扁平疣症状图片

本文由有来医生原创,经专业医师审核校对
所有图片质量和准确性经专业医生严格审查

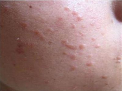
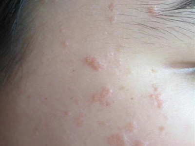
扁平疣又称青年扁平疣,主要侵犯青少年,由人乳头瘤病毒感染所致,好发于面部、手背、前臂等处。皮损为扁平丘疹,多为肤色或淡褐色,表面光滑,圆形或类圆形,搔抓后可出现自体接种的情况,称Koebner现象。

扁平疣症状图片

扁平疣相关知识

扁平疣是一种发生于皮肤浅表的良性赘生物,大多骤然出现,皮损为米粒至黄豆大小的圆形或类圆形的扁平隆起性丘疹,通常为肤色或淡褐色。搔抓皮损,易导致自体接种,产生串珠样皮损症状,称Koebner现象。一般无自觉症状,偶尔会出现轻度的瘙痒。病程为慢性,可突然自行消失,少数患者可复发。
扁平疣是由人乳头瘤病毒(HPV)感染所致,常见的病毒类型为HPV-3。当病毒通过外伤或皮肤破损处进入表皮后,可在基底细胞内复制、增殖,导致上皮细胞异常分化和增生,进而引起皮损症状。
对于扁平疣,可遵医嘱采取药物治疗,常用药物包括维A酸乳膏、咪喹莫特乳膏、氟尿嘧啶软膏等,同时还可采取物理治疗方式去除皮损,如冷冻、电灼、激光等。此外,虽然没有有效的抗HPV药物,但系统应用一些免疫调节剂可帮助恢复,如胸腺肽、干扰素、左旋咪唑等。

参考文献

[1]张学军,郑捷.皮肤性病学.第9版[M].北京.人民卫生出版社.2018.70-72.

[2]王宇明,李梦东.实用传染病学.第4版[M].北京.人民卫生出版社.2017.514-517.

[3]张建中,高兴华.皮肤性病学.第1版[M].北京.人民卫生出版社.2015.72-74.

相关疾病

相关科普