
龋齿俗称蛀牙,根据龋齿严重程度,可分为浅龋、中龋、深龋,治疗费用各有不同,总体而言,费用在100-800元之间。
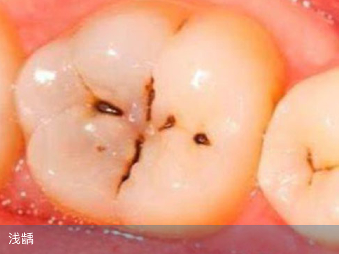
1、浅龋
此时的龋坏仅涉及牙釉质,如果只出现黑色素沉积,探针无法探入,可以不补,早晚按时刷牙即可保持在静止龋状态。如果探针可探入,则建议进行补牙,根据补牙材质、所在地消费水平不同,一颗牙在100-400元之间。

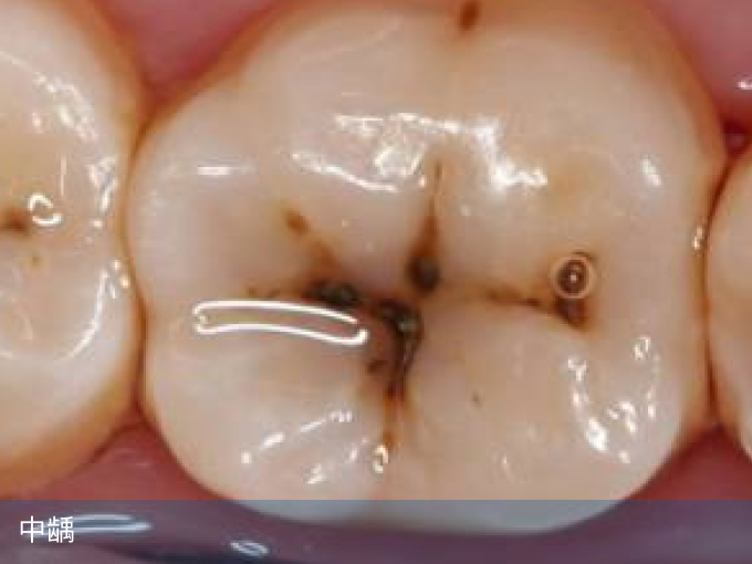
2、中龋
龋坏已经达到牙本质,出现明显的龋洞,进食时可出现轻微疼痛,提示属于中龋,需要及时补牙,价格为一颗牙200-500元。

3、深龋
龋坏已经达到牙本质深层,甚至接近牙髓腔,进食时可出现明显疼痛,不仅需要补牙,而且需要进行垫底、安抚等处理,费用会稍微高一些,可以达到300-800元。

注意,补牙通常是可以报销医保的,具体费用还与医保缴纳情况有关,建议详细咨询医生,以医生所报价格为准。
龋齿治疗后注意事项