
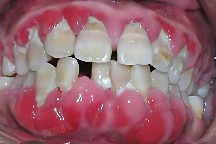
牙周炎并没有明确的四大症状,主要包括牙龈出血、牙龈红肿、口腔异味、牙周袋形成等,建议及时就医并遵循医生的建议进行治疗。

这是牙周炎最常见的症状之一。患者在刷牙、进食或咬硬物时,牙龈容易出血,出血通常是由于牙龈组织受到炎症的刺激,导致血管扩张和通透性增加,轻微刺激即可引起出血。

牙龈组织受到炎症的刺激,会出现充血、水肿和疼痛反应,牙龈呈现红肿状态,有时伴有疼痛。
牙周炎引起的牙龈炎症容易导致细菌在牙龈间隙中繁殖,产生恶臭气体,这些气体积聚在口腔中,导致口臭。

牙周袋是指牙齿根部附近的牙龈组织发生炎症,导致牙龈与牙齿之间的间隙扩大,扩大的间隙容易积聚细菌和食物残渣,进一步加重病情。
长期不及时治疗牙周炎,会导致炎症向周围牙周组织蔓延,影响到牙齿的固定,患者会发现牙齿逐渐变得松动,甚至脱落。

长期的炎症反应导致牙龈组织的破坏和萎缩,牙龈边缘逐渐向根方退缩,暴露出牙齿根部,使牙齿显得更长。