
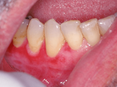
以上为增殖性红斑牙龈有不规则红斑图。
增殖性红斑有时可累及患者的口腔,可表现为牙龈出现不规则的红斑,颜色较鲜艳,表面有光泽,局部无明显红肿,有较清楚的边界,未造成牙龈和牙齿的损害。
增殖性红斑牙龈有不规则红斑治疗
增殖性红斑应避免局部刺激,可通过外科手术进行局部切除,或用液氮冷冻、二氧化碳激光等方法治疗,也可遵医嘱外用氟尿嘧啶。
增殖性红斑牙龈有不规则红斑注意事项
增殖性红斑患者日常要注意做好口腔清洁护理,按时刷牙和漱口,刷牙时注意动作轻柔,要使用软毛牙刷。避免进食过烫、过硬、辛辣的食物,进食清淡、易消化的食物,以免导致红斑处破溃、疼痛。同时要注意皮肤清洁,出门注意防晒,不能长时间接受紫外线的照射。

