
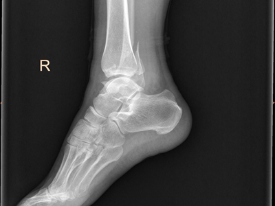
以上为骨折脚踝外侧的骨头有裂口图。
骨折发生于患者脚踝处,表现为骨头有裂口,并有一定程度的移位,局部可出现皮肤淤青、肿胀、疼痛等症状。
骨折脚踝外侧的骨头有裂口治疗
骨折脚踝外侧的骨头有裂口的治疗原则是正确复位,如手法复位和手术复位,同时牢固固定,具体分为内固定和外固定,另外需早期功能锻炼,可以促进骨折局部血液循环,加速骨折愈合,促进功能康复。尽可能做到骨折复位不增加局部软组织损伤,固定骨折而不妨碍肢体活动,使骨折愈合和功能恢复同期完成。
骨折脚踝外侧的骨头有裂口注意事项
患者应卧床休息,避免过早的盲目下地完全负重行走,以免造成后期的疼痛等相关的严重的后遗症。在饮食方面要清淡饮食,注意营养丰富,均衡全面,适当补充维生素D和钙剂有助于骨折的愈合。另外骨折愈合后应注意根据自己体质掌握好运动量和运动要领,充分做好准备活动,避免在过硬的场地进行跑跳运动。

