瘢痕性类天疱疮症状图片

本文由有来医生原创,经专业医师审核校对
所有图片质量和准确性经专业医生严格审查

瘢痕性类天疱疮又称良性黏膜类天疱疮,是一种慢性水疱性皮肤病,主要发生于口腔和眼部黏膜,水疱愈后遗留永久性瘢痕。本病好发于中老年人,女性多于男性。

瘢痕性类天疱疮症状图片

瘢痕性类天疱疮相关知识

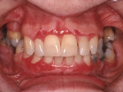
瘢痕性类天疱疮皮损主要发生于黏膜,口腔黏膜和眼结膜多见,其他还可发生于鼻腔、咽喉、食管、尿道口、阴道与肛门黏膜。本病呈慢性病程,具有致残性,无自限性。活动与缓解交替发作。
口腔黏膜的损害主要表现为齿龈、颊、腭部水疱,水疱破溃后形成糜烂面,愈合缓慢,愈合后可形成瘢痕,引起黏膜粘连。累及咽喉及食管黏膜时,引起吞咽困难、食管狭窄。累及喉黏膜时可出现声嘶,甚至窒息。
眼部黏膜受损早期无特异性,表现眼睛红肿、干燥、疼痛或者烧灼。渐出现水疱和糜烂,反复发作,可持续数年,逐渐形成瘢痕,导致结膜粘连、眼睛活动困难,严重者可致失明。
少数患者可出现皮肤损害,可见于头颈部及黏膜附近的皮肤,愈后形成菱缩性瘢痕。引起永久性脱发;也可广泛见于四肢及腹股沟处,愈后可留或不留瘢痕。
瘢痕性类天疱疮可能是大疱性类天疱疮的一种亚型,发病可能与自身抗原BPAG2或层黏蛋白5有关。
对于瘢痕性类天疱疮轻中度患者,以保守治疗为主;对于病情进展迅速且严重影响视力及通气功能的患者,应尽快控制症状。
1、系统治疗:泛发性皮损和严重累及呼吸道的患者可用糖皮质激素治疗,口服泼尼松,皮损控制后逐渐减量。免疫抑制剂可合用或单用。
2、局部治疗:口腔损害可局部使用糖皮质激素、庆大霉素漱口液或四环素漱口液漱口。眼部损害可选用四环素可的松眼膏外涂、局部糖皮质激索注射等。其他部位黏膜可外用糖皮质激素。皮肤损害可行强效激素外用或局部注射。

参考文献

[1]王宝玺主编. ;中华医学百科全书 ;临床医学皮肤病学[M]. ;北京:中国协和医科大学出版社,2017.01.260.

[2]李艳. ;实用皮肤科疾病诊断治疗[M]. ;北京:学技术文献出版社,2018.09.264-265.

相关疾病

相关科普