血管萎缩性皮肤异色病症状图片

本文由有来医生原创,经专业医师审核校对
所有图片质量和准确性经专业医生严格审查

血管萎缩性皮肤异色病是一种皮肤混杂的色素沉着和色素减退、毛细血管扩张和进行性皮肤萎缩的慢性皮肤病。它不是一独立疾病,而是一些不同疾病某一阶段的症状表现。大多数继发于皮肌炎、淋巴瘤等疾病,极少数为特发性。一般确诊后使用药物对症治疗,同时积极治疗原发病。

血管萎缩性皮肤异色病症状图片

血管萎缩性皮肤异色病相关知识

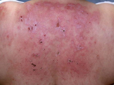
血管萎缩性皮肤异色病多见于中老年,男性多于女性,好发于面、躯干与四肢。典型皮损为弥漫性潮红、水肿,有毛细血管扩张,色素沉着及色素减退,皮肤进行性萎缩。由于皮肤萎缩,皮肤显得干燥,有糠秕状鳞屑,皮肤呈香烟纸状变薄。
血管萎缩性皮肤异色病的发病原因与皮肤长期接触某些物理和化学因素,如射线(包括日光)、冷、热、焦油、沥青等有关。可并发于其他疾病,特如蕈样肉芽肿、副银屑病(大斑块型)及其他炎症性皮肤病,如扁平苔藓,或者是遗传性皮肤病,如着色性干皮病、先天性皮肤异色病及砷剂引起的皮肤表现等。
血管萎缩性皮肤异色病一般遵医嘱针对原发病治疗,毛细血管扩张可使用电灼、微波、激光、注射鱼肝油酸钠注射液等方法治疗,皮肤瘙痒者可使用氯雷他定片等抗组胺药物治疗。

参考文献

[1]王宝玺.中华医学百科全书.临床医学皮肤病学[M].北京.中国协和医科大学出版社.2017.293.

[2]吴志华.皮肤性病诊断与鉴别诊断[M].北京.科学技术文献出版社.2018.693.

[3]李伯埙,王俊民,肖生祥.皮肤病临床与组织病理学[M].西安.世界图书西安出版公司.2015.561.

相关科普