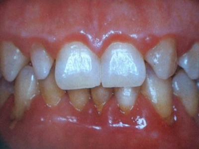
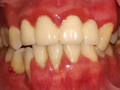
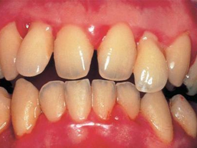
慢性龈炎症状图片

本文由有来医生原创,经专业医师审核校对
所有图片质量和准确性经专业医生严格审查

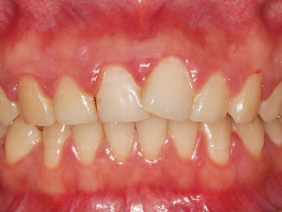
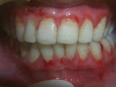
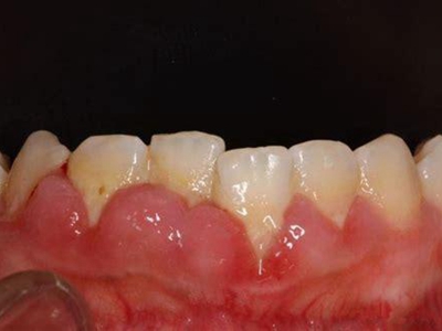
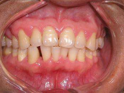
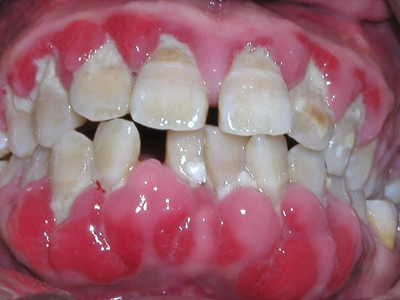
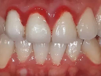
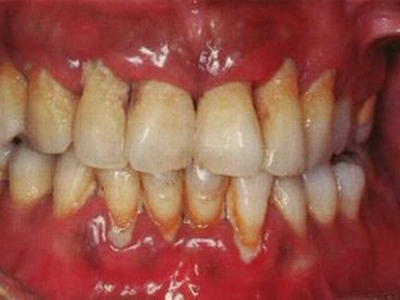
慢性龈炎又称边缘性龈炎或单纯性龈炎,主要表现为游离龈和龈乳头因炎性水肿,而变为鲜红或暗红色,龈缘变厚,龈乳头圆钝肥大。慢性龈炎的患病率高,治愈后仍可复发,部分患者可发展成为牙周炎。

慢性龈炎症状图片

慢性龈炎相关知识

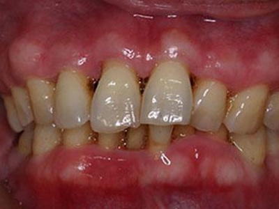
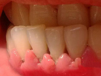
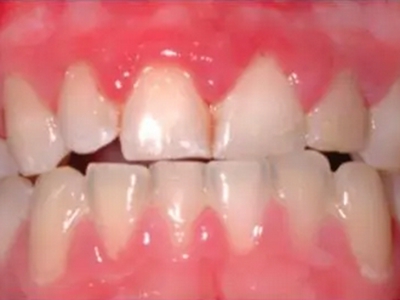
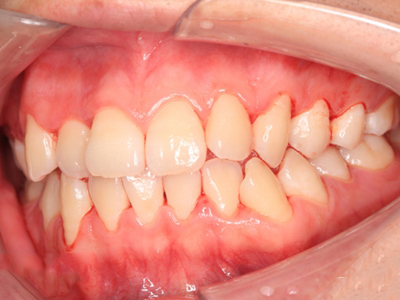
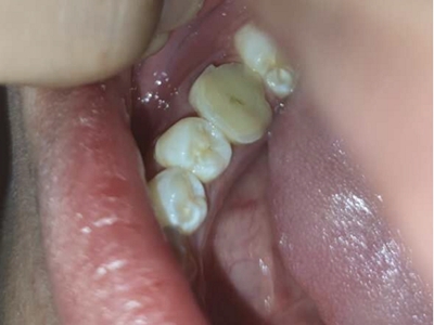
慢性龈炎的病损部位一般局限于游离龈和龈乳头,以前牙区为主,尤其以下前牙区最为显著,患者常因刷牙或咬硬物时牙龈出血而就诊。游离龈和龈乳头颜色变为鲜红或暗红色,病变较重时炎性充血可波及附着龈。龈缘变厚,龈乳头圆钝肥大,可增生呈球状,覆盖牙面。牙龈松软脆弱,缺乏弹性。
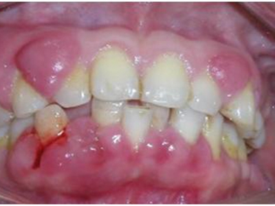
当牙龈以增生性反应为主时,龈缘和龈乳头呈坚韧的实质性肥大,质地较硬而有弹性。龈沟液量增多,还可能出现龈沟溢脓现象。
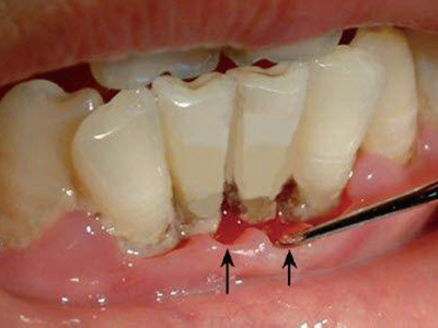
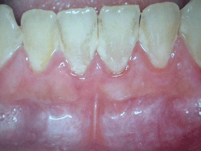
龈缘附近牙面上堆积的牙菌斑是引起慢性龈炎的始动因子,其他如牙石、食物嵌塞、不良修复体等均可促使牙菌斑积聚,引发或加重牙龈炎症。
对于慢性龈炎,需要通过洁治术彻底清除菌斑和牙石,彻底纠正不良修复体等刺激因素。炎症较重者可配合局部药物治疗,包括过氧化氢溶液、氯己定等。牙龈增生明显,炎症消退后牙龈形态仍不能恢复正常者,可行牙龈成形术。注意定期复查和维护,防止复发。

参考文献

[1]张志愿.口腔科学.第9版[M].北京.人民卫生出版社.2018.63-64.

[2]孟焕新.牙周病学.第5版[M].北京.人民卫生出版社.2020.131-134.

相关科普