首页
我的
手足口病症状图片
本文由有来医生原创,经专业医师审核校对
所有图片质量和准确性经专业医生严格审查
谢旭华
副主任医师 | 审核医师
郑州大学第一附属医院
|
感染性疾病科
手足口病是一种急性传染病,由肠道病毒感染引起。一年四季均可发病,但夏、秋季节更为常见,通过呼吸道、消化道等途径进行传播,儿童发病率更高。该病临床表现复杂多样,以手部、脚部、口腔、臀部等部位出现散在水疱、丘疹或者疱疹为主要特点。
手足口病症状图片
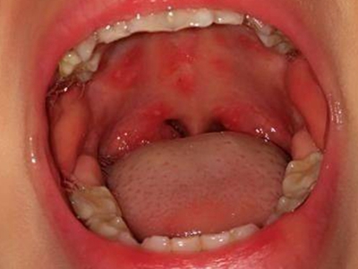
口腔
溃疡
口腔手足口病图片
手足口病累及口腔上颚部位时,局部出现圆形疱疹,疱壁较薄,很容易发生破溃形成溃疡,表现为圆形的乳白色糜烂面,周围绕有红晕,由于存在疼痛感,儿童患者可有食欲不振、哭闹拒食的行为。
口腔
水疱
手足口病严重水疱图片
手足口病严重时造成整个嘴唇内侧布满密密麻麻的小水疱,疱液混浊,疱壁较薄亮,独立存在,多为圆形或类圆形。水疱周围绕有红晕,整个嘴唇内侧红肿。部分水疱由于前牙的摩擦而发生破溃,形成小的溃疡。由于疼痛明显,患儿可有流口水、拒食、哭闹的情况。
舌头
小水疱 · 溃疡
手足口病舌头起米粒一样的小水疱图
患手足口病的儿童,舌头上出现直径为1-3mm的米粒大小水疱,数量较多,散在分布,一般不融合,水疱周围有红晕。随着进展,水疱可发生破溃,形成浅浅的小溃疡,溃疡面为白色,并伴有疼痛症状,患儿可因此出现拒食行为。
唇内侧
水疱
手足口病唇内侧起小水疱图
手足口病患者唇内侧出现小水疱,呈白色的小点样,周围伴有红晕,随着疾病进展,水疱可破溃,出现浅溃疡,主要由肠道病毒感染引起。
唇内侧
水疱
手足口病唇内侧长小水疱图
手足口病累及唇内侧时,表现为红色丘疹和水疱,基底呈红色,为针尖至绿豆大小,本病属于传播性疾病,应及时到医院就诊治疗。
唇内侧
小水疱
手足口病唇内侧起疱图
手足口病是一种急性传染病,表现为唇内侧出现白色的水疱,米粒至黄豆大小,边界清晰,其周围有较大的红晕,患者会伴有发热的症状。
口腔
小水疱 · 溃疡
手足口病嘴唇内侧长了白色的溃疡图
手足口病轻微时,皮损较少,于口腔内侧出现单个的水疱样损害,由于疾病的进展以及牙齿的摩擦,可导致水疱破溃,露出白色溃疡面,并伴有一定疼痛感,尤其是舔舐以及进食时,刺痛明显。
口周
小红疙瘩
手足口病口周起了很多小红疙瘩图
手足口病会在口周出现红色的小疙瘩,主要集中于下唇下方,大小不一,多为类圆形,边界欠清,可遵医嘱应用冰硼散等药物帮助恢复。
口周
水疱
手足口病口周长了很多红色水疱图
手足口病是由肠道病毒感染所致,表现为口周出现很多橙红色的水疱,米粒至黄豆大小,周围有红晕,患者多无灼痛、瘙痒等不适症状。
口周
小红疙瘩
手足口病口周长了几个小红疙瘩图
手足口病患者口周会出现几个小疙瘩,颜色为暗红色,大小不一,微隆起于皮肤表面,此时无新发的疙瘩或疱疹,多处于疾病的恢复期。
舌头
溃疡
手足口病舌头上水疱破了成溃疡图
手足口病累及口腔者,在舌头上出现水疱,水疱会逐渐增大、破裂,进而形成不规则形白色溃疡,其周围有红晕,伴有一定程度的红肿。
舌侧
溃疡
手足口病舌侧有一大块溃疡图
手足口病是肠道病毒引起的急性发热出疹性传染病,表现为舌侧面出现水疱,破裂后形成溃疡,溃疡面微微凹陷,颜色为白色,形状不规则。
口腔
红点 · 溃疡
手足口病嘴里长了好多小红点图
手足口病患者口腔内,尤其是上颚部位出现密集的红色丘疹损害,数量较多,个头不大,类似小红点,多散在分布,偶见融合现象,周围黏膜存在明显的充血红肿表现,部分皮损破溃后形成溃疡。
舌尖
水疱 · 溃疡
手足口病舌尖上起了水疱和溃疡图
手足口病患者舌面上会出现很多小水疱,米粒大小,水疱增大破裂会出现溃疡,溃疡面有一层灰白色的假膜,患者自觉舌面有粗糙感,但无明显的不适。
舌尖
小水疱 · 溃疡
手足口病舌尖有小水疱和溃疡图
手足口病典型症状之一为舌尖上有粟粒大小的水疱,颜色为白色,微隆起于黏膜表面,部分水疱破裂形成溃疡,其边缘有红晕,范围较小,可通过药物缓解症状。
舌头
水疱
手足口病舌上起很多水疱图
手足口病患者张口能在舌部发现数量较多的水疱,米粒至黄豆大小,分布较为密集,与正常的舌部黏膜有明显的界限,不及时治疗者,还会累及口角处。
口腔
溃疡
手足口病嘴里有白色溃疡图
手足口病侵犯口腔时,于软腭处发生水疱,并很快发生破裂,出现局部的溃疡,溃疡面呈白色糜烂状,较为表浅,可有婴儿小手指甲盖大小,溃疡周围绕有明显的红晕,由于存在疼痛感,儿童患者可出现哭闹的表现。
口腔
小红疙瘩 · 溃疡
手足口病嘴里长小红疙瘩图
手足口病表现为口腔内颊黏膜处发生散在小疱疹,疱疹周围存在炎性红晕,外观形似小红疙瘩,由于疱壁较薄,经过牙齿的刺激后,极易发生破溃,出现浅表的溃疡,溃疡面为乳白色。
嘴唇
小水疱
手足口病嘴唇上起簇集的小水疱图
手足口病患者上唇部出现较多小水疱,彼此之间能够相互融合,局部皮肤肿胀,唇部有明显的紧绷感,且发亮,水疱与周围正常皮肤边界较模糊。
口周
水疱 · 结痂
手足口病口周起水疱还结痂图
手足口病表现为口周出现绿豆大小的水疱,疱壁较厚,部分水疱破溃,疱液干涸出现黑色结痂,有些痂皮周围有白色脱屑,可伴有发热症状。
嘴唇
疙瘩
手足口病嘴唇上长了个红疙瘩图
手足口病的主要致病病毒为柯萨奇病毒、埃可病毒等,患者嘴唇上会出现一个边界不清的疙瘩,患处明显凸起,边缘超出唇红部,患者能感到唇部有异物感。
嘴唇
小水疱 · 溃疡
手足口病嘴唇上有一小片溃疡图
手足口病患者下唇处会出现较为密集的簇状小水疱,周围绕以红晕,部分破裂形成浅表溃疡,溃疡面为浅黄色,可能伴有一定程度的灼痛感。
舌头
小水疱 · 溃疡
手足口病舌头上有小水疱图
手足口病导致舌头上出现散在分布的小水疱,疱液略微发黄但并不多,因此水疱看起来与舌面几乎平行,水疱形状较为规则,为圆形或椭圆形,边缘呈炎性红晕。水疱破溃后可露出白色的底面,形成小的溃疡。
舌侧
大水疱
手足口病舌侧长了一个形状不规则的大水疱图
手足口病属于传染病,能在患者舌侧观察到一个类似于长方形的水疱,长约1厘米,宽0.5厘米,微微高于舌部黏膜,患者多无灼痛等不适症状。
臀部
小红疙瘩
手足口病屁股有一片小红疙瘩图
手足口病侵犯臀部时,表现为独立存在的小丘疹,呈圆形或椭圆形的凸起,看似小红疙瘩,可聚集成片出现,部分疙瘩顶部出现轻微结痂的表现,暗示着疾病正在恢复。此时避免搔抓,以免造成疙瘩破溃或结痂脱落。
臀部
疙瘩
手足口病屁股上有好多疙瘩图
手足口病患者出现红色丘疹样损害,类似小红疙瘩,随着疾病的进展,部分疙瘩顶端出现水疱,由于疱液混浊,因此看起来像脓包,水疱周围存在红晕。部分水疱可发生破溃,出现结痂表现。
臀部
小红疙瘩
手足口病屁股起小红疙瘩图
臀部出现手足口病感染,可见红色的小疙瘩,数量从数个到数十个不等,多聚集成一堆一堆的,疙瘩大小不一,为粟粒至黄豆大,质地较硬,患者无明显不适感。
臀部
疙瘩
手足口病臀部有很多大小不等的密集红疙瘩图
手足口病症状较严重者,在臀部出现很多红疙瘩,大小不等,相邻的疙瘩会连成片,患者需注意臀部的卫生,遵医嘱用药处理,避免病情进一步加重。
臀部
小红疙瘩
手足口病臀部有很多小红疙瘩图
手足口病发于臀部,表现为散在分布的小红疙瘩,绿豆大小,界限欠清,患者无明显的自觉症状,一旦确诊需立即隔离治疗,患者所用物品需煮沸消毒。
胳膊
红斑
手足口病胳膊上很多红斑图
手足口病患儿胳膊上出现数目较多的红色斑块,红斑上有丘疹或水疱,可相互融合,水疱干涸后疱壁贴于皮肤表面,继而颜色变深,愈合后一般不留有色素沉着。
胳膊
小红疙瘩 · 丘疹
手足口病胳膊上很多小红疙瘩图
手足口病患者胳膊上出现明显隆起的红色丘疹,像小红疙瘩一样,继而丘疹表面又有水疱形成,疱壁紧张,疱液清澈,自觉疼痛,由肠道病毒引起。
胳膊
结痂
手足口病胳膊结痂图
手足口病患儿胳膊上有很多点状的褐色结痂,是初期的小水疱吸收或者破溃导致,通常是干涸的疱皮,注意避免用手抓挠,以免继发感染。
胳膊
水疱
手足口病胳膊上起了密密麻麻的水疱图
手足口病典型的临床症状为疱疹,较为密集的分布于患者的胳膊上,约为黄豆大小,严重时可累及手部及下肢,治疗期间注意不要搔抓患处,避免出现破溃感染。
胳膊
斑
手足口病胳膊上有很多褐色小点图
手足口病恢复期间,患者曾出现过水疱的位置仅剩下绿豆大小的褐色斑点,边界清晰,其分布较为分散,会随着时间逐渐恢复,患者多无不适症状。
胳膊
小水疱
手足口病胳膊上起一大片密密麻麻的小水疱图
手足口病是由肠道病毒引起的常见急性发热出疹性传染病,表现为胳膊上出现针尖至绿豆大小的水疱,相邻较近的水疱并不相融,彼此之间仍有较清晰的分界。
腿
疙瘩
手足口病腿上长大片红疙瘩图
手足口病是由肠道病毒感染所致,表现为患者下肢有很多红色的丘疱疹,绿豆至黄豆大小,看起来像红疙瘩,微隆起于皮肤表面,与正常皮肤之间的界限清晰。
大腿
红点
手足口病大腿有很多红色小点点图
手足口病患者大腿根部会出现密集分布的小红疙瘩,小米粒大小,看起来像小红点,彼此之间相互融合,本病具有较强的传染性,应及时隔离治疗。
膝盖
小红疙瘩 · 脱皮
手足口病膝盖上有一簇小红疙瘩还脱皮图
手足口病的临床表现复杂多样,有的患者膝盖部位出现不规则形的小红疙瘩,大小不一,疙瘩的表面较粗糙,上方有领圈样脱皮和点状碎屑。
膝盖
红点
手足口病膝盖上长突起的红点点图
手足口病患者膝盖上出现米粒大小的红疙瘩,明显凸起于皮肤表面,抚摸有颗粒感,其颜色发红,看起来像小红点,散在分布于患者的整个膝盖。
腿
小疙瘩
手足口病腿上长小疙瘩图
手足口病发生在腿部表现为凸起于皮肤的小疙瘩,颜色为肤色,但略偏红,与周围皮肤的界限较清楚,发病者多为儿童,患者多无不适症状。
膝盖
小疙瘩
手足口病膝盖周围长了一些肉色的小疙瘩图
手足口病患者膝盖上出现米粒至绿豆大小的疙瘩,颜色为肤色,明显凸起于皮肤,膝盖处脂肪较多者能看到皮肤褶皱处有小疙瘩凸起。
小腿
疙瘩
手足口病小腿上有一片红疙瘩图
手足口病与肠道病毒感染有关,患者小腿部位会出现类圆形的小红疙瘩,黄豆至鹌鹑蛋大小,微微隆起于皮肤表面,其表面光滑,无破损或结痂。
小腿
红点
手足口病小腿上长了很多小红点图
手足口病好发人群为儿童,表现为腿部出现较多的米粒大小的红疙瘩,看起来像小红点,散在分布于患者小腿上,界限较清楚,患者不会感到局部不适。
小腿
小水疱
手足口病小腿上长很多小水疱图
手足口病典型的临床症状为黄豆大小的水疱,疱壁不透明,且表面光滑发亮,周围有一圈红晕,散在分布于患者小腿上,易出现破裂和继发感染。
手部
小红疙瘩
手足口病手上长很多小红疙瘩图
手足口病累及手部时,表现为红色的丘疹,触摸时可感觉疙瘩的存在,皮损的边界清楚,为圆形或类圆形,有的为鲜红色,有的颜色偏暗,大小不定,数量较多,一般没有瘙痒、疼痛等不适感。
手部
小水疱
手足口病手掌上起了很多小水疱图
手足口病表现为手掌出现散在的小水疱,直径为2-4mm,疱壁较薄,尤其是儿童患者,可透过疱壁观察到内含清亮的液体,疱液不多,触之无紧实感,同时水疱周围伴有炎性红晕。日常注意防止摩擦患处,以免导致水疱破溃而感染。
手指甲
脱皮
手足口病指甲上的皮脱落图
手足口病患者处于恢复期时,有甲分离的表现,即局部存在双层指甲,上层指甲较薄,可呈片状或卷曲状与下层指甲分离,并逐渐脱落,不伴有疼痛症状。此时不要用手将上层指甲撕掉,静待其自然脱落,以免造成破溃和流血。
手部
小红疙瘩
手足口病手指上有好几个小红疙瘩图
手足口病皮损变浅时,预示着患者处于恢复阶段,此时原本鲜红色小疙瘩变为粉红色,边界不再清晰。水疱破溃处可有暗红色的表皮覆盖,部分未破的水疱已被吸收,疱壁完整的保留在患处。
手部
红点
手足口病的初期症状图片
手足口病初期表现为手背出现零星的小红点,多为针尖至小米粒大,相互独立而不发生聚集,没有疼痛、瘙痒的表现,但部分患者可出现发热、食欲下降的情况。
手指
小红疙瘩
手足口病手指上起小红疙瘩图
手足口病处于出疹阶段,手部出现红色的丘疹,形似小红疙瘩,随着时间推移,红色丘疹可变为疱疹,中心出现白色的小疱,疱液较少,同时周围绕有红晕,不痛也不痒。
手部
丘疹
手足口病手掌有红色疹子图
成人患者发生手足口病后,于手掌部位出现红色的丘疹,边界不清,部分 丘疹顶端可有水疱,疱液较少,且有轻微混浊,因此导致皮损部位像是有个小白头。
手部
丘疹
手足口病手掌心有好多红疹图
手足口病造成的手掌心丘疹,为红色圆形或不规则形,部分相邻皮损的红晕融合成片,但触摸时,仍可感觉局部为独立的小疙瘩,随着疾病的进展,部分丘疹可发展为丘疱疹,出现小的半透明水疱。
手部
丘疹 · 水疱
手足口病手掌有小水疱图
手足口病感染手部时,局部有红色丘疹出现,丘疹边界不清楚,按压有坚实感。部分丘疹可进一步发展为小水疱,如小米粒大,呈半透明状,疱液较少,导致水疱突起不明显。
手部
水疱
手足口病手心有好几个水疱图
手足口病患者的丘疹损害很快发展为丘疱疹,表现为米粒大小的圆形水疱,疱壁较薄,疱液略带混浊且较少,水疱可有微微的瘪缩感,部分水疱破溃后可有结痂产生,病损周围存在红晕。此时需尽量减少患处的摩擦,尤其是手部,以免造成细菌感染。
手部
红点
手足口病手指上有一些红点图
手足口病初期表现为针尖至米粒大的红色点状丘疹,数量不多,可散发在手指处,触摸有硬硬的感觉。红点的边界并不清楚,可由红色-粉红色-肤色过度至健康部位。
手指甲
脱皮
手足口病手指甲上有脱皮图
手足口病恢复期出现指甲的分离,上层指甲犹如脱皮般残留在手部。脱离的指甲呈现暗黄色,质地较脆,边缘处可有破损造成参差不齐,应避免用手扣掉脱离的指甲,以免出血、感染。
手指甲
脱皮
手足口病手指甲上有半块皮图
手足口病患者指甲处出现脱离时,即指甲上层出现半游离状皮损时,表明疾病处于恢复阶段,此时手指甲处有类似死皮样的角质物残留,质地较脆、略有光泽,与下层指甲间可有泥垢残留,显得指甲断断续续、凹凸不平。
手指甲
脱皮
手足口病指甲上有小块皮图
手足口病累及手指甲时,已处于恢复期,此时指甲有分离表现,呈现双层指甲,残留的上层指甲类似于一小块皮附着在患处,由于成人指甲较脆,可有断裂感。待上层指甲完全脱离后,指甲表面凹凸不平,并有粗糙感。
手掌
丘疹
手足口病双手掌及手指有很多红色小点点图
手足口病病变在双手掌及手指部,表现为很多散在分布的红色的小皮疹,单独存在,与周围皮肤界限清楚,是疾病的早期病变,多数患儿一周左右自愈。
手部
小疙瘩
手足口病手腕手掌很多红色小疙瘩图
手足口病发生在患儿的右侧手腕及手掌根部,皮损表现为密集分布的红色皮疹,与皮肤平齐,形状不规则,分布比较均匀,部分皮疹互相融合成片。
手指甲
白斑
手足口病手指甲出现一条白斑图
手足口病亦可造成甲板病变,表现为右手拇指指甲根部一长条形的白斑,横向分布,宽约0.2cm,表面粗糙,不光滑,病变部位指甲变形,有轻微的凹陷。
手指甲
裂口
手足口病手指甲出现裂口图
患有手足口病的儿童,右手中指指甲变薄,指甲根有裂口,为一小块甲板脱落,脱落处指甲发黄、有裂纹,微微翘起,儿童常自觉疼痛而哭闹不止。
手指甲
缺损
手足口病手指甲发黄有缺损图
患有手足口病的儿童,左手大拇指的手指甲有明显症状,肉眼可见有一片指甲缺损,此处指甲发黄、变薄,脱甲周边颜色变白,有轻微鳞屑。
手部
小红疙瘩
手足口病手背上起了几个小疙瘩图
手足口病好发于手部,表现为绿豆至黄豆大小的红色疙瘩,微微隆起,其边界欠清,质地较柔软,散在分布于整个手背部,患者可能伴有发烧症状。
手背
小红疙瘩
手足口病手背上长了几个红疙瘩图
手足口病好发于儿童时期,表现为界限较清晰的红色疙瘩,直径1-2厘米,呈类圆形,疙瘩中间有个凸起的小点,颜色较浅,患者常无不适症状。
手部
水疱
手足口病手部起了一个水疱图
手足口病是一种传染性疾病,初期症状不太明显,会在食指部位出现一个边界较模糊的小水疱,患者可能伴有发热的情况,可通过药物缓解不适。
手部
小水疱
手足口病手部有一些疱疹图
手足口病的典型症状为米粒大小的疱疹,颜色偏白,边界有一圈红晕,与正常皮肤之间有清晰的分界线,散在分布于患者手部,具有一定的传染性,需注意隔离。
手指
小水疱
手足口病手指上长了几个水疱周围发红图
手足口病患者手指部位会出现几个椭圆形的小水疱,绿豆大小,疱壁为白色,微隆起,与正常皮肤之间有红色的界线,不影响患者手部的正常活动。
手背
小红疙瘩
手足口病手背上长了两个小红疙瘩图
手足口病具有潜伏期,患者会出现发热的症状,随后在手背上出现两个红疙瘩,绿豆或黄豆大小,微微发红,患者除发热引起的乏力等症状外,患处无其他不适感。
手腕
小红疙瘩
手足口病手腕上长小红疙瘩图
手足口病患者出现水疱前的皮损为小红疙瘩,散在分布于患者手腕处,边界不清晰,疙瘩表面光滑,部分疙瘩中央有点状凸起,随后可发展成水疱。
手指
小水疱
手足口病手指上长了一个小水疱图
手足口病具有较强的传染性,其临床症状为手指部位出现直径约5mm的圆形水疱,水疱的边界较清晰,颜色接近肤色,表面光亮,需尽快隔离治疗。
手指
小红疙瘩
手足口病手指上长了一个小红疙瘩不痛不痒图
手足口病表现为手指上出现小红疙瘩,米粒大小,周围的红晕范围较大,与正常皮肤的界限不清,抚摸有明显的凸起感,患者多无瘙痒、疼痛等不适症状。
手背
大水疱
手足口病手背上起了一个大水疱图
手足口病表现为手背上出现玻璃球大小的水疱,呈半球形,其周围的皮肤微微隆起,与正常皮肤之间的界限不清,疱壁紧绷,表面光滑且发亮。
脚底
小红疙瘩
手足口病脚底长了很多小红疙瘩图
手足口病表现为足部前掌处出现数量较多的红色丘疹、疱疹,形似小红疙瘩,但并不明显突出于皮肤表面,用手触摸可有坚实感。疱疹内液体较少,可有轻度混浊,周围有明显的红晕。建议减少走动和摩擦,以避免皮损处破溃。
脚底
小红疙瘩 · 丘疹
手足口病脚底长了好多小红疹子图
手足口病早期阶段,在脚底部位出现密集的红色丘疹,多为针尖大小,触摸时有明显的凸起感,而后逐渐发展至米粒大,形成小疙瘩,皮损周围存在淡淡的红晕,此时避免摩擦或烫洗局部,以免产生不适感。
脚底
水疱
手足口病脚底长很多水疱图
手足口病的皮损为红色的丘疹,而后形成疱疹,表现为脚底等部位出现白色的圆形或类圆形的水疱,疱液混浊并且较少,因此水疱体积不大,多呈2-4mm大小,水疱周围绕以红晕。
脚底
红点
小儿手足口病最早期图片
小儿手足口病最早期表现为病损部位出现针尖至粟粒大小的红点,可沿脚底边缘分布,可聚集成片,亦可独立散在,触摸时可感觉红点内有小的丘疹存在,无明显的不适症状。
脚趾
水疱
手足口病大脚趾上起水疱图
手足口病患者的大脚趾出现米粒至豆粒大小的水疱,呈椭圆形,比较规则,水疱中含有一点清亮液体,并且周围伴有红晕,按压可导致红晕消失。
脚底
水疱
手足口病严重水疱图
手足口病严重时,患者脚底出现大量水疱,直径2-4mm,内含有浑浊疱液,周围绕有红晕,散在或群集分布,患者手、口腔也可同时出现病损。
脚底
丘疹
手足口病脚底有几个红色的小包图
手足口病由肠道病毒感染引起,发生于儿童脚底,有几个红色的小包,周围有红晕,边缘不规则,与周围皮肤边界清晰,部分丘疹互相融合。
脚部
丘疹
手足口病脚上很多红色的小点点图
手足口病在患儿脚部形成密集分布的红色丘疹,约米粒大小,脚掌和脚背均有,微微高出皮肤表面,单独存在,病程继续发展,红色丘疹会逐渐融合。
脚底
红斑
手足口病脚底红斑图
儿童手足口病的病变部位在脚底,表现为散在分布的红色斑点,约有黄豆大小,性状不规则,与周围边界清晰,与皮肤表面齐平,无水疱。
脚部
丘疹
手足口病脚上有一个红色皮疹图
手足口病由病毒感染引起,患儿脚底内侧边缘出现一个红色的丘疹,约黄豆大小,中间颜色稍微发白,边缘有一圈红晕,微微高出于皮肤表面。
脚底
小红疙瘩
手足口病脚底起了很多红疙瘩图
手足口病表现为红色疙瘩样的丘疹,圆形或椭圆形,针尖至米粒大小,相邻皮损可相互融合,继而形成丘疱疹,周围有红晕,疱内液体较少。
脚部
水疱
手足口病脚上有很多小水疱图
手足口病好发于脚部,会出现明显隆起于皮面的水疱,水疱大小不一,周围绕以红晕,疱壁紧张,表面光滑,主要由肠道病毒感染引起,具有传染性。
脚背
小红疙瘩
手足口病脚背上有很多小红疙瘩图
手足口病好发于脚部,表现为脚背上出现很多绿豆大小的红色疙瘩,稍高于正常皮肤,周围有少量红晕,部分皮损因搔抓而出现点状结痂。
脚背
水疱
手足口病脚背上长了很多发白的水疱图
手足口病表现为患者脚背上出现黄豆大小的水疱,疱壁较厚,呈白色,周围有小范围红晕,可通过接触患病人群或携带病毒的动物而致病。
脚背
小红疙瘩
手足口病脚背上长了很多红疙瘩图
手足口病是一种传染性较强的疾病,表现为脚背部出现散在分布的小红疙瘩,多数为绿豆大小,边缘清晰,患者多无瘙痒、疼痛等不适症状。
脚部
小水疱
手足口病脚部长了很多米粒大小的水疱图
手足口病主要通过呼吸道、消化道传播,该病患者脚上会出现较多米粒至绿豆大小的水疱,边界清晰,疱壁发亮,患者可能会有一定程度的疼痛感。
脚部
小红疙瘩
手足口病脚上长了两个小红疙瘩图
手足口病的典型症状之一为脚上出现红色丘疹,小米粒大小,看起来像两个小红疙瘩,与正常皮肤之间有明显的界限,患者多无不适症状。
脚后跟
小水疱
手足口病脚后跟长了一个小水疱图
手足口病患者靠近脚后跟处出现一个直径约4mm的小水疱,边界清晰,疱壁略厚、光滑且发亮,随病情发展,水疱会出现增多、增大。
脚底
小红疙瘩
手足口病脚底长小红疙瘩图
手足口病好发于脚底,表现为大小不一的红色疙瘩,微隆起于皮肤表面,边界欠清,该病具有一定的传染性,患者家属应注意做好防护。
脚部
疙瘩
手足口病脚上有大片红疙瘩图
手足口病表现为患者脚上出现数量较多的红色疙瘩,约为黄豆大小,边缘较模糊,相邻之间的皮损会融合呈片,按压有一定的疼痛感,需遵医嘱对症治疗。
脚踝
结痂
手足口病脚腕上长水疱结痂图
手足口病发于脚腕部,初期为小水疱,随着疾病的发展,疱液被吸收后会出现暗红色结痂,多数为类圆形,少数呈不规则形,边界清楚。
脚后跟
小红疙瘩 · 水疱
手足口病脚后跟有小红疙瘩和水疱图
手足口病初期为米粒至绿豆大小的红色疙瘩,随后可在疙瘩的基础上出现水疱,直径约7mm,疱壁开始时较厚,周围有红晕,主要集中于患者的脚后跟处。
脚趾
小水疱
手足口病脚趾上起小水疱图
手足口病患者脚趾上长出来很多小水疱,多为圆形,颜色接近肤色,黄豆大小,与周围正常皮肤的界线清晰,患者需注意不要搔抓皮损处,避免出现继发感染。
脚趾
小水疱
手足口病脚趾上起小水疱图
手足口病表现为脚趾上出现针尖大小的水疱,周围有一定程度的红晕,患者多无自觉症状,若不及时治疗,水疱会逐渐增大、破裂,形成溃疡。
脚部
大水疱
手足口病脚内侧有大水疱图
手足口病患者于脚底部位出现较大的水疱,类似于黄豆大,亦可同时存在数个小水疱,水疱周围存在明显的淡红色环晕。水疱内液体较少,用手可将水疱压扁,水疱液略带浑浊,局部呈现淡黄色。日常注意减少行走,避免穿鞋袜,以免造成水疱的破溃。
手足口病相关知识
手足口病存在一定潜伏期,多数病例潜伏时间在2-10天。患病后,患者可出现发热症状,同时手、足、口腔等部位出现丘疹、疱疹,也可发展为水疱,通常疱壁薄、疱液清,周围绕以红晕,破溃后可形成浅溃疡。如果病情严重,还可出现皮肤花纹、发绀,或是脑膜炎、心肌炎等表现。
手足口病由肠道病毒引起,其病原体多样,如某些血清型的萨科齐病毒、埃可病毒等。如果健康人群接触手足口病的传染者,容易患病。与此同时,在手足口病的流行地区,由于苍蝇、蟑螂等动物可携带病毒,因此也可进行传播。
手足口病属于传播性疾病,因此确诊后应注意隔离,同时所用物品需要煮沸消毒,以免引起交叉感染等不良情况。
在恢复期间,注意休息,多饮用一些温开水,同时避免抓挠皮疹处,以免破溃感染,同时还可在患处应用冰硼散等药物帮助恢复。
此外,如果患者伴有发热症状,可用温水擦浴等方法促进恢复,必要时还可应用对乙酰氨基酚等退烧药物进行治疗。
参考文献
[1]李伯埙,王俊民,肖生祥.皮肤病临床与组织病理学[M].世界图书出版公司.2015.233-235.
[2]李兰娟,任红.传染病学.第9版[M].北京.人民卫生出版社.2018.386.
相关科普
得了手足口病会怎么样,手足口病有哪些特点
曾艳丽
河南省人民医院
手足口病是怎么引起的
王芳
河南省儿童医院
什么是手足口病
董建辉
银川市第一人民医院
什么是手足口病
李侗曾
首都医科大学附属北京佑安医院
手足口病是怎么引起的
李侗曾
首都医科大学附属北京佑安医院
得了手足口病应该注意什么
毛娜
中国中医科学院望京医院
什么是手足口病
吴志芳
浙江大学医学院附属口腔医院
什么是手足口病
康鹏
哈尔滨医科大学附属第二医院
手足口病注意些什么
刘波
浏阳市人民医院
得了手足口病应该注意什么
郑如添
惠州市中心人民医院