
智齿开始长的前兆多种多样,常见包括牙龈胀痛与红肿、口腔异物感、咀嚼不适、邻牙变化以及牙龈处的炎症反应等,这些症状因人而异,但通常会随着智齿的逐渐萌出而变得更加明显。

智齿萌出前,其对应的牙龈部位往往会出现隐隐的胀痛感,这种胀痛是持续性的,不过疼痛程度通常比较轻微。就好像牙龈下面有东西在慢慢往外“顶”,让人时不时能感觉到那里不太舒服。
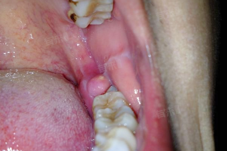
智齿萌出处的牙龈有时会出现红肿现象,颜色变得比正常牙龈更红。这是因为智齿在牙槽骨内生长,对牙龈产生了一定的挤压和刺激,使得牙龈出现了炎症反应。
口腔内会有一种异样的感觉,总觉得智齿生长的那个区域好像有什么东西存在,但又看不到具体是什么。这种异物感会随着智齿逐渐接近萌出而越发明显。
在吃东西的时候,尤其是咀嚼较硬的食物时,靠近智齿所在区域的牙齿周围可能会出现轻微的疼痛或者酸胀感,导致咀嚼功能受到一定影响,有时甚至不自觉地会避开用这一侧的牙齿进行咀嚼。
智齿生长时有可能对相邻的牙齿产生挤压,让人感觉邻牙有被推动的迹象。比如原本排列整齐的牙齿可能会出现轻微的移位,变得有些拥挤或者排列错乱。不过这种情况相对不是很常见。
部分人在智齿萌出前,对应的牙龈处容易反复出现炎症。表现为牙龈红肿加重、疼痛变得明显,还可能伴有少量的出血,严重时甚至会出现低热等全身症状。
1、定期刷牙:每天早晚刷牙,确保智齿及其周围区域的清洁。使用软毛牙刷,轻柔地刷牙,避免损伤牙龈。
2、使用牙线:使用牙线或牙间隙刷清洁智齿与邻牙之间的牙缝,防止食物残渣和细菌滞留。
3、避免刺激性食物:智齿生长期间,应避免食用辛辣、油腻、过硬或刺激性食物,以免加重牙龈的炎症和疼痛。