
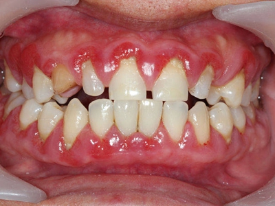
以上为牙龈萎缩牙龈红肿溃疡烂了图。
牙龈萎缩的同时,可伴随牙龈充血、红肿、溃疡,像烂了一样,向牙根方向凹陷,患者进食时可伴有一定的疼痛感,早晨刷牙时常伴有牙龈出血。
牙龈萎缩牙龈红肿溃疡烂了病因
牙龈萎缩主要与牙周炎、刷牙不当、固定修复体位于龈下过深有关,这些因素导致牙龈萎缩的同时,常可伴有牙龈感染,从而导致牙龈红肿、溃烂。
牙龈萎缩牙龈红肿溃疡烂了治疗
牙龈退缩一般不可逆,重点应放在预防上,主要是防止其加重。对于轻度、均匀的牙龈退缩一般无症状,不需处理或者可以使用氟保护漆保护暴露的根面组织。如牙龈退缩持续进展,应查明病因,消除致病因素,如改变刷牙习惯、调整正畸力量、去除不良修复体等。对于个别牙或少数前牙的牙龈退缩而影响美观者,可用侧向转位瓣手术、游离银瓣移植术、结缔组织瓣移植术等手术覆盖暴露的根面。

