
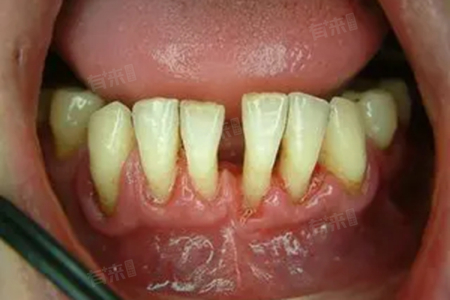
牙龈萎缩是指牙龈组织逐渐变薄、退缩或缩小的过程,其症状主要表现在牙龈出血、牙龈变浅、牙龈变软、牙齿松动、牙齿敏感、牙齿变长、牙齿间隙增大等,出现时应及时就医治疗。

牙龈萎缩后,牙龈组织变薄,容易受到刺激和伤害,造成牙龈出血。患者在刷牙、吃东西或者进行口腔清洁时会发现牙龈出血,这是牙龈萎缩常见的症状之一。
牙龈萎缩后,牙龈组织会变得非常薄,很多时候还会出现牙齿的根部裸露。这种情况会导致牙齿根部过度暴露,增加了牙齿敏感的风险。
牙龈萎缩后,牙龈组织也会变得松软,失去原有的弹性和紧密度。这种情况会导致牙龈容易受到牙菌斑的侵害,增加了患牙周疾病的风险。
牙龈萎缩后,由于支持牙齿的牙龈组织减少,牙齿很可能会变得松动。牙齿松动不仅影响了咀嚼功能,还会给口腔卫生和美观带来困扰。
牙龈萎缩后,牙齿根部裸露,增加了牙齿敏感的可能性。患者可能会在进食冷热食物或者刷牙的过程中感到牙齿疼痛。
牙龈萎缩后,牙齿的可见部分会变长,这是由于牙龈退缩导致的视觉上的变化。
由于牙龈萎缩,牙齿之间的间隙可能会增大,影响美观和口腔健康。