年轻恒牙龋症状图片

本文由有来医生原创,经专业医师审核校对
所有图片质量和准确性经专业医生严格审查

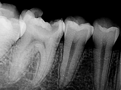
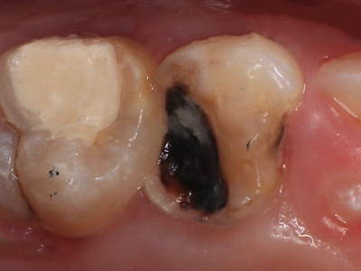
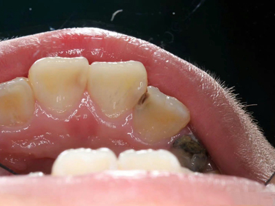
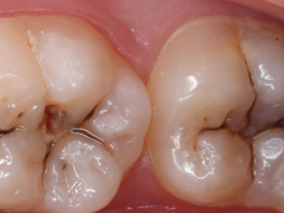
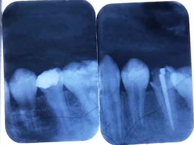
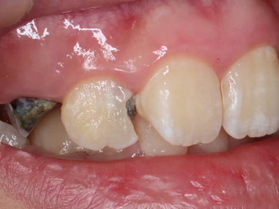
年轻恒牙龋指的是儿童萌出不久的第一恒磨牙龋病和上颌恒切牙龋病,其中第一恒磨牙龋病占年轻恒牙龋的90%,发病早,进展快,可表现为白垩色斑片、点隙窝沟墨浸状龋坏或龋洞。本病的发生和年轻恒牙的特点以及儿童饮食、口腔卫生等因素有关。

年轻恒牙龋症状图片

年轻恒牙龋相关知识

年轻恒牙龋好发于第一、二恒磨牙(牙合)面、邻面,上颌中切牙邻面,多为急性龋,龋坏进展快。平滑面的早期龋多为白垩色的斑片,点隙窝沟的早期龋多为浸墨状,表面粗糙。如果早期龋不及时治疗,可逐渐形成大而深的龋洞,易导致牙髓炎和根尖周炎。
年轻恒牙龋的发生,和不良饮食习惯、口腔卫生习惯差、牙列拥挤等有关。不良饮食习惯如喜欢吃含糖量较高的食物和饮料、黏性食物等;口腔卫生习惯较差是主要因素;而替牙期牙列拥挤与年轻恒牙龋的发生有高度相关性。
年轻恒牙龋一般可进行充填治疗,对于早期的年轻恒磨牙,提倡采用微创的预防性树脂充填术、改良的预防性树脂充填术;深龋必要时考虑二次去腐修复。日常注意饮食,重视口腔卫生,考虑局部使用氟化物防龋,如含氟牙膏、含氟漱口水等,进行预防。对于年轻恒磨牙,可早期进行窝沟封闭,定期进行口腔检查。

参考文献

[1]林久祥,赵铱民主编.中华医学百科全书 ;临床医学 ;口腔医学3[M].北京.中国协和医科大学出版社.2019.117-118.

[2]文玲英,吴礼安主编.实用儿童口腔医学[M].北京.人民军医出版社.2016.113-114.

相关科普