口腔溃疡症状图片

本文由有来医生原创,经专业医师审核校对
所有图片质量和准确性经专业医生严格审查

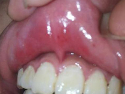
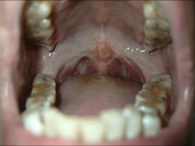
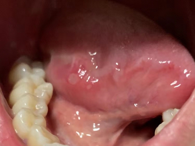
口腔溃疡又称复发性口疮,是慢性的口腔黏膜小溃疡,深浅不等,为圆形或椭圆形损害,可反复和周期性复发。多发生于口腔非角化区,如唇黏膜、舌头等处,预后较好,可自行痊愈。

口腔溃疡症状图片

口腔溃疡相关知识

口腔溃疡为圆形或椭圆形,直径0.2-0.5cm,溃疡单个或由数个连成一片,溃疡表浅边缘整齐,外观呈灰黄色或灰白色,上覆盖黄白渗出膜,周围黏膜充血、水肿而有红晕。
皮损局部有烧灼样疼痛,于进餐时加重,影响进食、说话。严重溃疡直径可达1-3cm,深及黏膜下层甚至肌肉。
口腔溃疡的病因及发病机制可能与局部的炎症、免疫、感染、系统性疾病及机械、物理、化学刺激因素有关。
口腔溃疡的早期黏膜上皮细胞水肿,随后炎症细胞大量浸润,上皮溶解破溃脱落,形成溃疡。
口腔溃疡的治疗包括局部治疗和全身治疗。局部治疗可应用依沙吖啶、氯己定等含漱剂,或是用激光、可见光、微波治疗仪照射溃疡处;全身治疗可应用维生素B1、维生素B2等维生素类药物。

参考文献

[1]姜玉珍,朱孝民,王秀丽主编.临床症状鉴别手册[M].北京:中国医药科技出版社,2018.07.423.

[2]张石革主编.药店药师常见病用药指导手册[M].中国医药科学技术出版社,2020.07.455.

[3]王永亮编著.中医特色疗法临床应用新九针、针刀、艾灸、埋线[M].北京:中国医药科技出版社,2018.07.190.

[4]国家执业药师资格考试研究组.2018国家执业药师考试30天冲刺跑药学综合知识与技能全图表版第3版[M].北京:中国医药科技出版社,2018.01.62.

[5]张万金主编.2019国家执业药师考试教材精讲药学综合知识与技能第2版[M]. ;北京:中国医药科技出版社,2019.01.92.

相关科普