
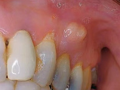
以上为慢性根尖周炎牙龈出现白色小包图。
慢性根尖周炎病程较长,患者的牙龈上可出现根尖脓肿,表现为凸出来的半球形白色小包,邻近的牙齿变色,透出暗黑色,伴有牙齿疼痛感。
慢性根尖周炎牙龈出现白色小包治疗
慢性根尖周炎的治疗主要是采用根管治疗,可使牙齿功能恢复和保存,白色小包消失。必要时可行根尖切除术或尖周刮治术,如患牙牙体缺损较大不能修复者,最后可给予拔除。
慢性根尖周炎牙龈出现白色小包注意事项
患者应保持良好的口腔卫生习惯,注意经常刷牙和漱口,可以避免口腔中细菌的滋生和感染,最好选用毛软、末端磨圆的牙刷。尽量不用牙签剔牙,减少牙齿损伤,可换成牙线等工具。同时要注意营养的均衡,避免咀嚼坚硬、辛辣刺激的食物,禁碳酸饮料等对牙齿有刺激的饮食。

