扁桃体癌症状图片

本文由有来医生原创,经专业医师审核校对
所有图片质量和准确性经专业医生严格审查

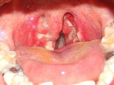
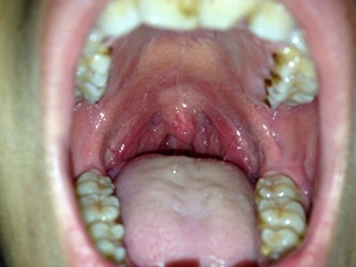
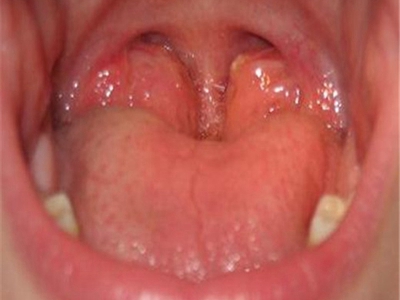
扁桃体癌属于扁桃体恶性肿瘤,为口咽部常见恶性肿瘤之一,病因可能与烟、酒等因素有关。本病可引起咽部不适、异物感、疼痛感、溃烂、出血等症状,临床常通过活检进行确诊,临床多采取手术切除治疗。

扁桃体癌症状图片

扁桃体癌相关知识

扁桃体癌通常先表现为咽部不适、异物感,随后咽痛加剧,可出现吞咽困难。同时,检查可见扁桃体肿大,表面溃烂,呈结节状隆起,易出血,可与周围组织粘连。
扁桃体癌的病因,常考虑与吸烟、饮酒等因素有关。
扁桃体癌通常可采取扁桃体切除术进行治疗,伴有颈部淋巴结转移者同时行颈清扫术,术后辅以放疗及化疗等措施。

参考文献

[1]孙虹,张罗.耳鼻咽喉头颈外科学.第9版[M].北京.人民卫生出版社.2018.299.

[2]任成山,王甲汉,牛广政,等.现代临床疾病防治学 ;下册.第1版[M].郑州.郑州大学出版社.2012.1996.

[3]董芝主编.护理学理论与临床实践[M].北京.科学技术文献出版社.2019.255.

相关科普