氟斑牙症状图片

本文由有来医生原创,经专业医师审核校对
所有图片质量和准确性经专业医生严格审查

氟斑牙又称斑釉症,是一种地方病,是牙齿发育时期人体摄入氟量过高,引起的特殊型牙齿釉质发育不全的疾病。

氟斑牙症状图片

氟斑牙相关知识

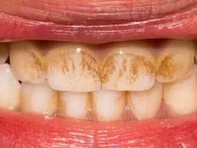
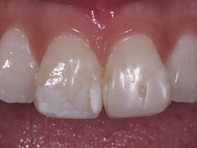
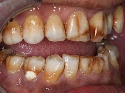
氟斑牙可表现为釉面光泽度改变,牙齿釉面失去光泽,不透明,可见白垩样线条、斑点、斑块。釉面也可出现不同程度的颜色改变,浅黄、深褐色或黑色,着色范围可有细小斑点、条纹、斑块,直至布满大部釉面。
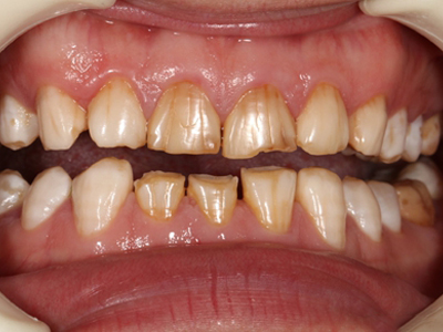
部分患者可出现釉面缺损,缺损的程度不一,轻者缺损仅限于釉质表层,严重者缺损可发生在所有的牙面,包括邻接面,破坏了牙齿整体外形。
氟斑牙的根本原因是长期摄入过量氟,但目前发病机制尚不明确。据认为在牙齿发育的过程中,饮用了含氟量超标的水,进入到血液里面,影响了牙齿、牙釉质的发育,造成的牙面上有斑块的症状。
氟斑牙可在医生的指导下使用过氧化氢、稀盐酸等进行药物脱色,此外,日常注意使用防氟牙膏也有一定疗效。

参考文献

[1]刘德培.中华医学百科全书公共卫生学环境卫生学[M].北京.中国协和医科大学出版社.2017.366-368.

[2]王旭霞,杨征主编.全国普通高等医学院校五年制临床医学专业“十三五”规划教材 ;口腔科学[M].北京:中国医药科技出版社,2016.11.133.

相关科普