口腔黏膜病患者会出现溃疡、疱疹等多种损害,但所患疾病类型不同,表现也存在一定差异,常见类型包括复发性阿弗他溃疡、口腔单纯疱疹、口腔念珠菌病等。
复发性阿弗他溃疡

- 口腔溃疡通常为圆形或椭圆形,边界清晰。溃疡的大小不等,直径一般在2-10mm。溃疡的边缘红肿,中间是淡黄色或灰白色的凹陷,底部平坦,有一层假膜覆盖。
- 患者自觉疼痛,在进食、说话、吞咽唾液时,疼痛会加剧,表现为尖锐的刺痛或烧灼痛。
- 溃疡具有复发性,发作频率因人而异,可能是数月发作一次,也可能频繁发作。发作部位不固定,可出现在口腔黏膜的任何部位,如唇内侧、颊黏膜、舌缘、舌腹、软腭等。
口腔单纯疱疹

- 发病初期,口腔黏膜会出现充血、水肿,随后在唇、颊、舌、腭等部位出现成簇的小水疱。水疱壁薄、透明,疱液清亮,疱群之间的黏膜正常。水疱的大小一般在1-3mm,患者可能会感到局部瘙痒、灼痛或紧绷感。
- 水疱很容易破溃,形成浅表的溃疡。溃疡表面覆盖有淡黄色的假膜,周围黏膜红肿。疼痛在溃疡期会明显加剧,进食、说话等口腔活动,也会使疼痛加重。
- 在初次感染口腔单纯疱疹病毒时,患者可能会出现发热、头痛、肌肉酸痛、乏力等全身症状。儿童患者的全身症状可能更明显,如烦躁不安、拒食等。
口腔念珠菌病

口腔黏膜表面可出现白色凝乳状的假膜,不易擦去,强行擦去后,下方可见红色的创面,轻微出血。患者可能会感到口腔有烧灼感、干燥感或轻微疼痛,一般不影响进食,但如果病情严重,也可能出现吞咽困难。
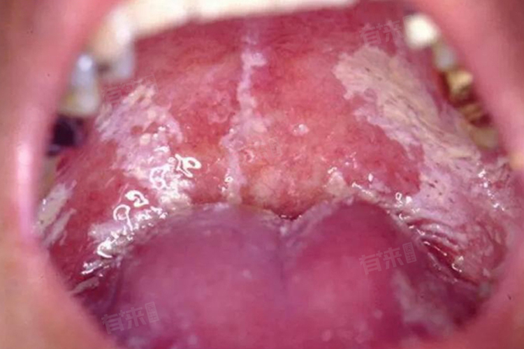
口腔白斑

- 主要表现为口腔黏膜上的白色或灰白色斑块,边界清楚,与周围正常黏膜有明显的分界。
- 一般患者在早期没有明显的疼痛或不适感,主要是发现口腔内有白色斑块而就诊。随着病情的发展,部分患者可能会感到病变部位有粗糙感、木涩感或轻微疼痛。
- 如果白斑发生糜烂、溃疡,疼痛会明显加剧,还可能出现出血等症状。