慢性咽炎症状图片

本文由有来医生原创,经专业医师审核校对
所有图片质量和准确性经专业医生严格审查

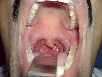
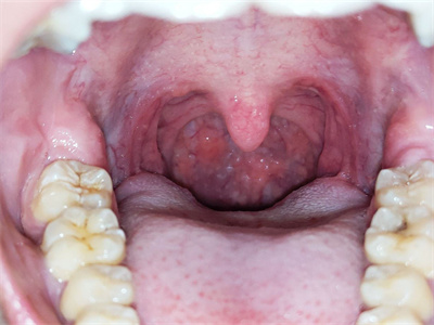
慢性咽炎为咽部黏膜、黏膜下及淋巴组织的弥漫性慢性炎症,常为上呼吸道慢性炎症的一部分,多见于成年人,病程长,症状顽固,较难彻底治愈。慢性咽炎主要表现为咽部异物感、干燥感等,检查可见咽部黏膜充血,根据病理主要分为慢性单纯性咽炎、慢性肥厚性咽炎。

慢性咽炎的类型和症状图片

慢性咽炎相关知识

慢性咽炎患者可出现咽部异物感、痒感、干燥感等。常有黏稠分泌物附着于咽后壁,使患者晨起时出现咳嗽伴恶心。慢性单纯性咽炎检查可见黏膜充血,血管扩张,咽后壁有散在淋巴滤泡,常有少量黏稠分泌物附着在黏膜表面。
慢性肥厚性咽炎检查可见黏膜充血、增厚,咽后壁淋巴滤泡显著增生,多个散在突起或融合成块,咽侧索亦充血肥厚。
慢性咽炎多是急性咽炎反复发作所致。呼吸道慢性炎症、长期张口呼吸、慢性扁桃体炎、贫血、消化不良、咽喉反流等疾病,也可能导致慢性咽炎。烟酒过度、粉尘、辛辣食物、有害气体或过敏原的刺激等,也可诱发本病。
慢性咽炎患者要坚持户外活动,戒烟酒,保持室内空气清新,积极治疗鼻炎、气管支气管炎等疾病。
对于慢性单纯性咽炎,常用复方硼砂含漱液、复方氯己定含漱液含漱,亦可含服复方草珊瑚含片、薄荷喉片等。对于慢性肥厚性咽炎,除上述治疗外,可用激光、低温等离子治疗,亦可用硝酸银、冷冻或电凝固法治疗。

参考文献

[1]孙虹,张罗.耳鼻咽喉头颈外科学.第9版[M].北京.人民卫生出版社.2018.

276-277.

相关科普