
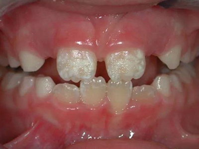
以上为牙釉质发育不全牙齿上出现白色的斑块图。
牙釉质发育不全可表现为牙齿的牙釉质表面出现白垩色釉质,即白色斑点,并且牙齿表面有带状或蜂窝状的凹陷,患者一般没有自觉症状。
牙釉质发育不全牙齿上出现白色的斑块病因
牙釉质发育不全牙齿上出现白色的斑块者,其发生原因多是遗传基因的突变或异常,影响到牙齿发育过程中的釉质形成,继而引起的相应症状。也可能是胎儿期或婴儿期受到感染、营养不良等,也可能干扰牙齿发育和釉质形成。
牙釉质发育不全牙齿上出现白色的斑块治疗
牙釉质发育不全牙齿上出现白色的斑块者,建议遵医嘱使用牙贴面、树脂填充等方法修复受损或缺失的牙釉质部分。
牙釉质发育不全牙齿上出现白色的斑块注意事项
牙釉质发育不全牙齿上出现白色的斑块者,建议维持良好的口腔卫生习惯,每天刷牙;避免避免吸烟、咀嚼槟榔等;保持均衡营养,适当多食用富含钙、维生素D和磷等营养物 质的食物,如奶制品、鱼类等,有助于牙齿的健康;定期检查口腔健康等。

