
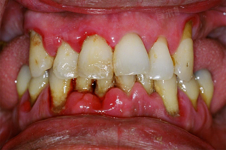
牙周炎是一种发生在牙周组织的慢性炎症,其早期症状主要包括牙龈出血、牙龈红肿与不适、持续性口臭、牙龈退缩、牙周袋形成等,出现时应及时就医治疗。

这是牙周炎最常见的早期症状之一。患者在刷牙、使用牙线、咬硬物或进行口腔检查时,可能会发现牙龈有轻微出血现象。出血有时是自发性的,也可能在受到刺激后更加明显。
牙周炎初期,患者的牙龈及龈缘部位可能出现红肿,表现为点状或片状的红肿区域。这些红肿区域可能伴有轻微的胀痛、痒感或不适感。这些症状虽不明显,但持续存在时应引起警惕。
牙周炎导致口腔内细菌增多,这些细菌分解食物残渣产生恶臭气体,从而引发口臭。若刷牙后口臭仍不改善,可能是牙周炎的预兆。
牙龈退缩是指牙齿周围的牙龈逐渐向上移动,暴露出更多的牙齿表面。这是早期牙周炎的一个标志,可能伴随着牙齿敏感或疼痛。牙龈退缩可能不易被患者察觉,只有当牙龈大量退缩时才会发现。
随着炎症的持续扩散,牙龈与牙齿之间的间隙逐渐扩大,形成牙周袋。牙周袋内易积聚细菌和食物残渣,进一步加剧炎症,形成恶性循环。
1、口腔检查:医生会通过观察口腔内软组织(如牙龈、颊粘膜等)的颜色、形态和出血情况来判断是否存在牙周炎。
2、X线检查:通过X线片观察牙槽骨的吸收情况,这是牙周炎的重要诊断依据。牙周炎患者可能会出现牙槽骨的水平型或垂直型吸收。
3、血液检查:评估炎症指标,如白细胞计数、C反应蛋白等,以了解牙周炎的炎症程度。