概述
尿结石指尿路结石,与饮食习惯、尿路梗阻有关,可出现肾绞痛、尿频、尿急、排尿困难等症状,B超检查可见高回声及声影。
症状
尿路结石根据部位,可分为上尿路结石和下尿路结石,症状可有所不同。
上尿路结石
常以肾绞痛为主要症状,并伴有恶心呕吐、肉眼血尿或镜下血尿,查体可有肾区叩痛,B超检查可显示结石的高回声及其后方的声影。

下尿路结石
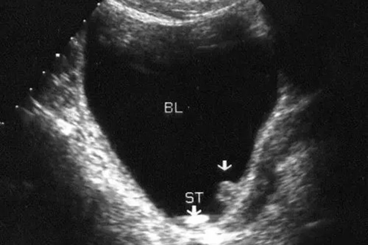
通常以下尿路刺激症状为主要临床表现,即尿频、尿急、尿痛,同时可伴有排尿困难、尿流中断现象,B超检查能发现膀胱及后尿道强光团及声影。

病因
尿路结石在肾脏和膀胱内形成,受年龄、性别、遗传、环境、饮食习惯和职业因素等影响。此外,代谢异常、尿路梗阻、感染也是结石形成的常见病因。
治疗
尿路结石急性发作时应先解除痛苦,可肌内注射阿托品,口服或静脉应用非甾体类抗炎药,以缓解肾绞痛。还可根据情况进行排石治疗,如体外冲击波碎石,或经皮肾镜取石术治疗。
参考文献
[1]陈孝平,汪建平,赵继宗.外科学.第9版[M].北京.人民卫生出版社.2018.558-562.
[2]郑树森主编.外科学[M].北京.中国医药科技出版社.2020.319.
展开
