甲状腺异常的症状包括热多汗、体重下降、情绪波动、失眠等,但具体根据甲状腺功能的亢进或是减退,或是形态异常等而有所不同,建议还是应就医检查明确。
甲状腺功能亢进
1、能量代谢方面
- 怕热多汗:甲状腺激素增多,会使身体新陈代谢加速,产生更多热量。即使在正常环境温度下,也会频繁出汗,并且感觉燥热。
- 体重下降:尽管食欲可能大增,但由于身体处于高代谢状态,消耗能量过多。患者的肌肉和脂肪也会随之减少,导致体重降低。
2、神经系统表现
- 情绪波动:甲状腺激素过多会刺激神经系统,让患者情绪变得很不稳定,容易激动、烦躁。可能会因为一点小事情就大发雷霆,或者焦虑不安,难以平静。
- 失眠:神经兴奋,大脑很难进入放松状态,导致入睡困难。即使入睡后,也容易惊醒,睡眠质量差,就像大脑一直处于“活跃状态”,不肯休息。
- 手抖:因为神经系统兴奋性过高,影响肌肉的正常控制。当患者伸出双手,手指会出现明显的细微颤抖,在做精细动作,如写字、拿针线时更为明显。
3、心血管系统变化
- 心慌心悸:甲状腺激素会刺激心脏,使其跳动加快、变强。患者能明显地感觉到自己的心跳,在安静状态下心跳也可能超过100次/分钟,并且会有心慌的感觉。
- 血压异常:由于心脏泵血功能增强和外周血管阻力变化,血压可能升高。长期血压升高会增加心脏负担,还可能引发其他心血管疾病。
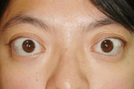
4、眼部特征

眼球向前突出,程度不一。轻度突眼表现为眼裂增宽、眨眼次数减少;严重的突眼会导致眼睛胀痛、畏光、流泪,视力也可能受到影响。这是因为眼眶内的组织受到甲状腺相关抗体等因素的影响,出现炎症、水肿,将眼球向外推挤。
甲状腺功能减退
1、代谢水平降低表现
- 怕冷:甲状腺激素分泌不足,身体产热减少,所以患者比常人更怕冷,在同样的环境下,需要穿更厚的衣服来保暖。
- 体重增加:胃肠蠕动减慢,消化功能变弱,食欲可能下降。但因为身体消耗能量也减少,摄入的能量容易以脂肪的形式储存起来,导致体重增加。
- 便秘:肠道蠕动缓慢,大便在肠道内停留时间过长,水分被过度吸收,导致大便干结,排便困难,可能几天才排便一次。
2、神经系统症状
- 记忆力减退:甲状腺激素缺乏影响大脑的正常代谢,大脑细胞的活动受到抑制,记忆力下降。患者可能经常忘记刚刚做过的事情或者要做的事情。
- 反应迟钝:神经系统的反应速度变慢,对外界的刺激不能及时做出反应。比如和别人交谈时,可能需要更长时间来理解对方的意思并作出回答。
- 嗜睡:身体和大脑的能量供应不足,容易感到疲倦,睡眠时间延长,白天也总是昏昏欲睡。
3、心血管系统情况
- 心动过缓:甲状腺激素对心脏有刺激作用,甲减时这种刺激减弱,心脏跳动变慢,心率可能低于60次/分钟,患者会感觉心跳无力。
- 心包积液:甲状腺功能减退可引起心脏周围组织液代谢异常,液体在心脏周围积聚,形成心包积液,严重时会影响心脏的正常功能。
甲状腺形态异常症状
1、颈部肿块

甲状腺结节或者甲状腺肿时,最明显的症状是在颈部前方出现肿块。肿块大小不一,小的结节可能只有几毫米,难以察觉;大的甲状腺肿可能会使颈部明显增粗。患者自己可能会在照镜子或者触摸颈部时发现肿块,吞咽时肿块可能会随着甲状腺上下移动。
2、压迫症状
- 压迫气管:空气进出不顺畅,导致患者出现呼吸困难,尤其在运动后或者平卧时,这种症状可能会加重。
- 压迫食管:会引起吞咽困难,患者在吞咽食物时会感觉有东西卡在喉咙处,食物通过缓慢。
- 压迫喉返神经:可出现声音嘶哑、发音困难等症状,因为喉返神经控制喉部肌肉的运动,受到压迫后会影响正常发声。