状。
结膜
疙瘩
特应性角结膜炎眼皮里面长疙瘩图
特应性角结膜炎患者的主要症状为上睑结膜出现乳头状增生,类似堆积的小红疙瘩,通常中等大小,直径1-2厘米,病损部位皮肤充血红肿,患者自觉异物感,伴流泪症状。
结膜
软疙瘩
特应性角结膜炎上眼皮内侧变厚有疙瘩图
特应性角结膜炎患者上眼皮内出现铺路石样的软疙瘩,随着炎症加重,上眼皮内红肿变厚,眼球混浊,眼白上有红血丝,此时应避免用手触摸,以免加重感染。
结膜
小疙瘩
特应性角结膜炎上眼皮里面有小疙瘩图
特应性角结膜炎导致患者上眼皮水肿,水肿最凸处有密密麻麻的小疙瘩,类似湿疹。随着病程发展,水肿会增大,小疙瘩会更加凸出,变成密集排列的乳头状扁平的疙瘩。
结膜
软疙瘩
特应性角结膜炎上眼皮增厚还起软疙瘩图
特应性角结膜炎典型症状为结膜水肿,上眼皮内结膜皮肤增厚且出现明显红血丝,伴随微隆起于眼皮表面的小疙瘩,质地柔软,此时应避免揉眼,及时就医。
眼球
白点
特应性角结膜炎眼球旁边小白点图
特应性角结膜炎患者眼部受累出现结膜瘢痕、乳头样疙瘩和点状角膜病变,可见眼球边缘有白色点状瘢痕消不下去,眼球很多红血丝,同时眼睑皮肤变厚。
结膜
血丝
特应性角结膜炎眼睛里有红血丝图
特应性角结膜炎患者结膜上有明显的较粗壮的血管,有些微凸起于结膜表面,眼球周围一圈泛白混浊,边界不清晰,同时眼睑会附着黄色分泌物。
结膜
血丝
特应性角结膜炎眼睛里边有红血丝图
特应性角结膜炎初期患者眼球有很多明显的红血丝,睡眠后没有减轻,同时眼球周围一圈泛白并伴随白色小点。若不及时治疗后期眼睛会充血红肿。
结膜
血丝
特应性角结膜炎眼睛里有很多红血丝图
特应性角结膜炎患者眼球内混浊,出现很多红血丝,随着疾病加重,眼部出现角膜血管翳,即眼白部出现黄色的瘢痕,患者有疼痛、易流泪等不适,会对视力造成影响。
结膜
血丝
特应性角结膜炎眼睛红肿有红血丝图
特应性角结膜炎典型症状为眼睑有湿疹样的皮损,眼睑部皮肤发红轻微增生,且出现苔藓样改变,眼球内明显红血丝,眼角可见黄色的黏液分泌物。
眼球
疙瘩 · 血丝
特应性角结膜炎眼睛里红血丝和疙瘩图
特应性角结膜炎典型症状为结膜充血,可见眼球上有明显的红血丝,眼球整体苍白,眼球周围伴随一圈大小不一的白色凸起疙瘩,质地软润。
眼球
发白
特应性角结膜炎黑眼球发白图
特应性角结膜炎患者的病情发展至后期,眼部受累明显,会出现结膜瘢痕、睑球粘连,表现为眼球变灰白或淡褐色,睫毛粘连呈束状,同时患者眼部活动因此受限。
眼部
红肿 · 混浊
特应性角结膜炎眼睛混浊红肿图
特应性角结膜炎导致患者眼球表面混浊,与结膜界限不清,眼角有乳头状改变,分泌黄色的分泌物,眼睑皮肤红肿、增厚,自觉视物模糊、流泪。
结膜
血丝
特应性角结膜炎眼睛发红有血丝图
特应性角结膜炎主要特点为结膜苍白或水肿、睫状充血、上下睑皮肤呈乳头肥大样,睑结膜表层和巩膜出现明显红血丝,后期结膜瘢痕化、挛缩,甚至形成睑球粘连。
眼部
血丝 · 萎缩
特应性角结膜炎眼睛有血丝眼皮萎缩图
特应性角结膜炎患者表现为眼球整体混浊,结膜出现明显红血丝,并出现黄色脓性分泌物,同时会伴随眼睑部皮肤萎缩、褶皱变形等异常。
结膜
血丝
特应性角结膜炎眼睛里面红血丝图
特应性角结膜炎患者眼皮翻开后有明显的红血丝,还伴随黄色的黏性分泌物,眼睑边缘也会附着干的分泌物,此时可遵医嘱使用眼药冲洗治疗。
结膜
肿 · 血丝
特应性角结膜炎眼睛肿有血丝图
特应性角结膜炎典型症状为结膜苍白或水肿、睫状充血、上下睑结膜肥大,结膜表层和巩膜血管扩张。后期结膜瘢痕化、挛缩,甚至形成睑球粘连。
结膜
血丝 · 混浊
特应性角结膜炎眼睛混浊有红血丝图
特应性角结膜炎眼部受累出现结膜瘢痕,眼睛混浊不清晰和大量的红血丝,患者出现害怕光、疼痛、流泪、眼部瘙痒及黏液分泌物等不适。
眼球
发白 · 混浊
特应性角结膜炎眼球混浊发白图
特应性角结膜炎严重时会导致患者眼球混浊发白,并伴随视力下降、视物模糊,由于治疗不及时,会遗留瘢痕,造成永久性的视力损害。
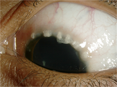
眼球
白点
特应性角结膜炎眼眼球上边有白色的小点点图
特应性角结膜炎导致患者眼球表面黑眼仁边缘一圈出现白点,附着于结膜下,眼白处结膜红血丝明显,此时患者有视物模糊、疼痛、怕光等异常症状。
眼球
发黄
特应性角结膜炎黑眼球边上一圈发黄图
特应性角结膜炎是眼部受累出现结膜瘢痕、乳头状疙瘩和点状角膜病变,而后逐渐发展为严重的角膜上混浊和角膜血管翳,表现为眼白处有黄色的色素沉着。
结膜
疙瘩
特应性角结膜炎眼皮里面有疙瘩图
特应性角结膜炎患者翻开眼皮可见其上有密集排列的小疙瘩,患者眼部有痒痛、怕光等不适,出现症状后要尽快脱离过敏原,并及时就诊。
结膜
软疙瘩
特应性角结膜炎眼皮里面有白色软疙瘩图
特应性角结膜炎患者眼皮内长出许多乳头样的白色软疙瘩,聚集排列。此病症状持续时间较长,对视力有明显影响,应及时给予有效治疗。
结膜
红肿
特应性角结膜炎眼睛发红肿胀图
特应性角结膜炎患者眼部充血、发红,表现为结膜混浊有红血丝,同时会伴随流泪、怕光、疼痛以及局部烧灼感等不适,需及时给予有效治疗。
结膜
肉粒
特应性角结膜炎上眼皮里有白色小肉粒图
特应性角结膜炎可见眼皮上密密麻麻的白色小肉粒,微凸起,质地柔软,发病时感觉眼部奇痒,会不自主的用力揉搓,眼部伴有烧灼感、异物感。
结膜
软疙瘩
特应性角结膜炎眼皮上有肉块样软疙瘩图
特应性角结膜炎患者翻开眼皮有米粒至黄豆大的大小不一的肉块样软疙瘩,眼皮内红肿,是由于接触到过敏原所致,因此日常需避免接触花粉或动物皮屑等物质。
结膜
软疙瘩
特应性角结膜炎眼皮里面长软疙瘩图
特应性角结膜炎典型症状为眼皮内有肥大的乳头状的软疙瘩,疙瘩密集分布,且眼结膜轻微红肿,自觉瘙痒、流泪、害怕光照,同时会有黄色黏液分泌物附着在眼睑边缘。
眼球
白点
特应性角结膜炎眼球边上有白点点图
特应性角结膜炎严重时可见眼球边缘一圈和眼角内出现白点,凸起于结膜表面,伴随下眼睑皮肤增厚,此时应在医生指导下使用药物治疗,不可擅自用药。
结膜
软疙瘩
特应性角结膜炎眼皮里面有小软疙瘩图
特应性角结膜炎发病时可见眼皮内苍白,局部长出许多小软疙瘩。此症状为配戴眼镜或眼睛假体植入等不耐受导致,出现眼痒,视物模糊的感觉。
结膜
疙瘩
特应性角结膜炎眼皮里面有小疙瘩图
特应性角结膜炎患者翻开眼皮可见乳头状的小疙瘩,眼皮内红肿,随着发展,会出现分泌物增多、流泪、眼痒、烧灼感和眼部异物感等不适。
眼球
渗液 · 白斑
特应性角结膜炎眼球周围白斑有黏液图
特应性角结膜炎后期会出现结膜瘢痕化、萎缩,眼球有红血丝及黄斑,黑眼仁周围一圈白斑样损害,伴有黏液样分泌物,出现渗液现象,应在医生指导下用药治疗。
特应性角结膜炎相关知识
特应性角结膜炎好发于老年人。睑结膜中等大小的乳头,伴有上皮下纤维化,晚期形成结膜瘢痕,有时会发展成睑球粘连。慢性上皮病变损害角膜缘干细胞后,形成广泛的角膜新生血管。
特应性角结膜炎过敏原通常不明确,与异常有关,主要为Ⅰ型超敏反应。
特应性角结膜炎在治疗上需避免接触过敏原。可进行冷敷,并使用人工泪液,色甘酸钠、洛度沙胺等局部肥大细胞稳定剂,合并病毒或细菌感染时给予相应治疗。注意所有药物均需要在医生指导下使用,不可擅自用药。
参考文献
[1]刘院斌等主编.眼科基础及诊疗实践[M].西安:西安交通大学出版社,2015.07.89.
[2]段辉主编.眼科临床药物手册[M].沈阳:辽宁科学技术出版社,2017.02.64.
相关科普
小孩睡觉多动症是什么疾病
张玉玲
哈尔滨医科大学附属第二医院
宝宝睡觉放屁怎么回事
张玉玲
哈尔滨医科大学附属第二医院
眼药水滴了痛好还是不痛好
闵晓珊
中南大学湘雅医院
正常餐后2小时血糖正常值是多少
刘泽灏
中南大学湘雅医院
精索曲张怎么治疗好
赵佳晖
首都医科大学附属北京安贞医院
怎样医治结石
赵佳晖
首都医科大学附属北京安贞医院
子宫内有2.1cm的残留物需要清宫吗
种轶文
北京大学第三医院
劳力性呼吸困难常见于哪些疾病
宋志芳
上海交通大学医学院附属新华医院
空腹胰岛素是什么意思
刘泽灏
中南大学湘雅医院
肺部感染严重会出现什么后果
宋志芳
上海交通大学医学院附属新华医院