首页
我的
小儿口疮症状图片
本文由有来医生原创,经专业医师审核校对
所有图片质量和准确性经专业医生严格审查
王博
副主任医师 | 审核医师
山东大学齐鲁医院
|
中医科
小儿口疮是指以口腔内黏膜、舌、唇、齿龈、上腭等处发生溃疡为特征的一种小儿常见的口腔疾病。口疮发生于口唇两侧者,又称燕口疮;满口糜烂,色红作痛者,又称口糜,任何年龄均可发生,以2-4岁的小儿多见。小儿口疮一般预后良好,若失治、误治、体质虚弱,可导致重症或反复发作,迁延难愈。
小儿口疮症状图片
舌头
溃疡
小儿口疮舌面上白色的溃疡连成片图
小儿口疮也会发生在患儿舌面,表现为大小不一的水疱,水疱逐渐变浑,成为白色的溃疡面,部分融合连成片状,导致舌头表面凹凸不平,伴有明显的烧灼感。
舌尖
溃疡
小儿口疮舌尖烂了两小块图
小儿口疮舌尖有两小片溃疡,表面发红充血或有一层白膜,当牙齿触及到溃疡表面时,患儿会出现剧烈疼痛,从而出现哭闹、不爱进食的情况。
舌头
溃疡 · 红斑
小儿口疮舌头一片红斑中间发白图
小儿口疮表现为舌头上出现红色斑片,形态不规则,随后红斑中间变为白色,是坏死的白色假膜,疼痛感非常明显,若不及时治疗,溃疡面积会逐渐扩大,从而影响进食。
舌头
溃疡 · 白斑
小儿口疮舌头上有几个圆形白斑图
小儿口疮舌头会出现圆点状的白色斑块,是坏死黏膜导致的白色假膜,像一个个的小烂坑,边缘明显红肿充血,进食热食以及辛辣食物时有剧烈的疼痛感。
牙龈
溃疡
小儿口疮下牙龈上有一个白色的溃疡图
小儿口疮患者下牙龈处黏膜会出现白色的溃疡,表现为口腔黏膜有白色小片状物,可深及黏膜下层,边缘整齐清晰,周边红肿隆起,常伴有下颌淋巴结肿大。
唇内侧
溃疡
小儿口疮下嘴唇里面有三个白色溃疡点图
小儿口疮患儿下嘴唇内侧会出现数个白色溃疡面,为不规则形状,直径较小,但有融合趋势,周围黏膜发红,提示炎症反应较重,需及时治疗。
口腔
溃疡
小儿口疮嗓子里面多个发白的溃疡点图
小儿口疮的皮损可多发,患儿口腔里面有多个溃疡,为米粒大小,初起为白色凝乳状斑点或斑片,强行去除后局部黏膜潮红、粗糙,并可溢血,白膜又重新生成。
口腔
溃疡
小儿口疮上腭有白色的溃疡图
小儿口疮也可发生在小婴儿的上腭,表现为白色的溃疡面,呈不规则形状,表面有灰白色坏死组织,患儿因为疼痛较重,所以常常哭闹,不爱吃奶。
唇内侧
溃疡
小儿口疮嘴巴里面烂了两个白色的溃疡小坑图
小儿口疮可发生在嘴唇内侧口腔黏膜,表现为局部形成奶白色的溃疡,形状规则,大致呈圆形,绿豆至黄豆大小,伴有明显疼痛,可影响患儿进食。
唇内侧
溃疡
小儿口疮上唇多个白色小溃疡图
小儿口疮上唇内侧出现多个白色溃疡点,呈单个散在分布,为芝麻至绿豆大小。溃疡周围围绕有红晕,上嘴唇出现轻微红肿,若患儿体质较虚弱,可导致溃疡加重或反复发作。
唇内侧
白斑
小儿口疮上唇破损有白色的斑块图
小儿口疮上唇内侧出现破损,表面有不规则白斑,边缘不清,将白斑擦拭后可露出内部红色黏膜,可在医生指导下局部应用开喉剑喷雾剂、冰硼散等药物进行治疗。
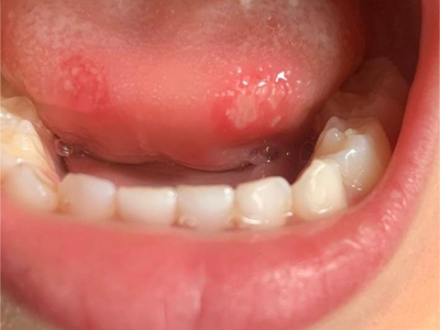
舌尖
溃疡 · 白点
小儿口疮舌尖上有多个白点溃疡图
小儿口疮舌尖上可出现多个白点,呈白色疱疹样溃疡,中间较隆起,边缘有红晕分布,数目较多,在进食或者舌尖碰触牙齿时疼痛非常明显。
唇内侧
溃疡 · 白斑
小儿口疮下嘴唇两个白色的斑点图
小儿口疮下嘴唇内侧有两个类圆形的白色溃疡,边缘有一圈红晕,与周围正常黏膜对比非常明显。随着病情发展,溃疡面积会不断扩大并互相融合。
唇内侧
溃疡
小儿口疮下唇有多个不规则的溃疡图
小儿口疮患儿下唇内侧有多个溃疡,中间为凹陷状,表面附有一层白色假膜,形状不规则,大小不一,周围边缘发红,溃疡面被触碰时有强烈疼痛感。
嘴唇
黄痂
小儿口疮嘴唇破损有黄色的结痂图
小儿口疮偶见于唇部,表现为唇疱疹,疱疹逐渐破溃可出现黄色的渗出物,干燥后会形成黄痂,且嘴唇会出现红肿,伴有明显的烧灼感。
口腔
溃疡
小儿口疮嘴里面有两块溃疡图
小儿口疮患者嘴里面会出现红斑,红斑中间逐渐出现白色的溃疡面,周围红肿充血,可能和病毒感染、进食硬物、进食过烫等因素有关。
口腔
溃疡
小儿口疮上腭多个白色的溃疡小点图
小儿口疮部分是疱疹导致的,表现为患儿上腭出现多个白色的疱疹,疱疹破溃后形成溃疡,表现为白色乳凝状的小点或者小斑片,周围有一圈明显的红晕。
牙龈
溃疡
小儿口疮下牙龈白色溃烂图
小儿口疮可在下牙龈黏膜上形成溃疡,溃疡可大可小,皮损中央溃烂,局部凹凸不平,周围牙龈黏膜可出现明显红肿,伴不自觉分泌口水。
舌尖
溃疡
小儿口疮舌尖烂了一个肿胀的圆形泛白小坑图
小儿口疮表现为舌尖部位形成疼痛明显的溃疡点,形状不规则,呈粉红至暗红色,中间颜色较周围颜色深,边界清楚,周围黏膜潮红、肿胀,可由喂养不当导致。
口腔
溃疡
小儿口疮咽喉黏膜有零散的白点状溃疡图
小儿口疮表现为靠近咽喉处的黏膜上出现零散的白色小溃疡,主要表现为奶白色的斑点,周围红肿,伴有发热、咽喉肿痛等症状,需要遵医嘱应用药物治疗。
唇内侧
溃疡 · 小坑
小儿口疮下唇靠近牙龈处黏膜烂了两个小坑图
小儿口疮表现为下唇靠近牙龈处黏膜有白色的溃疡,为粟粒至绿豆大小,为凹陷样小坑,边缘较清晰,周围黏膜红肿,常反复出现,迁延不愈。
唇内侧
溃疡
小儿口疮上嘴唇里边有个椭圆形的白色溃疡图
小儿口疮上唇内侧有一个椭圆形的白色溃疡,中间形成凹陷,周围红肿凸出,患儿容易出现疼痛、流涎、哭闹等表现,进食会受到明显的影响。
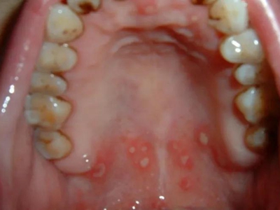
口腔
红点 · 充血
小儿口疮上腭充血还有红色小点图
小儿口疮发生于上腭,表现为局部红肿充血,出现散在水疱,周围发红,用舌头触碰该区域时会有明显的疼痛感,随着疾病的进展,会逐渐出现白色的点状溃疡。
口腔
溃疡 · 小坑
小儿口疮上腭烂了几个白色的小坑图
小儿口疮上腭会形成数个白色溃疡面,像一片片的小白斑,边缘清晰,溃疡面周边黏膜红肿隆起,有明显的烧灼痛,会对进食造成明显影响。
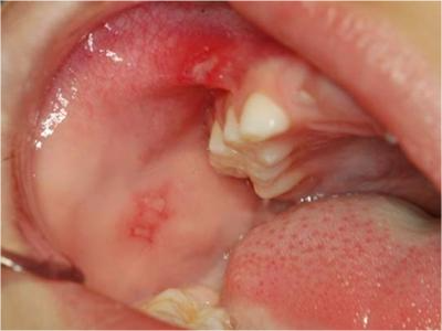
唇内侧
溃疡
小儿口疮上嘴唇里边有一个红色的溃疡图
小儿口疮表现为上嘴唇内侧有一个红色的溃疡,溃疡表面有针尖大小的出血点,周围一圈黏膜红肿、充血、隆起,属于比较大的溃疡,常伴随有严重的疼痛。
嘴唇
糜烂 · 溃疡
小儿口疮下嘴唇里边发白烂了图
小儿口疮下嘴唇出现溃疡,如花生粒大小,溃疡表面颜色发白、糜烂,微微隆起,边缘不清楚,隐约有出血点,对于此种巨大溃疡,建议及时就医诊治,以免发生恶变。
唇内侧
大坑
小儿口疮下嘴唇烂了一个灰白色深坑图
小儿口疮表现为唇黏膜出现溃疡,看起来就像烂了一个形状不规则的深坑,凹陷处为灰白色假膜,周围黏膜肿胀、充血、隆起,触及时可有强烈疼痛感。
舌头
溃疡 · 大坑
小儿口疮舌头下烂了一个白色的大坑图
小儿口疮舌头下面出现一大块溃疡破损,表面有一层白色附着物,中间呈凹坑状,周围皮肤出现红肿,这种深大的溃疡要引起家长的重视,及时带孩子到口腔科就诊。
小儿口疮相关知识
小儿口疮主要表现为两颊、上腭、口唇、口角、牙龈、舌体等黏膜处出现明显的溃疡点,大小不等,甚则满口糜烂,疼痛流涎,可伴发热或颌下出现肿块、疼痛。
小儿口疮的病因既有外因,也有内因,内因主要是婴幼儿血少气弱,黏膜柔嫩,不耐邪热熏灼或久病体虚而易于患本病;外因则是由于平素调护失宜、喂养不当或感受外邪等。
小儿口疮的治疗以清热降火为基本法则,如起病急,伴发热、咽喉肿痛,舌质红,苔薄黄,常用银翘散加减。如果面赤唇红,大便秘结,常用凉膈散加减。如果舌质红赤,舌体溃疡多,疼痛较剧,心烦啼哭,小便短赤,常用泻心导赤散加减。如口舌溃疡散发,色淡,反复出现或迁延不愈,常用知柏地黄丸加肉桂。
另外也可遵医嘱应用小儿豉翘清热颗粒、黄栀花口服液等中成药进行治疗。局部应用开喉剑喷雾剂、冰硼散等进行治疗,推拿疗法对该病也有一定疗效。
参考文献
[1]姜之炎,赵霞.中医儿科学.第2版[M].上海.上海科学技术出版社.2020.84-87.
[2]张迎春,张花.中医妇儿诊疗常规[M].武汉.华中科学技术大学出版社.2021.111-113.
相关科普
冠状动脉异常起源主动脉是怎么回事
郑峰
南方医科大学深圳医院
冠状动脉搭桥术费用多少
郑峰
南方医科大学深圳医院
玫瑰痤疮的症状
郭亚南
山东省立医院
拆牙套疼吗
周伟华
首都医科大学附属北京世纪坛医院
急性期腰痛的自我缓解方法
阮祥才
中山大学附属第六医院
呼吸时胸口疼痛是什么原因
阮祥才
中山大学附属第六医院
什么是儿童睡眠呼吸障碍
钟建文
南方医科大学深圳医院
心动过缓的原因
王仲华
郴州市第一人民医院
窦性心动过缓能喝酒吗
王仲华
郴州市第一人民医院
主动脉夹层严重吗
王仲华
郴州市第一人民医院