过敏性接触性口炎症状图片

本文由有来医生原创,经专业医师审核校对
所有图片质量和准确性经专业医生严格审查

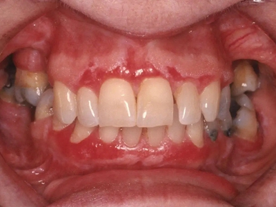
过敏性接触性口炎属Ⅳ型变态反应,是过敏体质者于局部接触某些物质后发生变态反应,而引发的一种炎症性疾病。发病前有用药史和过敏原的接触史,且与发病时间的潜伏期吻合,结合临床表现,一般可做出诊断。本病又称为接触性过敏性口炎,起病缓慢,损害位于接触处。

过敏性接触性口炎症状图片

过敏性接触性口炎相关知识

过敏性接触性口炎患者接触变应原后,经2-3天在接触部位发生病变,轻者黏膜肿胀发红,或形成红斑。重者发生水疱、糜烂或溃疡,甚至组织坏死。病变除在接触部位外,也可向邻近部位扩展。口腔科临床常见为修复材料引起的过敏性接触性口炎。
过敏性接触性口炎除了局部使用药物这一病因外,主要为充填和修复材料引起,如银汞合金、自凝塑料等。本病的发病多为Ⅳ型变态反应。
过敏性接触性口炎患者应避免再次接触变应原。严重者可遵医嘱口服抗组胺类药物,如氯苯那敏、阿司咪唑等止痒、消炎。或可酌情使用糖皮质激素类制剂。也可同时口服维生素C、钙制剂,严重者需在医生指导下用葡萄糖溶液静脉注射。

参考文献

[1]张震康,俞光岩,徐韬.实用口腔科学.第4版[M].北京.人民卫生出版社.2016.201.

[2]刘洋著.口腔内科学 ;高级医师进阶 ;副主任医师/主任医师[M].北京.中国协和医科大学出版社,2018.411.

相关科普