
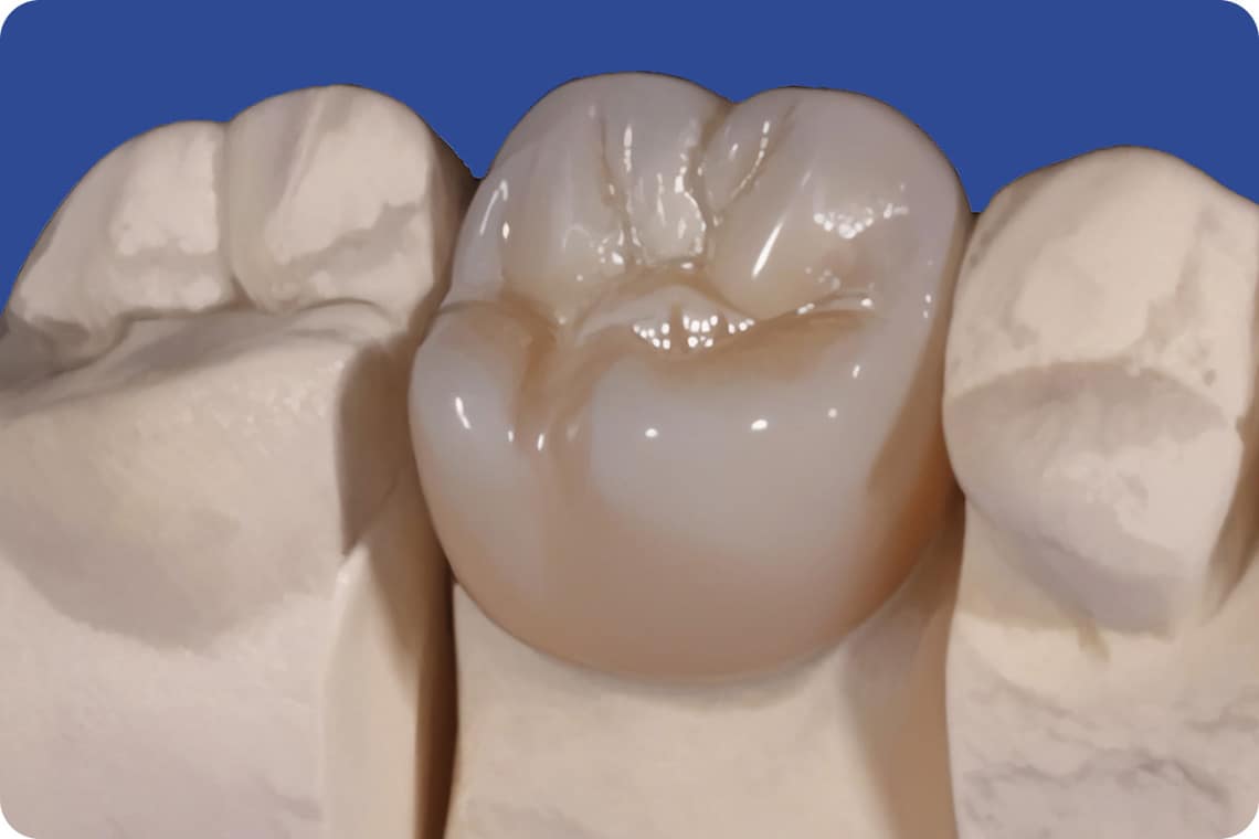
牙冠是一种固定义齿修复方法,整个过程需要1-2周的时间。当牙齿因为严重龋坏、牙髓炎、外伤等原因而进行根管治疗后,需要戴牙冠。将患牙磨小,制备为基牙,将牙冠戴上,即为冠修复,具体的步骤包括备牙、取模、制作、佩戴。
1、备牙: 医生使用车针对牙齿进行打磨,对基牙进行制备,经过根管治疗的牙不会疼,如果是活髓牙,医生会打麻药,因此患者不用担心疼痛。

2、取模: 患者需要张开嘴,医生使用硅橡胶对患者牙齿进行印模,期间可能会有点恶心,建议患者转移注意力,坚持几分钟。

3、制作:医生在取模后将模型和数据发送给义齿加工厂,厂家制作后快递寄回,患者再来佩戴,这个制作时间快则1周,慢则2周。

4、佩戴:患者先试戴牙冠,反复进行咬合,感受是否有疼痛不适感,医生会进行相应的调磨。确定没有问题后进行粘结,再进行咬合,医生会根据情况进行打磨调整,直到没有不适感。佩戴牙冠后会有1-4周甚至更长时间的适应期,期间可能会有异物感,但是没有明显疼痛。

戴上牙冠之后的注意事项