首页
我的
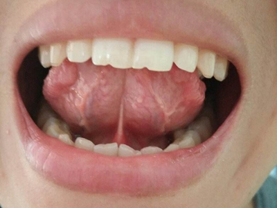
舌癌症状图片
本文由有来医生原创,经专业医师审核校对
所有图片质量和准确性经专业医生严格审查
王卫之
主任医师 | 审核医师
山东大学齐鲁医院
|
口腔修复科
舌癌是最为常见的口腔癌,多见于舌中侧缘部,临床表现为糜烂、溃疡、肿块等。病因多与口腔卫生不良、局部创伤等因素相关。本病好发于40-60岁,男性多于女性,但近年来有年轻化和女性增多的趋势。
舌癌症状图片
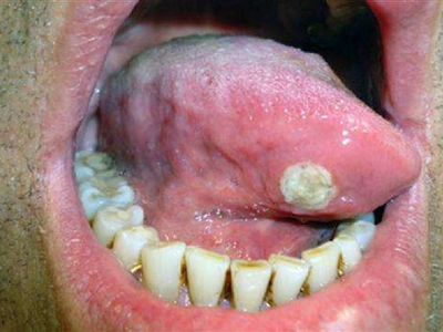
舌侧
肿块
舌癌舌侧有一个白色肿块图
舌癌患者的舌头可出现半球状白色肿块,表面凹凸不平,但与周围组织的分界较明显,患者张口可见,该肿块会影响患者正常的饮食及咀嚼,同时舌体运动也受到一定程度的限制。
舌侧
肿块 · 白斑
舌癌舌侧肿块附着白色斑块图
舌癌会出现类似菜花样的白色凸起肿块,凸起肿块能侵及舌侧部位,且表面及周围黏膜覆盖有白斑,患者自觉口腔内有明显的异物感,舌头活动不灵活。
舌侧
肿块
舌癌舌侧长了一个片状肿块图
舌癌舌头表面有片状肿块,肿块能遮挡舌体的一半面积,且表面覆盖有白色膜状物质。当患者进食时会感到舌头活动不灵活、并伴随咀嚼不适以及强烈的异物感。
舌侧
圆疙瘩
舌癌舌侧突起一个小圆疙瘩图
舌癌患者舌侧有黄豆样大小的白色肿物,肿块近卵圆形,类似于小圆疙瘩,周围伴有连续的颗粒状红色凸起,且有疼痛以及咀嚼不适感,若未及时进行治疗,肿块则会继续增大。
舌侧
肿块
舌癌舌侧长一个大肿块图
舌癌舌头侧面有不规则形状的肿块,肿块开始时较小,并随着疾病进展逐渐增大,当肿块增大至舌体一半以上时,患者会出现语言、咀嚼或吞咽困难。
舌侧
裂口 · 溃疡
舌癌舌侧溃疡处裂口流血图
舌癌舌头侧面有椭圆形白斑,面积较大的白斑会从中央部位出现破裂溃疡,溃疡处有血并伴有疼痛,疼痛会刺激唾液腺分泌过多唾液,使唾液外溢。
口腔
肿块
舌癌舌下长了两块淡粉色的肿块图
舌癌患者舌下的舌系带位置长了两块淡粉色的小肿块,黄豆般大小,质地较软,表面不光滑,触摸后易出血。伴有轻微的异物感,随后出现糜烂、破溃。
舌头
变形
舌癌舌头底部变形有白膜增厚图
舌癌患者舌头底部变形有白色膜状物,面积较大,形状不规则,略微高于皮肤表面,质地较软,有轻微不适感。随病情发展会逐渐增厚,一般不会自行脱落。
舌侧
溃疡
舌癌舌头侧面溃疡发黑图
舌癌患者舌头侧面靠舌根处有一块溃疡,溃疡中央凹陷,久不能愈合,周围红肿,有血丝,表面有黑色坏死。患者自觉舌头疼痛剧烈,难以进食。
舌头
溃疡
舌癌舌头一侧有一片溃疡且发红图
舌癌患者舌头底部有一块溃疡,周围皮肤发红、肿胀,中央皮肤缺损,形成卵圆形溃疡面,表面较光滑,略微发白,患者往往感到持续性疼痛。
舌头
溃疡
舌癌舌头一侧表面溃烂舌苔缺失图
舌癌患者舌头一侧发生溃疡,舌苔有形状不规则的缺损,与周围组织边界清晰,基底潮红,患者感到疼痛不适,后期往往会出现菜花状溃疡或较大肿块。
舌头
溃疡
舌癌舌头上有多个溃疡图
舌癌患者舌尖有几个明显的溃疡,边缘有红晕,颜色较明显,溃疡面为圆形或类圆形,呈黄白色凹陷,部分相邻皮损相互融合,形成较大溃疡面。
舌头
水疱
舌癌舌头溃疡有小水疱图
舌癌患者舌头侧面有很多小水疱呈线状排列,疱壁紧张发亮,部分相互融合形成较大水疱,舌尖部位水疱破溃后表皮破损,基底潮红,疼痛明显。
舌头
肿块
舌癌舌头上有一个圆形肿物图
舌癌患者舌尖部位皮损初期为一个较小结节,质地较软,后逐渐增大,发展为黄豆大小的肿物,表面光滑,与周围皮肤界限清晰,对咀嚼功能有一定影响。
舌头
斑
舌癌舌头表面出现一块褐色色斑并向内凹陷图
舌癌患者舌头表面有一块褐色斑块,与皮肤表面高度一致,形状不规则,随病情发展逐渐增大,表面粗糙,后期往往向深处浸润,形成溃疡。
舌头
溃疡
舌癌舌系带旁有白色溃疡图
舌癌患者舌头下方舌系带一侧有一块较小的溃疡,边缘发红,中央为黄白色,向下凹陷,有少量脓液,在言语、吞咽、咀嚼时均可引起疼痛。
舌头
溃疡
舌癌舌尖上溃烂图
舌癌患者舌尖局部破溃后向下浸润,形成一个较小的类圆形黄白色溃疡,溃疡面向内部组织凹陷,伴有疼痛感。通常会逐渐增大,难以愈合。
舌头
变形
舌癌舌头表面发黄边缘变形图
舌癌患者舌头表面有大量黄白色膜状物,形状不规则,颜色不均匀,表面光滑,略微高于皮肤表面,舌头边缘发生变形,患者往往感到舌头僵硬。
舌侧
白斑
舌癌舌头侧面长白斑图
舌癌病损处表现为舌侧缘黏膜组织增厚,上面覆有白斑和小硬结,且边缘不清。患者常自觉舌头肿胀、活动不灵活,语言、咀嚼和吞咽功能受限。
舌头
肿块
舌癌舌下出现肉芽增生状肿块图
舌癌患者舌头下方舌系带附近有一鲜红色肉芽增生,形状不规则,质地较软,向上凸起于皮肤表面。上方有一个白色肿物,患者有明显异物感。
舌头
溃疡
舌癌舌尖溃疡形成凹坑图
舌癌患者舌尖有一个圆形溃疡,边缘发红,周围组织有轻微肿胀,中央溃疡面向内部凹陷,略微低于皮肤表面,颜色呈灰白色,伴有明显疼痛感。
舌头
水疱
舌癌舌根处有一个疱疹图
舌癌患者舌根处黏膜表面有一个疱疹,形状为圆形,周围有红晕,向上突起,高于皮肤表面,疱疹表面光滑,紧张发亮,破溃后往往形成较大溃疡。
舌头
溃疡
舌癌舌头表面溃烂形成较大凹坑图
舌癌患者舌头一侧黏膜表面有一个较大溃疡,外观呈火山口状,形状不规则,中央为黄白色溃疡面,凹凸不平,边缘为白色膜状物,高于皮肤表面。
舌头
肿块
舌癌舌下有一个肉芽状凸起状肿块图
舌癌患者舌头下方舌系带处有一个红色肉芽状凸起状肿块,质地较软,表面光滑,后逐渐增大,与周围正常组织边界清楚,患者往往有明显异物感。
舌头
白斑
舌癌舌头下方有一个圆形白斑图
舌癌患者舌头前端有一个圆形白斑,表面不断增厚、堆积,后逐渐脱落或溃烂,形成火山口状溃疡面。患者会感到舌头有疼痛感和僵硬感。
舌头
溃疡
舌癌舌头一侧有圆形凹陷溃疡图
舌癌患者舌头根处有一个溃疡,边缘皮肤发白,向上隆起,溃疡外观为一圆形凹坑,溃疡基底潮红,不断向深处组织浸润,后期舌头溃烂面会加深。
舌头
肿块
舌癌舌头一侧有较大肿块表面发白图
舌癌患者舌头一侧有一巨大肿块,为类圆形并不断增大,其上有黄白色物质附着,黏膜表面光滑,与周围组织黏连,不易推动,患者往往言语不利。
舌侧
肿块 · 白斑
舌癌舌侧有肿块附着白斑图
舌癌患者舌侧会出现形状与舌体较为相似的肿块,边界清晰,其上附有不规则形白斑,舌根部会出现异常隆起,患者多自觉疼痛感及异物感。
舌头
缺损
舌癌舌头边缘糜烂缺损图
舌癌患者舌头边缘有一较大糜烂面,周围组织颜色加深、肿胀,中央血运较差,为黄白色质硬凹陷,边缘皮肤不平整。患者往往感到疼痛明显。
舌头
溃疡
舌癌舌头表面大面积溃疡图
舌癌患者舌头中后段皮肤表面覆盖有较厚的黄白色膜状物,会不断增厚、蔓延,不易脱落,表面高低不平,难以强行撕脱,周围组织颜色较红。
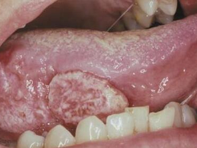
舌头
白斑
舌癌舌头溃烂形成白斑图
舌癌患者舌头一侧有一片类圆形黄白色斑块,与周围正常皮肤边界清晰,边缘皮肤发红,有轻度肿胀,患者往往感到舌头无法灵活转动。
舌头
结节
舌癌舌下有一个红色结节图
舌癌患者舌下有一圆形结节突起于皮肤表面,边界清晰,表面光滑,质地较软,患者有明显异物感,在咀嚼或言语过程中宜导致结节破溃。
舌头
溃疡
舌癌舌尖溃烂周围发红图
舌癌患者舌尖有一块黄白色溃疡,略微低于皮肤表面,形状不规则,边缘清晰,周围皮肤发红、肿胀,溃疡面逐渐增大、加深,疼痛感明显。
舌头
溃疡
舌癌舌头糜烂面有点状出血图
舌癌患者舌头底部有一圆形溃烂面,中央有多个红色出血点,边缘为白色,与周围正常组织界限清晰,伴有疼痛症状。舌头边缘变形,高低不平。
舌头
溃疡
舌癌舌头边缘出现多处凹坑状溃疡图
舌癌患者舌头边缘有多个溃疡面,大小不一,表面组织缺损,向内侧凹陷,中央为黄白色化脓物质,边缘发红,高于皮肤表面,呈火山口状。
舌头
结节
舌癌舌头下方出现红色结节图
舌癌患者舌头黏膜表面有一个红色结节向上凸起,呈卵圆形,表面光滑,质地较软,底部与周围组织黏连,轻微推动,会有明显的异物感。
舌头
肿块
舌癌舌根处有一红色肿物图
舌癌患者舌根处有一块红色肿物增生与黏膜表面,形状不规则,表面光滑,与周围组织黏连,难以推动,随病情发展逐渐增大,有明显不适感。
口腔
肿块
舌癌舌根处生长两个肿块图
舌癌会在患者舌头的根部长出肿块,有花生米大小,颜色略浅于周围的正常组织,会在口腔左右呈对称分布,患者会有口腔内的异物感。
舌头
红肿
舌癌舌尖一大块红肿图
舌癌患者在舌头的表面会出现局部发红的症状,红肿部位有指甲盖大小,在疾病初期一般没有明显的不适症状,但伴随疾病进展可能会有疼痛等不适。
舌头
肿块
舌癌舌根上长有一个圆形肿块图
舌癌患者会在舌头下面的黏膜上长肿块,肿块为球形突出于粘膜表面,颜色和正常组织之间没有明显的差别,患者会出现明显的异物感。
舌头
肿块
舌癌舌根处有一个囊肿图
舌癌患者的舌头根部会出现肿块,有花生粒大小,表面光滑,可以被轻微推动,同时触摸发现肿块的质地较韧,按压会有轻微的压迫感。
舌头
疙瘩
舌癌舌头下长了一个疙瘩图
肾癌患者会在舌头的背面长疙瘩,疙瘩有绿豆大小,颜色浅于周围正常的舌组织,略微发白。触碰可发现疙瘩的质地较软,没有明显的不适感。
口腔
肿块
舌癌舌底有一个白色肿块图
舌癌患者舌头下面长一个颜色较浅的肿块,整体呈梭形,周围有明显的红晕,随病情进展肿块会出现进一步的增大,应遵医嘱使用相应的手术治疗。
舌头
肿块
舌癌舌头上有一个疙瘩向外突出图
舌癌患者舌头边缘部位长红色的疙瘩,有绿豆大小,略突出于舌头表面。疾病初期一般不会有明显的不适感,但若不及时采取治疗,则会逐渐增大并出现疼痛等不适。
舌头
小疙瘩
舌癌舌根有多个小疙瘩凸起周围组织肿胀图
舌癌患者会在舌头根部靠近咽喉的地方长数个凸起的小疙瘩,为散在分布,整体呈半球形,表面颜色和正常舌头组织之间没有明显的差异。
口腔
肿块
舌癌舌下有不规则肿块图
舌癌患者在舌头下面会长不规则的肿块,肿块颜色为鲜红色表面光滑但不规则,随病情进展可能会出现进一步扩大,建议及时就医进行治疗。
舌尖
囊肿
舌癌舌尖有一圆形囊肿图
舌癌患者的舌尖部位,长有一个凸起的囊肿,整体为球形,有弹珠大小,触摸时会感觉质地较软,患者会有明显的口腔异物感,需及时进行手术切除治疗。
舌头
肿
舌癌舌头边缘肿大图
舌癌患者会有舌头边缘肿大的现象,肿大的组织表面光滑,整体形态不规则,为菜花状生长。建议患者及时就医治疗,避免病情进一步加重。
舌头
疙瘩
舌癌舌头上有一个白色疙瘩图
舌癌患者舌头边缘处长一个疙瘩,整体为半球形,表面颜色偏白色,触碰时没有明显的不适感,但易发生出血,必要时需采取手术切除治疗。
舌头
结节
舌癌舌头背面有一个白色结节图
舌癌患者舌头背面长小的结节,突出于舌表面略高于周围组织,触碰会感觉质地较韧,通常没有明显的不适感,但还是建议及时就医治疗。
口腔
包块
舌癌舌下有红色肉芽包块样增生图
舌癌患者会在舌头下面长异常的肉芽组织样包块,整体颜色偏红色,形状不规则,同时增生的肉芽组织表面有白色的斑块样物质,多与口腔卫生不良、嗜好烟酒等有关。
舌头
肿块
舌癌舌根有肿块且发红图
舌癌患者舌头下面的舌系带处有增大的肿块,整体颜色较深为紫红色,有鹌鹑蛋大小,触碰会发现肿块的质地较柔软,需采取半舌切除术、全舌体切除术等手术治疗。
舌头
疙瘩
舌癌舌头上有一个菜花状疙瘩图
舌癌患者会在舌头下面长疙瘩,表面颜色为淡粉色,形状不规则类似于菜花,一般没有明显的不适症状,但在进食或触碰后容易发生出血。
舌头
结节
舌癌舌头上有结节图
舌癌患者舌面下长结节,颜色偏粉,形状不太规则且表面较光滑,其下带有蒂,与周围组织的界限相对较清晰,会有明显的舌下异物感。
舌头
硬疙瘩
舌癌舌头上有一个硬疙瘩图
舌癌患者会在舌头表面出现突出的硬疙瘩,形状呈半球形有花生米大小,同时表面会附着有白色的不规则膜状物,触碰会发现疙瘩的质地较硬。
舌头
肿块
舌癌舌根处有肿块周围糜烂图
舌癌患者舌头下面有突出的红色肿块,整体有黄豆大小,表面略微发白,同时舌系带附近有红色的糜烂,其表面为不规则状,需及时进行手术切除治疗。
舌侧
白斑
舌癌舌侧面有一块白斑图
舌癌患者舌侧有黄豆粒大小的白斑,白斑上边有层白膜,周围有针尖至米粒大小的白色结节,患者常自觉舌头有疼痛,且在进食时尤其明显。
舌头
肿块
舌癌舌头上长菜花状大肿块图
舌癌患者舌面上出现巨大的肿块,表面凹凸不平并且有裂纹,形状类似菜花,同时表面附着有白色的膜状组织,以及暗红色的痂样物质。
舌头
裂纹
舌癌舌头表面有裂纹凹凸不平图
舌癌患者舌头整体发白,舌表面有分布不规则的裂纹,以及片状的黄白色分泌物,同时在舌的边缘长有大小不一的肿块样物质,会突出于舌头表面。
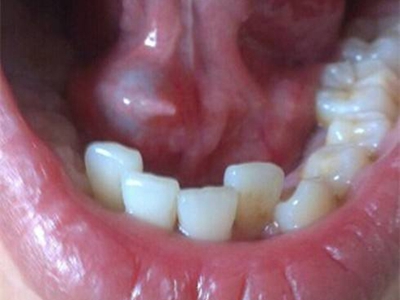
舌头
肿块
舌癌舌下有不规则肿块聚集图
舌癌患者舌面下长有不规则的肿块样物质,肿块周围有鲜红色的血液,同时与周围组织没有明显的色差,患者一般没有明显的疼痛等不适。
舌头
囊肿
舌癌舌下有一大囊肿图
舌癌患者舌下会有异常突出的囊肿,表面光滑但形状不规则,颜色也不均匀。随病情进展肿块会出现进一步的增大,需及时进行手术切除治疗。
舌头
水疱
舌癌舌下有一个白色水疱样物质图
舌癌患者在舌头下面会长水疱,表面长有白点,同时分布有密集的血管,疱内有澄清的液体,在受到异物刺激或较大的压力时可能会破裂。
舌头
肿块
舌癌舌头下方有一个圆形肿块图
舌癌患者舌下舌系带的左侧位置长一个黄豆大小的肿块,表面发白周围有红晕,还会有小的出血点,触碰时会发现疙瘩的质地较硬较韧。
舌头
肿块
舌癌舌根有一巨大肿块图
舌癌患者舌下的右侧位置出现突出的肿块,体积较大且形态不规则,表面长有蛛网状密密麻麻的血管,患者会有明显的口腔异物感,主要采取手术切除治疗。
舌头
肿块
舌癌舌头下有一不规则肿块图
舌癌患者舌面下会长一个不规则的肿块样物质,颜色为淡粉色表面较光滑,在疾病的初期通常没有明显的不适感,当仍需要及时采取治疗。
舌侧
溃疡
舌癌舌头侧边有个溃疡图
舌癌舌头的侧边缘位置有类圆形溃疡,溃疡表面凹陷,边缘能看到白色膜样物质。患者会自觉溃疡处有疼痛,且摄入刺激性食物时,疼痛加重不能自行缓解。
舌头
肿
舌癌舌头发紫异常肿大图
舌癌患者的舌头出现明显肿大,舌头表面凹凸不平,整体呈不规则状,同时舌面发紫有溃烂面以及轻微的出血,会严重影响患者的日常生活。
舌侧
白斑
舌癌舌侧有一块圆形白斑图
舌癌患者舌侧接近舌根部可出现五角硬币大小的类圆形白斑,边缘清晰,多独立存在,白斑上有厚薄不均匀的膜样物质,患者可出现流口水、疼痛加重等症状。
舌侧
裂口 · 糜烂
舌癌舌侧肿块糜烂有裂口图
舌癌患者舌侧根部有隆起的圆形肿块,随后肿块表面出现糜烂,此时张口能看到舌侧根部存在裂口,裂口边缘呈白色堤状隆起,并伴有疼痛。
舌侧
结节 · 糜烂
舌癌舌侧结节糜烂图
舌癌患者舌侧部会出现密集的滤泡样结节,边界较明显,颜色与舌黏膜相近,靠近舌根部可出现糜烂,糜烂周围的黏膜呈红色,会影响患者进食。
舌头
糜烂 · 斑
舌癌舌头发白像斑有糜烂图
舌癌患者舌头上有一块黄白色斑块,形状不规则,有明显疼痛感。随病情发展,斑块逐渐隆起,局部溃烂,往往形成较大溃疡面,病变不断加深。
舌头
化脓
舌癌舌头糜烂化脓图
舌癌患者舌头侧面有一凹坑,形状不规则,周围组织发红,有轻度肿胀,凹坑中央为黄白色化脓物质,不断向内部延伸,导致溃疡进一步加大加深。
舌头
糜烂
舌癌舌头表面糜烂缺损图
舌癌患者舌尖部位皮肤表面严重糜烂,表面凹凸不平,局部血运较差,组织坏死后脱落,导致舌头组织残缺不全,舌头表面覆盖有一层白膜。
舌头
糜烂
舌癌舌头表面多处溃烂发白图
舌癌患者舌头表面有大量白色乳凝块状薄膜,舌头表面凹凸不平,边缘有异常增生,为浅粉色半透明赘生物,患者感到舌头疼痛、活动困难。
舌侧
糜烂
舌癌舌侧糜烂图
舌癌常发生于舌侧,可出现形状不规则形的溃疡,溃疡面可见白色组织,中央存在一个小洞,周围为红色浸润样组织,造成局部糜烂的情况,同时患处常伴有剧烈疼痛。
舌头
糜烂
舌癌舌头一侧表面糜烂并覆有白膜图
舌癌患者会在舌头的侧面出现糜烂面,同时糜烂的舌黏膜表面附着有白色的膜状物。患者多会有局部的疼痛感,建议及时就医进行相应的治疗。
舌侧
糜烂 · 小坑
舌癌舌侧糜烂有个小坑图
舌癌患者舌侧可出现糜烂,糜烂面向内凹陷呈小坑状,表面覆盖白色膜样物质,邻近的舌体组织呈红色,偶有颗粒样或结节样物质隆起于黏膜表面。
舌头
糜烂
舌癌舌头一侧有大块糜烂边缘发白图
舌癌患者舌头一侧的舌面上出现糜烂面,四周为白色,中央为暗红色,在触碰或在进食有刺激性的食物时,会出现明显的疼痛感,需及时进行手术切除治疗。
舌头
糜烂
舌癌舌底糜烂发黑图
舌癌患者舌头下面出现舌黏膜发红、发黑、糜烂的症状,病变的形状并不规则,同时患者会有舌体肿大,以及进食说话的异常,建议及时就医治疗避免病情进一步加重。
舌侧
肿块 · 糜烂
舌癌舌侧肿块表面糜烂图
舌癌患者舌侧靠近舌根部会出现一个条形肿块,与舌体的连接部分会出现白色糜烂样状态,看起来像舌侧烂了一条沟,患者承受着持续的疼痛。
舌癌相关知识
舌癌主要表现为舌痛、舌糜烂、溃疡或肿块。早期仅为舌侧缘黏膜组织增厚、白斑或小硬结,逐渐可形成溃疡或肿瘤,并可超越中线侵犯口底。舌癌疼痛可反射至耳部。溃疡继发感染后可产生剧痛、流涎、口臭、舌运动障碍、咀嚼、语言、吞咽等功能障碍。部分舌癌患者淋巴转移后可伴有颈淋巴结肿大。
舌癌可能与口腔卫生不良、嗜好烟酒、习惯嚼槟椰等有关。也可能由局部创伤导致,如残根及锐利牙峰。癌前病损,如白斑、扁平苔癣等也与舌癌发病有关。
舌癌的主要治疗方法为手术治疗,如半舌切除术、全舌体切除术等。同时可在医生指导下进行放射治疗。对于局部晚期病例,可以化疗为主,常用化疗药物有顺铂注射液、氟尿嘧啶注射液等。
参考文献
[1]张可主编.现代临床肿瘤学诊治[M].北京.科学技术文献出版社.2019.10.
[2]王玮主编.现代实用口腔医学.云南科技出版社.2020.274.
相关科普
舌癌怎么引起的
欧阳玉秀
中山市人民医院
什么是舌癌
张凇铭
唐山市中医医院
舌癌是怎么引起的
董煜
江南大学附属医院
舌癌是怎么引起的
符晓
湖南中医药高等专科学校附属第一医院
什么是舌癌
李鹏程
海南医学院第一附属医院
什么是舌癌
张雷
北京大学口腔医院
舌癌如何分期
孙睿
山西白求恩医院
舌癌分期
秦铀
华中科技大学同济医学院附属协和医院
舌癌如何自检
代杰文
佛山市口腔医院
舌癌如何进行治疗
梅志丹
湖北省肿瘤医院