汗孔角化症症状图片

本文由有来医生原创,经专业医师审核校对
所有图片质量和准确性经专业医生严格审查

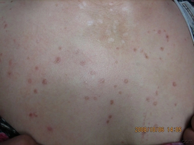
汗孔角化症是一种常染色体显性遗传的慢性进行性角化不全性皮肤病。皮损特点是边缘清楚并常隆起或颜色较深,而中央部分略萎缩,好发于胸部、面部、腿部等处。汗孔角化症多半发生于男性,常在幼年时期出现,以后逐渐扩大而不消失,患者没有自觉症状。

汗孔角化症症状图片

汗孔角化症相关知识

汗孔角化症的好发于四肢、面部、躯干等处,男性多见,多幼年发病,病程慢性,部分可发生恶变。
皮损初为小的角化性丘疹,慢慢向周围扩大,形成环形或不规则形的、境界清楚的斑片,边缘是有沟槽的角质性堤状隆起,中央皮肤干燥且有轻度萎缩,有时边缘像一圈黑线。
本病在不同部位表现会有一定差异,发于面部者,边缘为一圈黑线;皮肤娇嫩处者,角化萎缩轻微;踝部者像疣状痣;受摩擦部位皮肤增厚者,堤状角质性损害明显。
汗孔角化症是一种常染色体显性遗传性疾病,在一家中常有几个患者,往往连续发生好几代。但部分散发的病例并无明显的家族史,因此发病可能也与环境因素、免疫因素等有关。
汗孔角化症可外用维A酸乳膏、过氧苯甲酰凝胶等药物,对单个皮损有效,同时可服用阿维A胶囊、异维A酸软胶囊治疗。对较小的损害可施行电干燥法、冷冻疗法及切除术。

参考文献

[1]朴永君.皮肤性病学.高级医师进阶.第1版[M].北京.中国协和医科大学出版社.2016.343-344.

[2]方洪元,邢卫斌,张秉新,徐海环.实用皮肤性病手册.第1版[M].北京.人民卫生出版社.2016.571-573.

[3]张建中,高兴华.皮肤性病学.第1版[M].北京.人民卫生出版社.2015.325.

相关疾病

相关科普