播散性浅表性光线性汗孔角化症症状图片

本文由有来医生原创,经专业医师审核校对
所有图片质量和准确性经专业医生严格审查

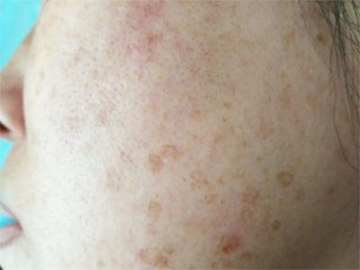
播散性浅表性光线性汗孔角化症,为汗孔角化症中最常见的一型,皮损广泛分布于露出部位,病损表浅,发疹与日光有明显关系,女性多见,发病年龄常在20-40岁。播散性浅表性光线性汗孔角化症初起皮损为角质性小丘疹,随后可逐渐增多。

播散性浅表性光线性汗孔角化症症状图片

播散性浅表性光线性汗孔角化症相关知识

播散性浅表性光线性汗孔角化症皮损好发于经常暴露于日光的部位,如四肢、胸背等处,但少见于面部。皮疹初为直径1-3mm大小的角质性小丘疹,颜色呈棕红色或棕色,一般发生在毛囊部位。
丘疹呈离心性扩大,形成境界清楚、高起0.5-1mm的角化嵴,呈圆形、花环状或不规则形。皮损一般随年龄增长而加多,但50岁以后可逐渐减少和消退,无自觉症状。
播散性浅表性光线性汗孔角化症为常染色体显性遗传病,日光、PUVA、放射线等为本病诱因,故多数患者病情在夏季加重。
播散性浅表性光线性汗孔角化症患者可外用维A酸乳膏、卡泊三醇软膏,并口服阿维A胶囊等药物,皮损消退后减量维持。此外,冷冻治疗亦有一定效果,但愈后可有色素沉着。

参考文献

[1]顾伟程主编.精编妇女皮肤病学[M].西安.陕西科学技术出版社.2018.367-368.

[2]朱文元,倪容之主编;侯麦花,谭城,张汝芝副主编.疑难皮肤病彩色图谱.第3版[M].郑州.河南科学技术出版社.2018.77.

[3]路永红主编.皮肤病性病诊断与治疗[M].成都.四川科学技术出版社.2013.245.

相关科普