扁平苔藓症状图片

本文由有来医生原创,经专业医师审核校对
所有图片质量和准确性经专业医生严格审查

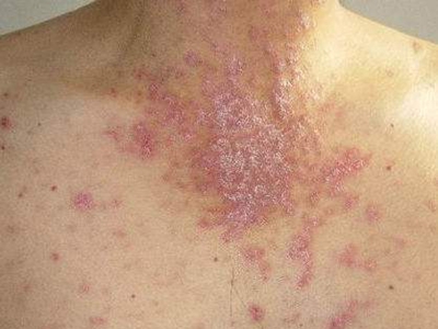
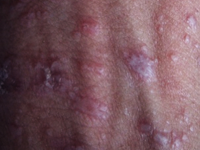
扁平苔藓是一种特发性炎症性皮肤病,典型皮损为多角形或圆形紫红色扁平丘疹,好发于四肢屈侧,黏膜常受累,表现为白色网状条纹。扁平苔藓的病因不是非常明确,可能和免疫、遗传、病毒感染等原因有关。

扁平苔藓症状图片

扁平苔藓相关知识

扁平苔藓好发于四肢屈侧,典型皮损为高起的紫红色扁平丘疹,粟粒至绿豆大小或更大,多角形或圆形,边界清楚,表面有蜡样薄膜,可见白色光泽小点或细浅的白色网状条纹。皮损可密集成片或融合成斑块,急性期可出现同形反应,常伴瘙痒。
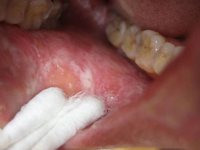
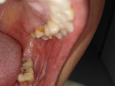
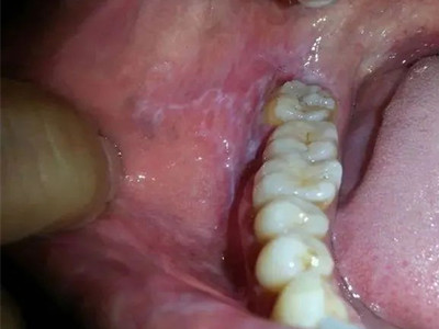
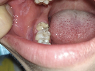
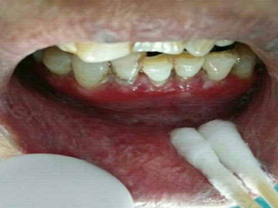
皮损可累及口腔颊黏膜和龟头,呈白色网状条纹,可融合、增大及出现糜烂。头皮损害可造成永久性脱发,甲受累可引起甲板增厚或变薄,出现纵嵴、纵沟或甲翼状胬肉,还可引起脱甲。
扁平苔藓的病因尚不清楚,免疫、遗传、病毒感染、神经精神因素、某些药物等,可能与本病的发生及加重有关。部分患者合并自身免疫性疾病(白癜风、桥本甲状腺炎、溃疡性结肠炎等)。
扁平苔藓目前无特效治疗方法,多采用综合治疗,外用药物可用糖皮质激素、他克莫司等,亦可局部应用糖皮质激素封闭治疗。糜烂性口腔损害可用利多卡因漱口,严重瘙痒患者可服用抗组胺药,肥厚型或皮损泛发者可口服泼尼松或阿维A胶囊。
对糖皮质激素不敏感或顽固患者可应用羟氯喹,也可酌情选用免疫抑制剂或免疫调节剂。必要时可配合光化学疗法进行治疗。

参考文献

[1]张学军,郑捷.皮肤性病学.第9版[M].北京.人民卫生出版社.2018.139-140.

[2]张建中,高兴华.皮肤性病学.第1版[M].北京.人民卫生出版社.2015.210-212.

[3]方洪元,邢卫斌,张秉新,徐海环.实用皮肤性病手册.第1版[M].北京.人民卫生出版社.2016.629-638.

相关疾病

相关科普